About   Help   FAQ
Phenotype Image Detail
Image
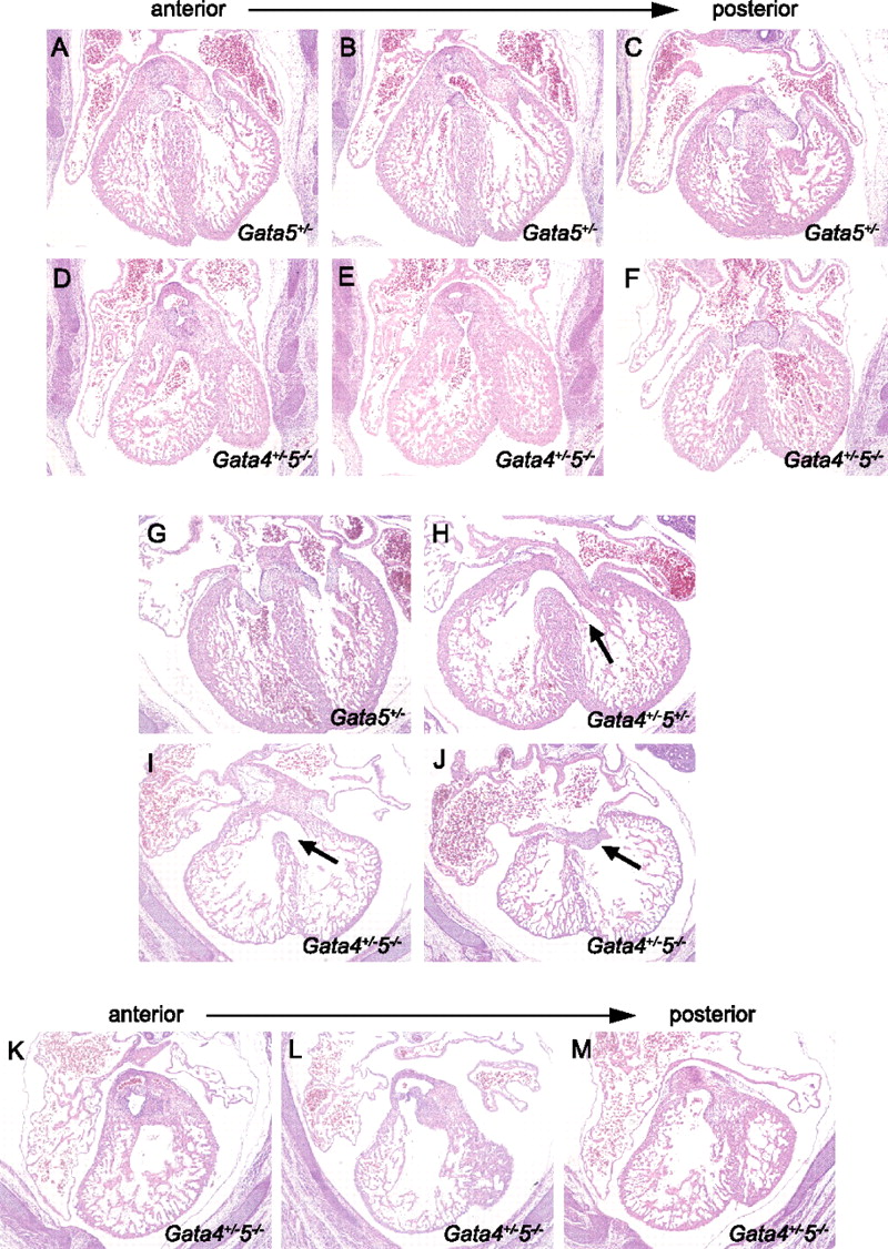
Caption Conotruncal and endocardial cushion phenotype of E14.5 Gata4tm1Jml/Gata4+ Gata5tm1Eem/Gata5tm1Eem mice. Gata4tm1Jml/Gata4+ Gata5tm1Eem/Gata5tm1Eem (Gata4-/+/Gata5-/-) mutant mice harbored multiple defects in distinct anatomic compartments. Gata5tm1Eem/Gata5+ mice appeared normal with no identifiable intracardiac defects (A-C and G). Gata4tm1Jml/Gata4+ Gata5tm1Eem/Gata5+ double heterozygotes were viable but demonstrated conoventricular septal defects with incomplete penetrance (H, arrow). Gata4tm1Jml/Gata4+ Gata5tm1Eem/Gata5tm1Eem compound mutants demonstrated moderately hypoplastic and anteriorly malaligned left ventricular outflow tracts (D-F). Similarly, ventriculoarterial positioning of the right ventricular outflow tract was more posteriorly positioned than normal (K-M). There was hypoplasia of the endocardial cushions leading to complete common atrioventricular canal defects. This was associated with a primum atrial septal defect as well as a large ventricular septal defect modeling human complete common atrioventricular canal (I and J).
Copyright This image is from Singh MK, J Biol Chem 2010 Jan 15;285(3):1765-72 and is displayed with the permission of the American Society for Biochemistry and Molecular Biology who owns the Copyright. Full text from JBC. J:155855
Associated
Alleles
Symbol Name
Gata4tm1Jml GATA binding protein 4; targeted mutation 1, Jeffrey M Leiden
Gata5tm1Eem GATA binding protein 5; targeted mutation 1, Edward E Morrisey
Associated
Genotypes
Allelic Composition Genetic Background
Gata4tm1Jml/Gata4+
Gata5tm1Eem/Gata5+
involves: 129S1/Sv * 129X1/SvJ * C57BL/6
Gata4tm1Jml/Gata4+
Gata5tm1Eem/Gata5tm1Eem
involves: 129S1/Sv * 129X1/SvJ * C57BL/6

Contributing Projects:
Mouse Genome Database (MGD), Gene Expression Database (GXD), Mouse Models of Human Cancer database (MMHCdb) (formerly Mouse Tumor Biology (MTB)), Gene Ontology (GO)
Citing These Resources
Funding Information
Warranty Disclaimer, Privacy Notice, Licensing, & Copyright
Send questions and comments to User Support.
last database update
12/30/2025
MGI 6.24
The Jackson Laboratory