About   Help   FAQ
Phenotype Image Detail
Image
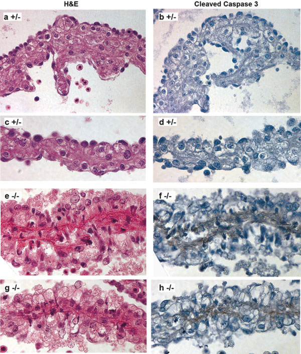
Caption Detail of myocardial lesions and staining for cleaved caspase 3. a-d: Detail of typical sections of myocardial wall from Cxadrtm1Rwf/Cxadr+ (+/-) ~10.8 dpc embryos at 600x magnification. e-h: Detail of myocardial wall lesions from Cxadrtm1Rwf/Cxadrtm1Rwf (-/-) ~10.8 dpc embryos at 600 x magnification. Panels on the left show hematoxylin and eosin stained sections while panels on the right show staining for cleaved caspase 3 (brown/black). The myocardial cells in the center of the lesions stained positively for the apoptotic marker cleaved caspase 3.
Copyright This image is from Asher DR, Genesis 2005 Jun;42(2):77-85, and is displayed with the permission of Wiley-Blackwell, who owns the Copyright. J:99585
Associated
Alleles
Symbol Name
Cxadrtm1Rwf coxsackie virus and adenovirus receptor; targeted mutation 1, Robert W Finberg
Associated
Genotypes
Allelic Composition Genetic Background
Cxadrtm1Rwf/Cxadrtm1Rwf involves: 129S6/SvEvTac * C57BL/6

Contributing Projects:
Mouse Genome Database (MGD), Gene Expression Database (GXD), Mouse Models of Human Cancer database (MMHCdb) (formerly Mouse Tumor Biology (MTB)), Gene Ontology (GO)
Citing These Resources
Funding Information
Warranty Disclaimer, Privacy Notice, Licensing, & Copyright
Send questions and comments to User Support.
last database update
09/30/2025
MGI 6.24
The Jackson Laboratory