About   Help   FAQ
Phenotype Image Detail
Image
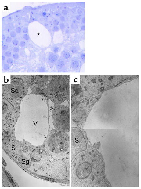
Caption (a) Section of Sbf1tm1Mlc/Sbf1tm1Mlc seminiferous tubules demonstrating a Sertoli's cell with intracytoplasmic vacuole (*) (x400). (b and c) Electron microscopic analysis of a representative Sertoli's cell and associated vacuole at low (b) (x1,500) and high (c) (x4,000) magnification. Sertoli's cell (S), spermatogonial cell (Sg), spermatocyte (Sc) and vacuole (V) are indicated.
Copyright This image is from Firestein R, J Clin Invest 2002 May;109(9):1165-72 and is displayed with the permission of the American Society for Clinical Investigation who owns the Copyright. J:76406
Associated
Alleles
Symbol Name
Sbf1tm1Mlc SET binding factor 1; targeted mutation 1, Michael L Cleary
Associated
Genotypes
Allelic Composition Genetic Background
Sbf1tm1Mlc/Sbf1tm1Mlc involves: C57BL/6

Contributing Projects:
Mouse Genome Database (MGD), Gene Expression Database (GXD), Mouse Models of Human Cancer database (MMHCdb) (formerly Mouse Tumor Biology (MTB)), Gene Ontology (GO)
Citing These Resources
Funding Information
Warranty Disclaimer, Privacy Notice, Licensing, & Copyright
Send questions and comments to User Support.
last database update
12/30/2025
MGI 6.24
The Jackson Laboratory