About   Help   FAQ
Phenotype Image Detail
Image
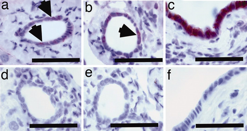
Caption (Upper) Sections incubated with primary antibody against beta-catenin. (Lower) Sections incubated without primary antibody. A and D: Periodic light staining of biliary epithelial cells (BECs) in control biliary tract (arrowheads). B and E: Some biliary tracts in Xylt2tm1Meh/Xylt2tm1Meh mice are similar to controls in size and beta-catenin reactivity (arrowhead). C and F: Mutant cystic wall BECs showing intense beta-catenin staining. Scale bars: 50um.
Copyright This image is from Condac E, Proc Natl Acad Sci U S A 2007 May 29;104(22):9416-21. Copyright 2007 National Academy of Sciences, U.S.A. J:122291
Associated
Alleles
Symbol Name
Xylt2tm1Meh xylosyltransferase II; targeted mutation 1, Myron E Hinsdale
Associated
Genotypes
Allelic Composition Genetic Background
Xylt2tm1Meh/Xylt2tm1Meh involves: 129P2/OlaHsd

Contributing Projects:
Mouse Genome Database (MGD), Gene Expression Database (GXD), Mouse Models of Human Cancer database (MMHCdb) (formerly Mouse Tumor Biology (MTB)), Gene Ontology (GO)
Citing These Resources
Funding Information
Warranty Disclaimer, Privacy Notice, Licensing, & Copyright
Send questions and comments to User Support.
last database update
12/30/2025
MGI 6.24
The Jackson Laboratory