About   Help   FAQ
Phenotype Image Detail
Image
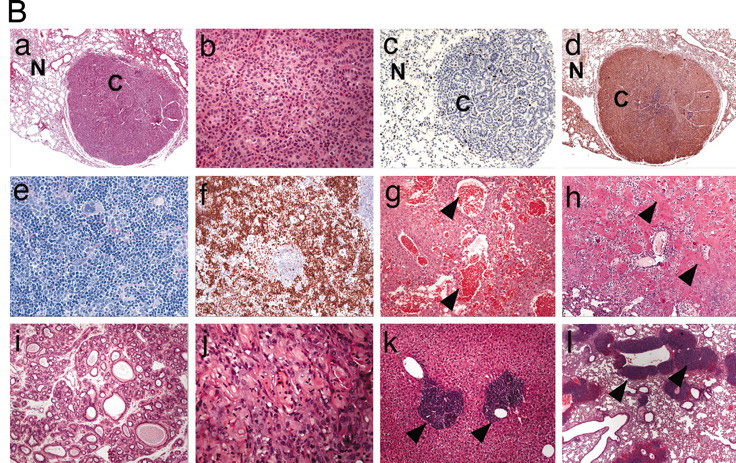
Caption B: Histopathology of tumors in Wwoxtm1Ria/Wwox+ mice. (Ba) Lung ( H & E staining) nodule composed of epithelial proliferation with grandular and papillary growth pattern (bronchiolo-alveolar carcinoma). N (normal) versus C (carcinoma). (Magnification: x 200.) (Bb) Higher magnification (H&E staining) of the lung nodule shown in Ba, indicating marked nuclear and cellular atypia with rare atypical mitoses. (Magnification: x400.) (Bc) Immunohistochemistry for Ki67 showing low proliferation rate in tumor cells in a lung nodule. (Magnification: x200.) (Bd) Immunohistochemistry for WWOX showing positive expression in tumor cells in a lung nodule. (Magnification: x100.) (Be) Spleen (H&E staining) monomorphic lymphopid population expanding the red pulp: diffuse large B cell lymphoma. (Magnification: x400.) (Bf) Immunohistochemistry for Ki67 showing intense positivity in the lymphoblastic population in spleen. (Magnification: x100.) (Bg) Hemangioma in liver (H&E staining). Arrows show large vascular channels. (Magnification: x100.) (Bh) Large mass of malignant chondroblasts surrounded by chondroid material (arrowheads) in lung (H&E staining): chondrosarcoma. (Magnification: x100.) (Bi) Fibroadenoma in mammary gland (H&E staining). (Magnification: x100.) (Bj) Large mass of malignant squamous cells with incomplete keratinization in stomach (H&E staining): squamous cell carcinoma. (Magnification: x400.) (Bk) Atypical B cell infiltrates (arrowheads) in liver (H&E staining). (Magnification: x100.) (Bl) Perivascular atypical B cell infiltrates (arrowheads) in lung (H&E staining). (Magnification: x40.)
Copyright This image is from Aqeilan RI, Proc Natl Acad Sci U S A 2007 Mar 6;104(10):3949-54. Copyright 2007 National Academy of Sciences, U.S.A. J:120064
Associated
Alleles
Symbol Name
Wwoxtm1Ria WW domain-containing oxidoreductase; targeted mutation 1, Rami I Aqeilan
Associated
Genotypes
Allelic Composition Genetic Background
Wwoxtm1Ria/Wwox+ involves: 129X1/SvJ * C57BL/6

Contributing Projects:
Mouse Genome Database (MGD), Gene Expression Database (GXD), Mouse Models of Human Cancer database (MMHCdb) (formerly Mouse Tumor Biology (MTB)), Gene Ontology (GO)
Citing These Resources
Funding Information
Warranty Disclaimer, Privacy Notice, Licensing, & Copyright
Send questions and comments to User Support.
last database update
12/30/2025
MGI 6.24
The Jackson Laboratory