About   Help   FAQ
Phenotype Image Detail
Image
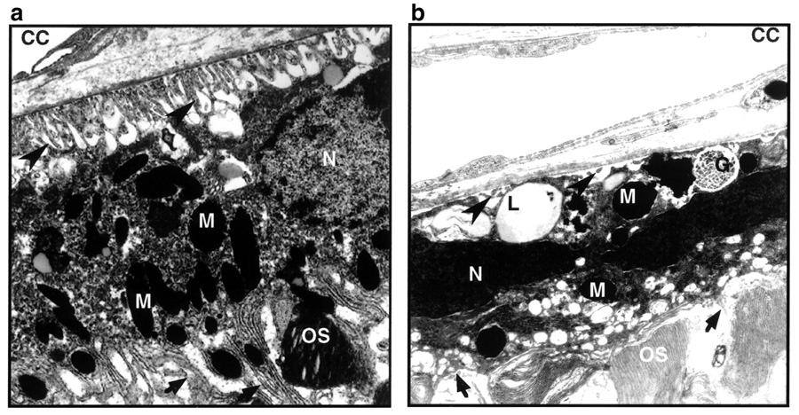
Caption Oattm1Dva/Oattm1Dva mice on an arginine-restricted diet (a) or a standard diet (b) at age 12 months. The large arrow heads indicate the basal infoldings of retinal pigment epithelium, healthy-appearing in (a) and virtually gone in (b). The small arrows indicate the apical processes of the retinal pigment epithelium, long and delicate in (a) and short and disorganized in (b). Abbreviations: choriocapillaris (CC); nuclei of the retinal pigment epithelium (N); melanosome (M); photoreceptor outer segment (OS); lipid droplets (L); glycogen accumulation (G)
Copyright This image is from Wang T, Proc Natl Acad Sci U S A 2000 Feb 1;97(3):1224-9. Copyright 2000 National Academy of Sciences, U.S.A. J:60200
Associated
Alleles
Symbol Name
Oattm1Dva ornithine aminotransferase; targeted mutation 1, David Valle
Associated
Genotypes
Allelic Composition Genetic Background
Oattm1Dva/Oattm1Dva involves: 129S7/SvEvBrd

Contributing Projects:
Mouse Genome Database (MGD), Gene Expression Database (GXD), Mouse Models of Human Cancer database (MMHCdb) (formerly Mouse Tumor Biology (MTB)), Gene Ontology (GO)
Citing These Resources
Funding Information
Warranty Disclaimer, Privacy Notice, Licensing, & Copyright
Send questions and comments to User Support.
last database update
12/30/2025
MGI 6.24
The Jackson Laboratory