About   Help   FAQ
Phenotype Image Detail
Image
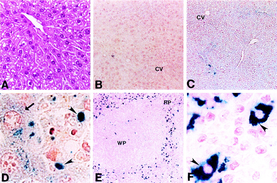
Caption A: Hematoxylin/eosin stain of liver of 1 year old Cptm1Hrs/Cptm1Hrs mouse. B: Perl's stain of liver section of 1 year old wild-type mouse. C: Perl's stain of liver section from homozygous mutant littermate. D: High-power view of C. Arrow indicates iron accumulation in hepatocyte; arrowheads indicate Kupffer cells. E: Perl's stain of 1 year old homozygous mutant mouse spleen. F: High-power view of E. Arrowheads indicate iron within splenic reticuloendothelial cells. Abbreviations: central vein (CV); red pulp (RP) white pulp (WP). Magnification A: x17; B, C & E x8.5; D & F: x100
Copyright This image is from Harris ZL, Proc Natl Acad Sci U S A 1999 Sep 14;96(19):10812-7. Copyright 1999 National Academy of Sciences, U.S.A. J:57730
Associated
Alleles
Symbol Name
Cptm1Hrs ceruloplasmin; targeted mutation 1, Z Leah Harris
Associated
Genotypes
Allelic Composition Genetic Background
Cptm1Hrs/Cptm1Hrs involves: 129X1/SvJ * Black Swiss

Contributing Projects:
Mouse Genome Database (MGD), Gene Expression Database (GXD), Mouse Models of Human Cancer database (MMHCdb) (formerly Mouse Tumor Biology (MTB)), Gene Ontology (GO)
Citing These Resources
Funding Information
Warranty Disclaimer, Privacy Notice, Licensing, & Copyright
Send questions and comments to User Support.
last database update
12/30/2025
MGI 6.24
The Jackson Laboratory