About   Help   FAQ
Phenotype Image Detail
Image
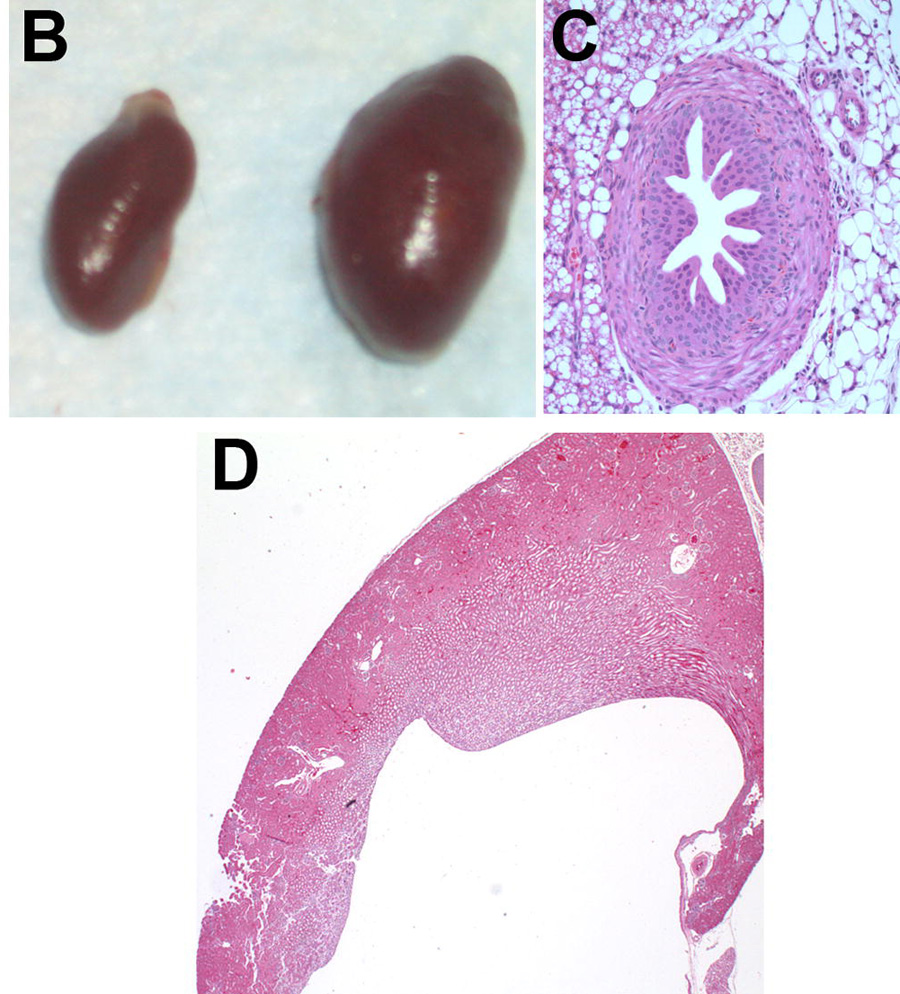
Caption Anatomy and histology of mouse kidneys. B) Left kidney of an Aqp2F204V/Aqp2F204V mutant mouse (right) compared to a kidney from an age-sex matched unaffected littermate (left). C) Hematoxylin and eosin stained section of ureter from a mutant mouse, showing normal histology despite bloating of the kidney. D) Hematoxylin and eosin stained histologic section of a kidney from a 4-week-old female mutant mouse. The mutant kidney shows marked dilatation of the renal pelvis with blunting of the papilla. There is preservation of the cortex and medulla.
Copyright This image is from Lloyd DJ, PLoS Genet 2005 Aug 19;1(2):e20, and is displayed under the terms of the Creative Commons Attribution 4.0 International License. J:105809
Associated
Alleles
Symbol Name
Aqp2F204V aquaporin 2; Phe204Val
Associated
Genotypes
Allelic Composition Genetic Background
Aqp2F204V/Aqp2F204V C57BL/6-Aqp2F204V

Contributing Projects:
Mouse Genome Database (MGD), Gene Expression Database (GXD), Mouse Models of Human Cancer database (MMHCdb) (formerly Mouse Tumor Biology (MTB)), Gene Ontology (GO)
Citing These Resources
Funding Information
Warranty Disclaimer, Privacy Notice, Licensing, & Copyright
Send questions and comments to User Support.
last database update
12/30/2025
MGI 6.24
The Jackson Laboratory