About   Help   FAQ
Phenotype Image Detail
Image
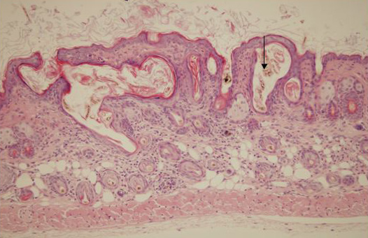
Caption Ass1fold/Ass1fold mice have displastic hair follicles as show here (note arrow). The hair folicle does produce a normal hair fiber.
Copyright Photo courtesy of Mouse Mutant Resource at The Jackson Laboratory. https://www.jax.org/research-and-faculty/tools/mouse-mutant-resource J:110244
Associated
Alleles
Symbol Name
Ass1fold argininosuccinate synthetase 1; follicular dystrophy
Associated
Genotypes
Allelic Composition Genetic Background
Ass1fold/Ass1fold B6Ei.P-Ass1fold/GrsrJ

Contributing Projects:
Mouse Genome Database (MGD), Gene Expression Database (GXD), Mouse Models of Human Cancer database (MMHCdb) (formerly Mouse Tumor Biology (MTB)), Gene Ontology (GO)
Citing These Resources
Funding Information
Warranty Disclaimer, Privacy Notice, Licensing, & Copyright
Send questions and comments to User Support.
last database update
09/30/2025
MGI 6.24
The Jackson Laboratory