About   Help   FAQ
Gene Expression Data
Assay Details
Assay
Reference: J:261678 Aoidi R, et al., Mek1(Y130C) mice recapitulate aspects of human cardio-facio-cutaneous syndrome. Dis Model Mech. 2018 Mar 13;11(3):dmm031278
Assay type: Immunohistochemistry
MGI Accession ID: MGI:7840123
Gene symbol: Mapk1
Gene name: mitogen-activated protein kinase 1
Antibody: anti-phospho-ERK1/2
Detection system: Secondary antibody coupled to Alexa Fluor
Results
Specimen 5D +/+: embryonic day 13.5 (more )
Structure Level Pattern Image Note
TS21: pulmonary artery Present 5D +/+ No variation of expression between different genotypes.

Specimen 5D +/-: embryonic day 13.5; Map2k1tm1.1Chrn/Map2k1+ (more )
Structure Level Pattern Image Note
TS21: pulmonary artery Present 5D +/- No variation of expression between different genotypes.

Specimen 5D Y130C/+: embryonic day 13.5; Map2k1tm2.1Chrn/Map2k1+ (more )
Structure Level Pattern Image Note
TS21: pulmonary artery Present 5D Y130C/+ No variation of expression between different genotypes.

Specimen 5D Y130C/-: embryonic day 13.5; Map2k1tm2.1Chrn/Map2k1tm1.1Chrn (more )
Structure Level Pattern Image Note
TS21: pulmonary artery Present 5D Y130C/- No variation of expression between different genotypes.

Specimen 5D Y130C/Y130C: embryonic day 13.5; Map2k1tm2.1Chrn/Map2k1tm2.1Chrn (more )
Structure Level Pattern Image Note
TS21: pulmonary artery Present 5D Y130C/Y130C No variation of expression between different genotypes.

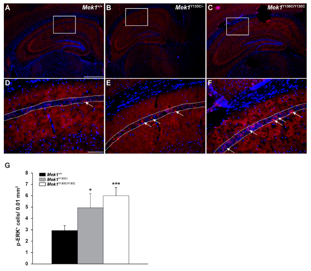
Specimen S4A,D: postnatal week 6 (more )
Structure Level Pattern Image Note
TS28: CA1 pyramidal cell layer Present S4D , S4A

Specimen S4B,E: postnatal week 6; Map2k1tm2.1Chrn/Map2k1tm1.1Chrn (more )
Structure Level Pattern Image Note
TS28: CA1 pyramidal cell layer Present S4B , S4E

Specimen S4C,F: postnatal week 6; Map2k1tm2.1Chrn/Map2k1tm2.1Chrn (more )
Structure Level Pattern Image Note
TS28: CA1 pyramidal cell layer Present Regionally restricted S4F , S4C Increased density of expressing cells compared to wild type.


Contributing Projects:
Mouse Genome Database (MGD), Gene Expression Database (GXD), Mouse Models of Human Cancer database (MMHCdb) (formerly Mouse Tumor Biology (MTB)), Gene Ontology (GO)
Citing These Resources
Funding Information
Warranty Disclaimer, Privacy Notice, Licensing, & Copyright
Send questions and comments to User Support.
last database update
01/20/2026
MGI 6.24
The Jackson Laboratory