Gene Expression Data
Assay Details
|
Assay
|
|
Reference:
|
J:214972
Fei D, et al., The neurotrophin receptor p75 regulates gustatory axon branching and promotes innervation of the tongue during development. Neural Dev. 2014;9:15
|
|
Assay type:
|
Immunohistochemistry
|
|
MGI Accession ID:
|
MGI:7786615
|
|
Gene symbol:
|
Tubb3
|
|
Gene name:
|
tubulin, beta 3 class III
|
|
Antibody:
|
anti-TUBB3 (MMS-345P)
|
|
Detection system:
|
Biotinylated secondary antibody/[Strept]avidin coupled to horseradish peroxidase
|
|
|
Results
|
Specimen
4A:
embryonic day 13.5
(more )
Specimen
4A:
(close )
|
Genetic Background:
|
Not Specified
|
|
Age:
|
embryonic day 13.5
|
|
Sex:
|
Not Specified
|
|
Type:
|
section
|
|
Fixation:
|
4% Paraformaldehyde
|
|
Embedding:
|
Paraffin
|
Specimen
4B:
(close )
|
Genetic Background:
|
involves: 129S4/SvJae
|
|
Mutant Allele(s):
|
Ngfrtm1Jae/Ngfrtm1Jae
|
|
Age:
|
embryonic day 13.5
|
|
Sex:
|
Not Specified
|
|
Type:
|
section
|
|
Fixation:
|
4% Paraformaldehyde
|
|
Embedding:
|
Paraffin
|
| Structure |
Level |
Pattern |
Image |
Note |
| TS21: facial ganglion |
Present |
|
4B
|
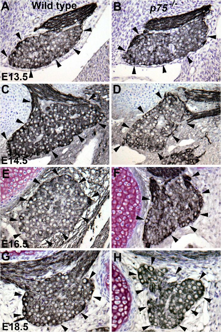
Expression in this mutant is the same as in wild-type.
|
Specimen
4C:
embryonic day 14.5
(more )
Specimen
4C:
(close )
|
Genetic Background:
|
Not Specified
|
|
Age:
|
embryonic day 14.5
|
|
Sex:
|
Not Specified
|
|
Type:
|
section
|
|
Fixation:
|
4% Paraformaldehyde
|
|
Embedding:
|
Paraffin
|
Specimen
4D:
(close )
|
Genetic Background:
|
involves: 129S4/SvJae
|
|
Mutant Allele(s):
|
Ngfrtm1Jae/Ngfrtm1Jae
|
|
Age:
|
embryonic day 14.5
|
|
Sex:
|
Not Specified
|
|
Type:
|
section
|
|
Fixation:
|
4% Paraformaldehyde
|
|
Embedding:
|
Paraffin
|
| Structure |
Level |
Pattern |
Image |
Note |
| TS22: facial ganglion |
Present |
|
4D
|
This mutant has significantly fewer positive neurons compared to wild-type.
|
Specimen
4E:
embryonic day 16.5
(more )
Specimen
4E:
(close )
|
Genetic Background:
|
Not Specified
|
|
Age:
|
embryonic day 16.5
|
|
Sex:
|
Not Specified
|
|
Type:
|
section
|
|
Fixation:
|
4% Paraformaldehyde
|
|
Embedding:
|
Paraffin
|
Specimen
4F:
(close )
|
Genetic Background:
|
involves: 129S4/SvJae
|
|
Mutant Allele(s):
|
Ngfrtm1Jae/Ngfrtm1Jae
|
|
Age:
|
embryonic day 16.5
|
|
Sex:
|
Not Specified
|
|
Type:
|
section
|
|
Fixation:
|
4% Paraformaldehyde
|
|
Embedding:
|
Paraffin
|
| Structure |
Level |
Pattern |
Image |
Note |
| TS24: facial ganglion |
Present |
|
4F
|
This mutant hassignificantly fewer positive neurons compared to wild-type.
|
Specimen
4G:
embryonic day 18.5
(more )
Specimen
4G:
(close )
|
Genetic Background:
|
Not Specified
|
|
Age:
|
embryonic day 18.5
|
|
Sex:
|
Not Specified
|
|
Type:
|
section
|
|
Fixation:
|
4% Paraformaldehyde
|
|
Embedding:
|
Paraffin
|
Specimen
4H:
(close )
|
Genetic Background:
|
involves: 129S4/SvJae
|
|
Mutant Allele(s):
|
Ngfrtm1Jae/Ngfrtm1Jae
|
|
Age:
|
embryonic day 18.5
|
|
Sex:
|
Not Specified
|
|
Type:
|
section
|
|
Fixation:
|
4% Paraformaldehyde
|
|
Embedding:
|
Paraffin
|
| Structure |
Level |
Pattern |
Image |
Note |
| TS26: facial ganglion |
Present |
|
4H
|
This mutant has significantly fewer positive neurons compared to wild-type.
|
|