About   Help   FAQ
Gene Expression Data
Assay Details
Assay
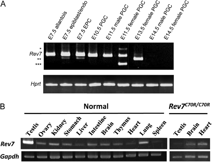
Reference: J:209515 Khalaj M, et al., A missense mutation in Rev7 disrupts formation of Polzeta, impairing mouse development and repair of genotoxic agent-induced DNA lesions. J Biol Chem. 2014 Feb 7;289(6):3811-24
Assay type: RT-PCR
MGI Accession ID: MGI:7748749
Gene symbol: Mad2l2
Gene name: MAD2 mitotic arrest deficient-like 2
Probe: Rev7-pF, Rev7-pR
Assay notes: Semi-quantitative RT-PCR. Relative expression was normalized to Gapdh.
Results
Image: 5A ©

 Sample Information Bands Other Sample Information
Lane AgeStructure Size Not Specified Amount Genetic BackgroundMutant Allele(s)Sex
E7.5 allantois E7.5 TS11: allantois Present Not Specified Not Specified Not Specified
E7.5 epiblast/endo E7.5 TS11: embryo Present Not Specified Not Specified Not Specified
E7.5 EPC E7.5 TS11: ectoplacental cone Present Not Specified Not Specified Not Specified
- Fractionated sample: no data stored

Contributing Projects:
Mouse Genome Database (MGD), Gene Expression Database (GXD), Mouse Models of Human Cancer database (MMHCdb) (formerly Mouse Tumor Biology (MTB)), Gene Ontology (GO)
Citing These Resources
Funding Information
Warranty Disclaimer, Privacy Notice, Licensing, & Copyright
Send questions and comments to User Support.
last database update
01/20/2026
MGI 6.24
The Jackson Laboratory