About   Help   FAQ
Gene Expression Data
Assay Details
Assay
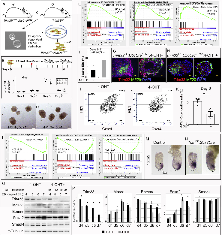
Reference: J:276571 Rajderkar S, et al., Trim33 is required for appropriate development of pre-cardiogenic mesoderm. Dev Biol. 2019 Jun 15;450(2):101-114
Assay type: RNA in situ
MGI Accession ID: MGI:7595633
Gene symbol: Foxa2
Gene name: forkhead box A2
Probe: Foxa2 probe
Probe preparation: Antisense labelled with digoxigenin RNA
Visualized with: Alkaline phosphatase
Results
Specimen 4M (left: embryonic day 7.0; Trim33tm1Vk/Trim33+ (more )
Structure Level Pattern Image Note
TS10: primitive streak Present Regionally restricted 4M (left) Expression in presumptive cardiogenic region of primitive streak.

Specimen 4M (right): embryonic day 7.0; Trim33tm1Vk/Trim33+ (more )
Structure Level Pattern Image Note
TS10: primitive streak Present Regionally restricted 4M (right) Expression in presumptive cardiogenic region of primitive streak.

Specimen 4N (left): embryonic day 7.0; Edil3Tg(Sox2-cre)1Amc/Edil3+, Trim33tm1Vk/Trim33tm1Vk (more )
Note: Conditional mutant.
Structure Level Pattern Image Note
TS10: definitive endoderm Weak 4N (left) Relatively weak expression in endoderm compared to control.

Specimen 4N (right): embryonic day 7.0; Edil3Tg(Sox2-cre)1Amc/Edil3+, Trim33tm1Vk/Trim33tm1Vk (more )
Note: Conditional mutant.
Structure Level Pattern Image Note
TS10: definitive endoderm Weak 4N (right) Relatively weak expression in endoderm compared to control.


Contributing Projects:
Mouse Genome Database (MGD), Gene Expression Database (GXD), Mouse Models of Human Cancer database (MMHCdb) (formerly Mouse Tumor Biology (MTB)), Gene Ontology (GO)
Citing These Resources
Funding Information
Warranty Disclaimer, Privacy Notice, Licensing, & Copyright
Send questions and comments to User Support.
last database update
12/30/2025
MGI 6.24
The Jackson Laboratory