About   Help   FAQ
Gene Expression Data
Assay Details
Assay
Reference: J:320176 Thomas AC, et al., Widespread dynamic and pleiotropic expression of the melanocortin-1-receptor (MC1R) system is conserved across chick, mouse and human embryonic development. Birth Defects Res. 2018 Mar 15;110(5):443-455
Assay type: Immunohistochemistry
MGI Accession ID: MGI:7524565
Gene symbol: Pomc
Gene name: pro-opiomelanocortin-alpha
Antibody: anti-alpha MSH (NBT1-78335)
Detection system: Secondary antibody coupled to horseradish peroxidase
Results
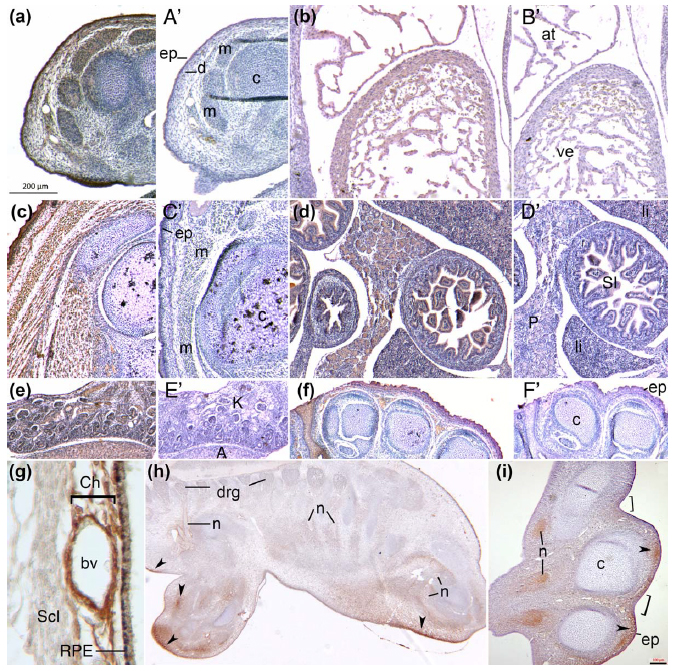
Specimen 5a: embryonic day 13.5 (more )
Structure Level Pattern Image Note
TS21: epidermis Present 5a
TS21: limb musculature Present 5a
TS21: perichondrium Present 5a

Specimen 5b: embryonic day 13.5 (more )
Structure Cell Type Level Pattern Image Note
TS21: heart cardiac muscle cell Present 5b

Specimen 5c: embryonic day 17.5 (more )
Structure Level Pattern Image Note
TS25: limb dermis Strong 5c
TS25: limb epidermis Strong 5c
TS25: limb muscle Strong 5c
TS25: perichondrium Absent 5c

Specimen 5d: embryonic day 17.5 (more )
Structure Level Pattern Image Note
TS25: intestine epithelium Present 5d
TS25: liver Present 5d
TS25: pancreas Present 5d

Specimen 5e: embryonic day 17.5 (more )
Structure Level Pattern Image Note
TS25: adrenal gland Present 5e
TS25: metanephros Present 5e

Specimen 5f: embryonic day 17.5 (more )
Structure Level Pattern Image Note
TS25: limb interdigital region mesenchyme Present 5f


Contributing Projects:
Mouse Genome Database (MGD), Gene Expression Database (GXD), Mouse Models of Human Cancer database (MMHCdb) (formerly Mouse Tumor Biology (MTB)), Gene Ontology (GO)
Citing These Resources
Funding Information
Warranty Disclaimer, Privacy Notice, Licensing, & Copyright
Send questions and comments to User Support.
last database update
12/30/2025
MGI 6.24
The Jackson Laboratory