About   Help   FAQ
Gene Expression Data
Assay Details
Assay
Reference: J:320176 Thomas AC, et al., Widespread dynamic and pleiotropic expression of the melanocortin-1-receptor (MC1R) system is conserved across chick, mouse and human embryonic development. Birth Defects Res. 2018 Mar 15;110(5):443-455
Assay type: RNA in situ
MGI Accession ID: MGI:7524564
Gene symbol: Pomc
Gene name: pro-opiomelanocortin-alpha
Probe: Pomc probe
Probe preparation: Antisense labelled with digoxigenin RNA
Results
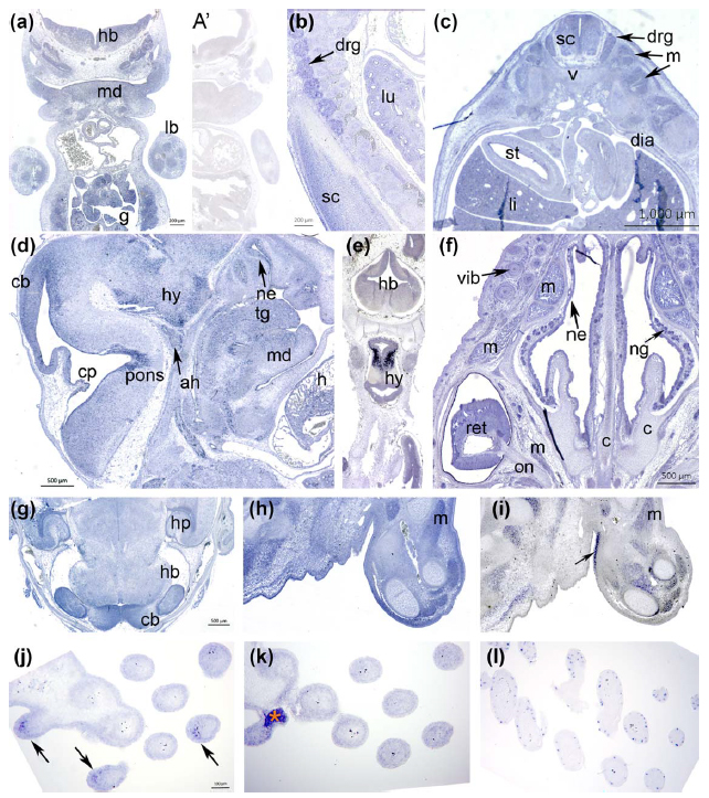
Specimen 4a: embryonic day 11.5 (more )
Structure Level Pattern Image Note
TS20: central nervous system Present Widespread 4a
TS20: cartilage Present 4a
TS20: head mesenchyme Present 4a
TS20: skeletal muscle Present 4a
TS20: gut Strong 4a
TS20: limb musculature Strong 4a
TS20: mandibular process mesenchyme Strong 4a
TS20: rib pre-cartilage condensation Strong 4a
TS20: trunk musculature Strong Regionally restricted 4a Expression was strong in intercostal muscle masses.

Specimen 4b: embryonic day 13.5 (more )
Structure Level Pattern Image Note
TS21: dorsal root ganglion Strong 4b
TS21: lung mesenchyme Strong 4b
TS21: peripheral nervous system Strong 4b
TS21: spinal cord Strong 4b
TS21: lung epithelium Present 4b

Specimen 4c: embryonic day 13.5 (more )
Structure Level Pattern Image Note
TS21: dermis Strong 4c
TS21: liver Strong 4c
TS21: trunk musculature Present Regionally restricted 4c Expression was detected in epaxial skeletal muscle.
TS21: diaphragm Present Regionally restricted 4c Expression was detected in diaphragmatic smooth muscle.
TS21: intestine smooth muscle Present 4c
TS21: vertebral cartilage condensation Weak 4c
TS21: stomach epithelium Present 4c

Specimen 4d: embryonic day 13.5 (more )
Structure Level Pattern Image Note
TS21: head Present 4d
TS21: heart Present 4d
TS21: pituitary gland Present 4d
TS21: salivary gland epithelium Present 4d
TS21: cerebellum Strong 4d
TS21: hypothalamus Strong 4d
TS21: nasal epithelium Strong 4d
TS21: pons Strong 4d
TS21: tongue Strong 4d

Specimen 4f: embryonic day 17.5 (more )
Structure Cell Type Level Pattern Image Note
TS25: facial muscle Present 4f
TS25: nasal epithelium Present 4f
TS25: nasal gland Present 4f
TS25: vibrissa Present 4f
TS25: hair follicle Present Regionally restricted 4f Expression was detected in standard-sized hair follicles of the face.
TS25: neural retina Strong 4f
TS25: optic nerve glial cell Present 4f

Specimen 4g: embryonic day 17.5 (more )
Structure Level Pattern Image Note
TS25: cerebellum Strong 4g
TS25: hippocampus Strong 4g


Contributing Projects:
Mouse Genome Database (MGD), Gene Expression Database (GXD), Mouse Models of Human Cancer database (MMHCdb) (formerly Mouse Tumor Biology (MTB)), Gene Ontology (GO)
Citing These Resources
Funding Information
Warranty Disclaimer, Privacy Notice, Licensing, & Copyright
Send questions and comments to User Support.
last database update
12/30/2025
MGI 6.24
The Jackson Laboratory