About   Help   FAQ
Gene Expression Data
Assay Details
Assay
Reference: J:49099 Weiner JA, et al., Lysophosphatidic acid receptor gene vzg-1/lpA1/edg-2 is expressed by mature oligodendrocytes during myelination in the postnatal murine brain. J Comp Neurol. 1998 Sep 7;398(4):587-98
Assay type: Northern blot
MGI Accession ID: MGI:7520886
Gene symbol: Lpar1
Gene name: lysophosphatidic acid receptor 1
Probe: vzg-1 cDNA
Probe preparation: Double stranded labelled with P32 DNA
Visualized with: Autoradiography
Results
Image: 8 ©

 Sample Information Bands Other Sample Information
Lane AgeStructure Size Not Specified Amount Genetic BackgroundMutant Allele(s)Sex
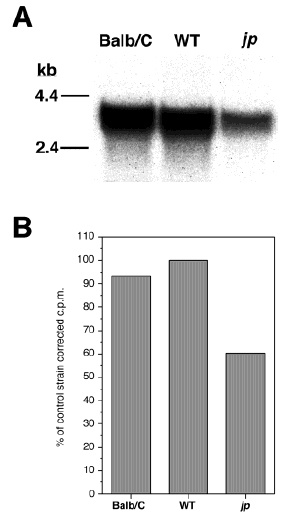
Balb/C P w 3 TS28: brain Present 20 µg; total RNA BALB/c Not Specified
WT P w 3 TS28: brain Present 20 µg; total RNA Not Specified Not Specified
jp P w 3 TS28: brain Present (a) 20 µg; total RNA Not Specified Plp1jp/YMale
Notes:
(a) Expression in this mutant is 40% reduced of that seen in wild-type brain.

Contributing Projects:
Mouse Genome Database (MGD), Gene Expression Database (GXD), Mouse Models of Human Cancer database (MMHCdb) (formerly Mouse Tumor Biology (MTB)), Gene Ontology (GO)
Citing These Resources
Funding Information
Warranty Disclaimer, Privacy Notice, Licensing, & Copyright
Send questions and comments to User Support.
last database update
12/30/2025
MGI 6.24
The Jackson Laboratory