About   Help   FAQ
Gene Expression Data
Assay Details
Assay
Reference: J:42121 Montague P, et al., Developmental expression of the murine Mobp gene. J Neurosci Res. 1997 Jul 15;49(2):133-43
Assay type: Northern blot
MGI Accession ID: MGI:7513928
Gene symbol: Mobp
Gene name: myelin-associated oligodendrocytic basic protein
Probe: mmsv-2 probe
Probe preparation: labelled with P32 DNA
Visualized with: Autoradiography
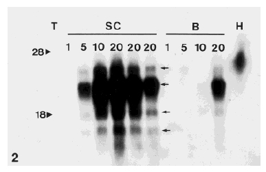
Results
Image: 2 ©

 Sample Information Bands Other Sample Information
Lane AgeStructure Size Not Specified (a) Amount Genetic BackgroundMutant Allele(s)Sex
T P adult TS28: testis Absent 10 µg; total RNA Not Specified Male
SC 1 P1 TS27: spinal cord Absent 10 µg; total RNA Not Specified Not Specified
SC 5 P5 TS28: spinal cord Present 10 µg; total RNA Not Specified Not Specified
SC 10 P10 TS28: spinal cord Strong (b) 10 µg; total RNA Not Specified Not Specified
SC 20 P20 TS28: spinal cord Strong (b) 10 µg; total RNA Not Specified Not Specified
SC 20 P20 TS28: spinal cord Strong (b) 5 µg; total RNA Not Specified Not Specified
SC 20 P20 TS28: spinal cord Present 2.5 µg; total RNA Not Specified Not Specified
B 1 P1 TS27: brain Absent 10 µg; total RNA Not Specified Not Specified
B 5 P5 TS28: brain Trace 10 µg; total RNA Not Specified Not Specified
B 10 P10 TS28: brain Trace 10 µg; total RNA Not Specified Not Specified
B 20 P20 TS28: brain Present 10 µg; total RNA Not Specified Not Specified
H P adult TS28: heart Absent 10 µg; total RNA Not Specified Not Specified
Notes:
(a) 4 bands, with dominant band of ~2.5 kb
(b) Expression more prominent in spinal cord

Contributing Projects:
Mouse Genome Database (MGD), Gene Expression Database (GXD), Mouse Models of Human Cancer database (MMHCdb) (formerly Mouse Tumor Biology (MTB)), Gene Ontology (GO)
Citing These Resources
Funding Information
Warranty Disclaimer, Privacy Notice, Licensing, & Copyright
Send questions and comments to User Support.
last database update
01/28/2026
MGI 6.24
The Jackson Laboratory