About   Help   FAQ
Gene Expression Data
Assay Details
Assay
Reference: J:237224 Kim JY, et al., Yap is essential for retinal progenitor cell cycle progression and RPE cell fate acquisition in the developing mouse eye. Dev Biol. 2016 Nov 15;419(2):336-347
Assay type: Western blot
MGI Accession ID: MGI:7437594
Gene symbol: Yap1
Gene name: yes-associated protein 1
Antibody: anti-YAP (#4912)
Detection system: Secondary antibody coupled to fluorescein
Results
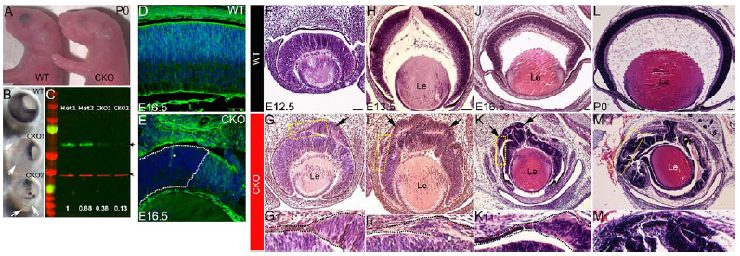
Image: 3C ©

 Sample Information Bands Other Sample Information
Lane AgeStructure Size Not Specified Genetic BackgroundMutant Allele(s)Sex Note
M Mol. Wt. Marker Lane
Het1 E15.5 TS23: retina Present involves: 129S/SvEv Tg(rx3-icre)1Mjam/0, Yap1tm1.1Eno/Yap1+Not Specified Conditional mutant.
Het2 E15.5 TS23: retina Present involves: 129S/SvEv Tg(rx3-icre)1Mjam/0, Yap1tm1.1Eno/Yap1+Not Specified Conditional mutant.
CKO1 E15.5 TS23: retina Weak (a) involves: 129S/SvEv Tg(rx3-icre)1Mjam/0, Yap1tm1.1Eno/Yap1tm1.1EnoNot Specified Conditional mutant.
CKO2 E15.5 TS23: retina Weak (a) involves: 129S/SvEv Tg(rx3-icre)1Mjam/0, Yap1tm1.1Eno/Yap1tm1.1EnoNot Specified Conditional mutant.
Notes:
(a) Decreased expression.

Contributing Projects:
Mouse Genome Database (MGD), Gene Expression Database (GXD), Mouse Models of Human Cancer database (MMHCdb) (formerly Mouse Tumor Biology (MTB)), Gene Ontology (GO)
Citing These Resources
Funding Information
Warranty Disclaimer, Privacy Notice, Licensing, & Copyright
Send questions and comments to User Support.
last database update
12/30/2025
MGI 6.24
The Jackson Laboratory