About   Help   FAQ
Gene Expression Data
Assay Details
Assay
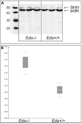
Reference: J:332792 Horakova L, et al., Eda controls the size of the enamel knot during incisor development. Front Physiol. 2022;13:1033130
Assay type: Western blot
MGI Accession ID: MGI:7432649
Gene symbol: Shh
Gene name: sonic hedgehog
Results
Image: 6A ©

 Sample Information Bands Other Sample Information
Lane AgeStructure Size Not Specified Genetic BackgroundMutant Allele(s)Sex
Eda-/- E14.5 TS22: lower jaw Present (a) B6CBACa Aw-J/A-EdaTa/J-XO EdaTa/EdaTaNot Specified
Eda-/- E14.5 TS22: lower jaw Present (a) B6CBACa Aw-J/A-EdaTa/J-XO EdaTa/EdaTaNot Specified
Eda-/- E14.5 TS22: lower jaw Present (a) B6CBACa Aw-J/A-EdaTa/J-XO EdaTa/EdaTaNot Specified
Eda+/+ E14.5 TS22: lower jaw Present Not Specified Not Specified
Eda+/+ E14.5 TS22: lower jaw Present Not Specified Not Specified
Eda+/+ E14.5 TS22: lower jaw Present Not Specified Not Specified
Notes:
(a) Relative amount of uncleaved protein not signficantly different from control.

Contributing Projects:
Mouse Genome Database (MGD), Gene Expression Database (GXD), Mouse Models of Human Cancer database (MMHCdb) (formerly Mouse Tumor Biology (MTB)), Gene Ontology (GO)
Citing These Resources
Funding Information
Warranty Disclaimer, Privacy Notice, Licensing, & Copyright
Send questions and comments to User Support.
last database update
01/28/2026
MGI 6.24
The Jackson Laboratory