About   Help   FAQ
Gene Expression Data
Assay Details
Assay
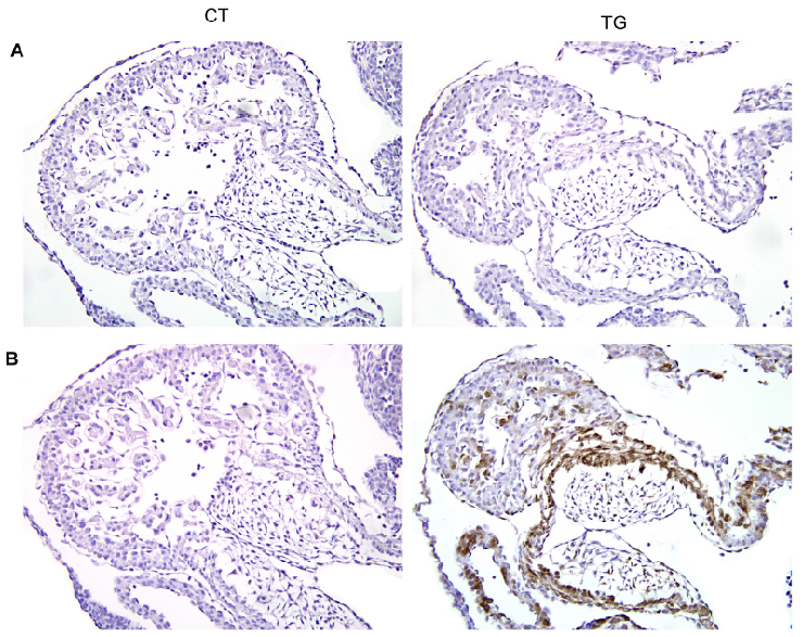
Reference: J:163898 Shim M, et al., Embryonic expression of cyclooxygenase-2 causes malformations in axial skeleton. J Biol Chem. 2010 May 21;285(21):16206-17
Assay type: Immunohistochemistry
MGI Accession ID: MGI:7430926
Gene symbol: Casp3
Gene name: caspase 3
Antibody: anti-cleaved caspase-3
Detection system: Secondary antibody
Results
Specimen 7C CT: embryonic day 9.5 (more )
Note: The genetic background of the specimen was either wild type or heterozygous for the Meox2tm1(cre)Sor allele.
Structure Level Pattern Image Note
TS15: neural tube Absent 7C CT

Specimen S3A CT: embryonic day 10.5 (more )
Note: The genetic background of the specimen was either wild type or heterozygous for the Meox2tm1(cre)Sor allele.
Structure Level Pattern Image Note
TS17: heart Absent S3A CT


Contributing Projects:
Mouse Genome Database (MGD), Gene Expression Database (GXD), Mouse Models of Human Cancer database (MMHCdb) (formerly Mouse Tumor Biology (MTB)), Gene Ontology (GO)
Citing These Resources
Funding Information
Warranty Disclaimer, Privacy Notice, Licensing, & Copyright
Send questions and comments to User Support.
last database update
03/24/2026
MGI 6.24
The Jackson Laboratory