About   Help   FAQ
Gene Expression Data
Assay Details
Assay
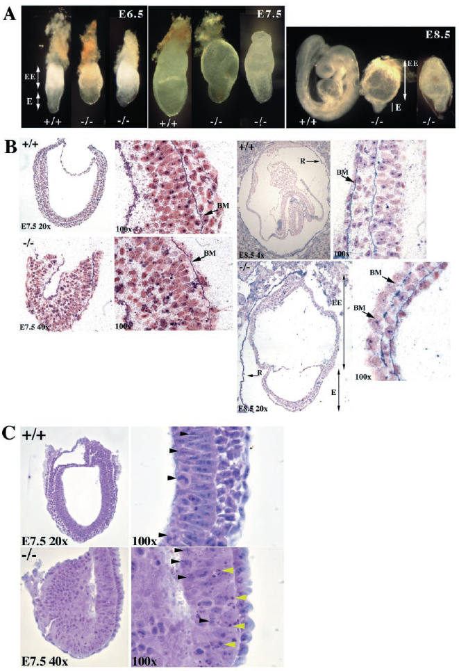
Reference: J:69862 Kuo YM, et al., The copper transporter CTR1 provides an essential function in mammalian embryonic development. Proc Natl Acad Sci U S A. 2001 Jun 5;98(12):6836-41
Assay type: Immunohistochemistry
MGI Accession ID: MGI:7429205
Gene symbol: Col4a1
Gene name: collagen, type IV, alpha 1
Results
Specimen 2B E7.5 +/+ (left): embryonic day 7.5 (more )
Note: Embedded using JB-4 embedding medium.
Structure Level Pattern Image Note
TS11: embryo Present 2B E7.5 +/+ (left)

Specimen 2B E7.5 +/+ (right): embryonic day 7.5 (more )
Note: Embedded using JB-4 embedding medium.
Structure Level Pattern Image Note
TS11: basement membrane Present 2B E7.5 +/+ (right) Basement membrane appears intact.

Specimen 2B E7.5 -/- (left): embryonic day 7.5; Slc31a1tm1Jgt/Slc31a1tm1Jgt (more )
Note: Embedded using JB-4 embedding medium.
Structure Level Pattern Image Note
TS11: embryo Present 2B E7.5 -/- (left)

Specimen 2B E7.5 -/- (right): embryonic day 7.5; Slc31a1tm1Jgt/Slc31a1tm1Jgt (more )
Note: Embedded using JB-4 embedding medium.
Structure Level Pattern Image Note
TS11: basement membrane Present Regionally restricted 2B E7.5 -/- (right) Basement membrane is discontinuous and variable in thickness.

Specimen 2B E8.5 +/+ (left): embryonic day 8.5 (more )
Note: Embedded using JB-4 embedding medium.
Structure Level Pattern Image Note
TS13: embryo Present Regionally restricted 2B E8.5 +/+ (left)
TS13: Reichert's membrane Present 2B E8.5 +/+ (left) Reichert's membrane appears intact.

Specimen 2B E8.5 +/+ (right): embryonic day 8.5 (more )
Note: Embedded using JB-4 embedding medium.
Structure Level Pattern Image Note
TS13: basement membrane Present 2B E8.5 +/+ (right) Basement membrane is intact.

Specimen 2B E8.5 -/- (left): embryonic day 8.5; Slc31a1tm1Jgt/Slc31a1tm1Jgt (more )
Note: Embedded using JB-4 embedding medium.
Structure Level Pattern Image Note
TS13: embryo Present 2B E8.5 -/- (left)
TS13: Reichert's membrane Present Regionally restricted 2B E8.5 -/- (left) Reichert's membrane is broken

Specimen 2B E8.5 -/- (right): embryonic day 8.5; Slc31a1tm1Jgt/Slc31a1tm1Jgt (more )
Note: Embedded using JB-4 embedding medium.
Structure Level Pattern Image Note
TS13: basement membrane Present Regionally restricted 2B E8.5 -/- (right) Gaps along basement membrane are apparent.


Contributing Projects:
Mouse Genome Database (MGD), Gene Expression Database (GXD), Mouse Models of Human Cancer database (MMHCdb) (formerly Mouse Tumor Biology (MTB)), Gene Ontology (GO)
Citing These Resources
Funding Information
Warranty Disclaimer, Privacy Notice, Licensing, & Copyright
Send questions and comments to User Support.
last database update
01/20/2026
MGI 6.24
The Jackson Laboratory