About   Help   FAQ
Gene Expression Data
Assay Details
Assay
Reference: J:269548 Ramirez DM, et al., Neuronal expression and subcellular localization of cholesterol 24-hydroxylase in the mouse brain. J Comp Neurol. 2008 Apr 10;507(5):1676-93
Assay type: Immunohistochemistry
MGI Accession ID: MGI:7388174
Gene symbol: Cyp46a1
Gene name: cytochrome P450, family 46, subfamily a, polypeptide 1
Antibody: 1A7
Detection system: Secondary antibody coupled to horseradish peroxidase
Results
Specimen 7A: postnatal month 3 (more )
Structure Cell Type Level Pattern Image Note
TS28: hippocampus CA1 pyramidal neuron Strong Regionally restricted 7A Expression is in the cell bodies and dendrites of pyramidal neurons.

Specimen 7B: postnatal month 3; Cyp46a1tm1Rus/Cyp46a1tm1Rus (more )
Structure Level Pattern Image Note
TS28: hippocampus Absent 7B

Specimen 7C: postnatal month 3 (more )
Structure Cell Type Level Pattern Image Note
TS28: dentate gyrus hilus interneuron Strong 7C
TS28: dentate gyrus granule cell layer Present 7C

Specimen 7D: postnatal month 3; Cyp46a1tm1Rus/Cyp46a1tm1Rus (more )
Structure Level Pattern Image Note
TS28: hippocampus Absent 7D

Specimen 7E: postnatal month 14 (more )
Structure Cell Type Level Pattern Image Note
TS28: hippocampus CA1 pyramidal neuron Present Regionally restricted 7E Expression is in the cell bodies and dendrites of pyramidal neurons.

Specimen 7F: postnatal month 14; Cyp46a1tm1Rus/Cyp46a1tm1Rus (more )
Structure Cell Type Level Pattern Image Note
TS28: hippocampus stratum radiatum interneuron Present Regionally restricted 7F

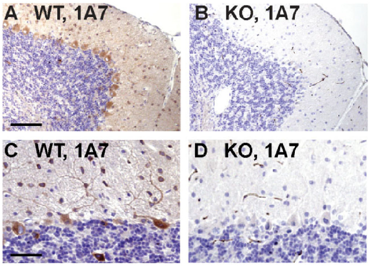
Specimen 8A: postnatal month 3 (more )
Structure Cell Type Level Pattern Image Note
TS28: cerebellum Purkinje cell layer Purkinje cell Strong 8A Expression is in Purkinje cells and their associated dendritic trees.
TS28: cerebellum granule cell layer interneuron Strong Regionally restricted 8A
TS28: cerebellum granule cell layer cerebellar Golgi cell Strong Single cells 8A
TS28: cerebellum Trace Diffuse 8A Expression is in the neuropil.

Specimen 8B: postnatal month 3; Cyp46a1tm1Rus/Cyp46a1tm1Rus (more )
Structure Level Pattern Image Note
TS28: cerebellum Absent 8B

Specimen 8C: postnatal month 3 (more )
Structure Cell Type Level Pattern Image Note
TS28: cerebellum Purkinje cell layer Purkinje cell Strong 8C Expression is in Purkinje cells and their associated dendritic trees.
TS28: cerebellum granule cell layer interneuron Strong Regionally restricted 8C
TS28: cerebellum granule cell layer cerebellar Golgi cell Strong Single cells 8C
TS28: cerebellum Trace Diffuse 8C Expression is in the neuropil.

Specimen 8D: postnatal month 3; Cyp46a1tm1Rus/Cyp46a1tm1Rus (more )
Structure Level Pattern Image Note
TS28: cerebellum Absent 8D

Specimen 9A: postnatal month 3 (more )
Structure Level Pattern Image Note
TS28: cortical layer II Present 9A Expression is in the somata of cortical neurons.
TS28: cortical layer III Present 9A Expression is in the somata of cortical neurons.
TS28: cortical layer V Present 9A Expression is in the somata of cortical neurons.
TS28: cortical layer VI Present 9A Expression is in the somata of cortical neurons.
TS28: neocortex layer Present Diffuse 9A Expression was diffuse in the neuropil in all layers of the cortex.
TS28: cortical layer I Absent 9A
TS28: cortical layer IV Absent 9A

Specimen 9B: postnatal month 3; Cyp46a1tm1Rus/Cyp46a1tm1Rus (more )
Structure Level Pattern Image Note
TS28: cerebral cortex Absent 9B

Specimen 10A: postnatal month 3 (more )
Structure Cell Type Level Pattern Image Note
TS28: retina ganglion cell layer retinal ganglion cell Strong 10A
TS28: retina inner nuclear layer Present Regionally restricted 10A Expression is in some but not all cells located at the edge of the inner nuclear layer.
TS28: pigmented retinal epithelium Present 10A
TS28: photoreceptor layer Absent 10A
TS28: photoreceptor layer outer segment Absent 10A
TS28: retina inner plexiform layer Absent 10A
TS28: retina outer plexiform layer Absent 10A

Specimen 10B: postnatal month 3; Cyp46a1tm1Rus/Cyp46a1tm1Rus (more )
Structure Level Pattern Image Note
TS28: retina Absent 10B

Specimen not shown: postnatal month 3; Cyp46a1tm1Rus/Cyp46a1tm1Rus (more )
Structure Level Pattern Image Note
TS28: optic nerve Absent


Contributing Projects:
Mouse Genome Database (MGD), Gene Expression Database (GXD), Mouse Models of Human Cancer database (MMHCdb) (formerly Mouse Tumor Biology (MTB)), Gene Ontology (GO)
Citing These Resources
Funding Information
Warranty Disclaimer, Privacy Notice, Licensing, & Copyright
Send questions and comments to User Support.
last database update
12/30/2025
MGI 6.24
The Jackson Laboratory