About   Help   FAQ
Gene Expression Data
Assay Details
Assay
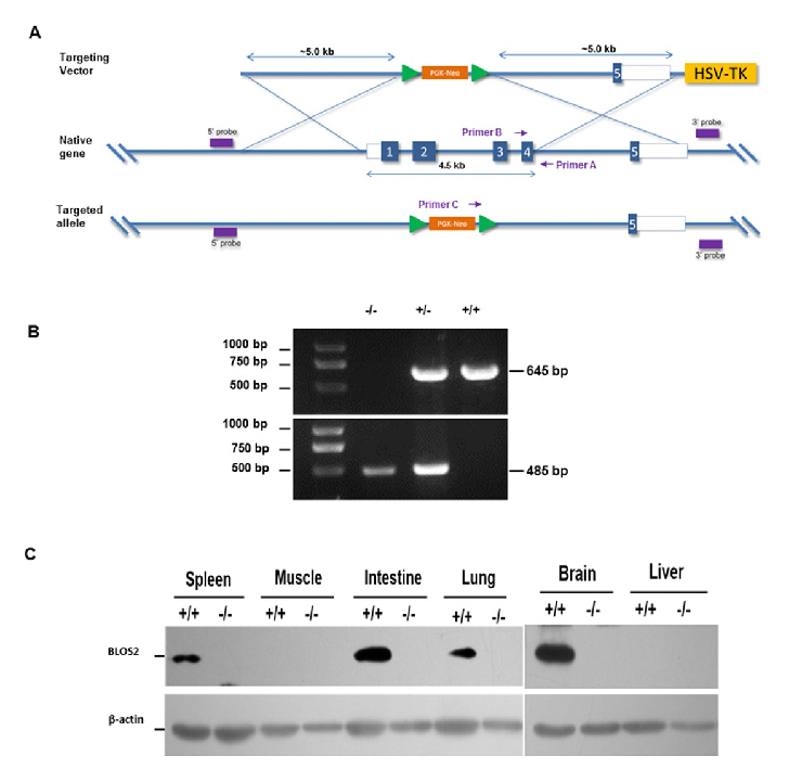
Reference: J:238623 Zhou W, et al., BLOS2 negatively regulates Notch signaling during neural and hematopoietic stem and progenitor cell development. Elife. 2016 Oct 10;5:e18108
Assay type: Western blot
MGI Accession ID: MGI:7377768
Gene symbol: Bloc1s2
Gene name: biogenesis of lysosomal organelles complex-1, subunit 2
Antibody: anti-BLOS2
Results
 Sample Information Bands Other Sample Information
Lane AgeStructure Size Not Specified Genetic BackgroundMutant Allele(s)Sex
Spleen +/+ P newborn TS27: spleen Strong (a) involves: 129 * C57BL/6J Not Specified
Spleen -/- P newborn TS27: spleen Absent involves: 129 * C57BL/6J Bloc1s2tm1Wli/Bloc1s2tm1WliNot Specified
Muscle +/+ P newborn TS27: muscle tissue Absent involves: 129 * C57BL/6J Not Specified
Muscle -/- P newborn TS27: muscle tissue Absent involves: 129 * C57BL/6J Bloc1s2tm1Wli/Bloc1s2tm1WliNot Specified
Intestine +/+ P newborn TS27: intestine Strong (a) involves: 129 * C57BL/6J Not Specified
Intestine -/- P newborn TS27: intestine Absent involves: 129 * C57BL/6J Bloc1s2tm1Wli/Bloc1s2tm1WliNot Specified
Lung +/+ P newborn TS27: lung Present involves: 129 * C57BL/6J Not Specified
Lung -/- P newborn TS27: lung Absent involves: 129 * C57BL/6J Bloc1s2tm1Wli/Bloc1s2tm1WliNot Specified
Brain +/+ P newborn TS27: brain Strong (a) involves: 129 * C57BL/6J Not Specified
Brain -/- P newborn TS27: brain Absent involves: 129 * C57BL/6J Bloc1s2tm1Wli/Bloc1s2tm1WliNot Specified
Liver +/+ P newborn TS27: liver Absent involves: 129 * C57BL/6J Not Specified
Liver -/- P newborn TS27: liver Absent involves: 129 * C57BL/6J Bloc1s2tm1Wli/Bloc1s2tm1WliNot Specified
Notes:
(a) Highly expressed in brain, spleen and intestine.

Contributing Projects:
Mouse Genome Database (MGD), Gene Expression Database (GXD), Mouse Models of Human Cancer database (MMHCdb) (formerly Mouse Tumor Biology (MTB)), Gene Ontology (GO)
Citing These Resources
Funding Information
Warranty Disclaimer, Privacy Notice, Licensing, & Copyright
Send questions and comments to User Support.
last database update
01/28/2026
MGI 6.24
The Jackson Laboratory