About   Help   FAQ
Gene Expression Data
Assay Details
Assay
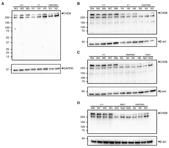
Reference: J:326587 Hurley S, et al., Distinct, dosage-sensitive requirements for the autism-associated factor CHD8 during cortical development. Mol Autism. 2021 Feb 24;12(1):16
Assay type: Western blot
MGI Accession ID: MGI:7316752
Gene symbol: Chd8
Gene name: chromodomain helicase DNA binding protein 8
Antibody: anti-Chd8 (#A301-224A)
Detection system: Secondary antibody coupled to horseradish peroxidase
Results
Image: S1A CHD8 ©

 Sample Information Bands Other Sample Information
Lane AgeStructure Size Not Specified Genetic BackgroundMutant Allele(s)Sex
W1 E12.5 TS20: telencephalon Present involves: C57BL/6J Not Specified
W2 E12.5 TS20: telencephalon Present involves: C57BL/6J Not Specified
W3 E12.5 TS20: telencephalon Present involves: C57BL/6J Not Specified
H1 E12.5 TS20: telencephalon Weak involves: C57BL/6J Chd8tm1.2Mabn/Chd8+Not Specified
H2 E12.5 TS20: telencephalon Weak involves: C57BL/6J Chd8tm1.2Mabn/Chd8+Not Specified
H3 E12.5 TS20: telencephalon Weak involves: C57BL/6J Chd8tm1.2Mabn/Chd8+Not Specified
N1 E12.5 TS20: telencephalon Weak involves: C57BL/6J Chd8tm1Mabn/Chd8tm1MabnNot Specified
N2 E12.5 TS20: telencephalon Weak involves: C57BL/6J Chd8tm1Mabn/Chd8tm1MabnNot Specified

Contributing Projects:
Mouse Genome Database (MGD), Gene Expression Database (GXD), Mouse Models of Human Cancer database (MMHCdb) (formerly Mouse Tumor Biology (MTB)), Gene Ontology (GO)
Citing These Resources
Funding Information
Warranty Disclaimer, Privacy Notice, Licensing, & Copyright
Send questions and comments to User Support.
last database update
12/30/2025
MGI 6.24
The Jackson Laboratory