Gene Expression Data
Assay Details
|
Assay
|
|
Reference:
|
J:311536
Kim BJ, et al., RERE deficiency causes retinal and optic nerve atrophy through degeneration of retinal cells. Dev Dyn. 2021 Oct;250(10):1398-1409
|
|
Assay type:
|
Immunohistochemistry
|
|
MGI Accession ID:
|
MGI:7262899
|
|
Gene symbol:
|
Casp3
|
|
Gene name:
|
caspase 3
|
|
|
Results
|
Specimen
5A:
embryonic day 15.5
(more )
Specimen
5A:
(close )
|
Genetic Background:
|
involves: 129S6/SvEvTac * BTBR * C57BL/6
|
|
Age:
|
embryonic day 15.5
|
|
Sex:
|
Not Specified
|
|
Type:
|
section
|
|
Fixation:
|
Formaldehyde
|
|
Embedding:
|
Paraffin
|
| Structure |
Level |
Pattern |
Image |
Note |
| TS23: retina layer |
Absent |
|
5A
|
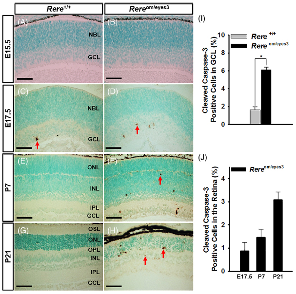
No apoptotic cells were observed in the neuroblast cell layer or the ganglion cell layer.
|
Specimen
5B:
(close )
|
Genetic Background:
|
involves: 129S6/SvEvTac * BTBR * C57BL/6
|
|
Mutant Allele(s):
|
Rereeyes3/Rereom
|
|
Age:
|
embryonic day 15.5
|
|
Sex:
|
Not Specified
|
|
Type:
|
section
|
|
Fixation:
|
Formaldehyde
|
|
Embedding:
|
Paraffin
|
| Structure |
Level |
Pattern |
Image |
Note |
| TS23: retina layer |
Absent |
|
5B
|
No apoptotic cells were observed in the neuroblast cell layer or the ganglion cell layer.
|
Specimen
5C:
embryonic day 17.5
(more )
Specimen
5C:
(close )
|
Genetic Background:
|
involves: 129S6/SvEvTac * BTBR * C57BL/6
|
|
Age:
|
embryonic day 17.5
|
|
Sex:
|
Not Specified
|
|
Type:
|
section
|
|
Fixation:
|
Formaldehyde
|
|
Embedding:
|
Paraffin
|
| Structure |
Level |
Pattern |
Image |
Note |
| TS25: retina layer |
Present |
Regionally restricted |
5C
|
Apoptotic cells were detected in the ganglion cell layer. No apoptotic cells were observed in the neuroblast cell layer.
|
Specimen
5D:
(close )
|
Genetic Background:
|
involves: 129S6/SvEvTac * BTBR * C57BL/6
|
|
Mutant Allele(s):
|
Rereeyes3/Rereom
|
|
Age:
|
embryonic day 17.5
|
|
Sex:
|
Not Specified
|
|
Type:
|
section
|
|
Fixation:
|
Formaldehyde
|
|
Embedding:
|
Paraffin
|
| Structure |
Level |
Pattern |
Image |
Note |
| TS25: retina layer |
Present |
Regionally restricted |
5D
|
Apoptotic cells were detected in the ganglion cell layer. The number was signficantly increased in the mutant compared with wild type littermates. No apoptotic cells were observed in the neuroblast cell layer.
|
Specimen
5E:
postnatal day 7
(more )
Specimen
5E:
(close )
|
Genetic Background:
|
involves: 129S6/SvEvTac * BTBR * C57BL/6
|
|
Age:
|
postnatal day 7
|
|
Sex:
|
Not Specified
|
|
Type:
|
section
|
|
Fixation:
|
Formaldehyde
|
|
Embedding:
|
Paraffin
|
| Structure |
Level |
Pattern |
Image |
Note |
| TS28: retina |
Absent |
|
5E
|
No apoptotic cells were observed in the retina.
|
Specimen
5F:
(close )
|
Genetic Background:
|
involves: 129S6/SvEvTac * BTBR * C57BL/6
|
|
Mutant Allele(s):
|
Rereeyes3/Rereom
|
|
Age:
|
postnatal day 7
|
|
Sex:
|
Not Specified
|
|
Type:
|
section
|
|
Fixation:
|
Formaldehyde
|
|
Embedding:
|
Paraffin
|
Specimen
5G:
postnatal day 21
(more )
Specimen
5G:
(close )
|
Genetic Background:
|
involves: 129S6/SvEvTac * BTBR * C57BL/6
|
|
Age:
|
postnatal day 21
|
|
Sex:
|
Not Specified
|
|
Type:
|
section
|
|
Fixation:
|
Formaldehyde
|
|
Embedding:
|
Paraffin
|
| Structure |
Level |
Pattern |
Image |
Note |
| TS28: retina |
Absent |
|
5G
|
No apoptotic cells were observed.
|
Specimen
5H:
(close )
|
Genetic Background:
|
involves: 129S6/SvEvTac * BTBR * C57BL/6
|
|
Mutant Allele(s):
|
Rereeyes3/Rereom
|
|
Age:
|
postnatal day 21
|
|
Sex:
|
Not Specified
|
|
Type:
|
section
|
|
Fixation:
|
Formaldehyde
|
|
Embedding:
|
Paraffin
|
|