About   Help   FAQ
Gene Expression Data
Assay Details
Assay
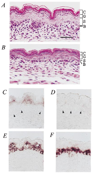
Reference: J:45653 Matsuki M, et al., Defective stratum corneum and early neonatal death in mice lacking the gene for transglutaminase 1 (keratinocyte transglutaminase). Proc Natl Acad Sci U S A. 1998 Feb 3;95(3):1044-9
Assay type: RNA in situ
MGI Accession ID: MGI:6885787
Gene symbol: Tgm1
Gene name: transglutaminase 1, K polypeptide
Probe: TGase1 cDNA
Probe preparation: Antisense labelled with digoxigenin RNA
Results
Specimen 3C: embryonic day 18.5 (more )
Structure Level Pattern Image Note
TS26: epidermis granular layer Present 3C
TS26: epidermis spinous layer Present 3C

Specimen 3D: embryonic day 18.5; Tgm1tm1Kfyn/Tgm1tm1Kfyn (more )
Structure Level Pattern Image Note
TS26: epidermis Absent 3D


Contributing Projects:
Mouse Genome Database (MGD), Gene Expression Database (GXD), Mouse Models of Human Cancer database (MMHCdb) (formerly Mouse Tumor Biology (MTB)), Gene Ontology (GO)
Citing These Resources
Funding Information
Warranty Disclaimer, Privacy Notice, Licensing, & Copyright
Send questions and comments to User Support.
last database update
12/30/2025
MGI 6.24
The Jackson Laboratory