About   Help   FAQ
Gene Expression Data
Assay Details
Assay
Reference: J:118243 Fan X, et al., Estrogen receptor beta expression in the embryonic brain regulates development of calretinin-immunoreactive GABAergic interneurons. Proc Natl Acad Sci U S A. 2006 Dec 19;103(51):19338-43
Assay type: Immunohistochemistry
MGI Accession ID: MGI:6861870
Gene symbol: Egfr
Gene name: epidermal growth factor receptor
Antibody: anti-EGFR
Detection system: Biotinylated secondary antibody/[Strept]avidin coupled to horseradish peroxidase
Results
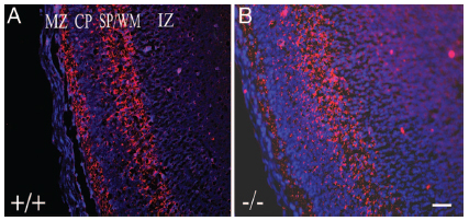
Specimen 6A: embryonic day 15.5 (more )
Structure Level Pattern Image Note
TS23: cortical plate Present Regionally restricted 6A Expression in dorsal cortical plate.
TS23: cerebral cortex marginal layer Strong 6A Expression concentrated in two stripes, corresponding to subplate/white matter and superficial marginal zone.
TS23: cortical subplate Strong 6A Expression concentrated in two stripes, corresponding to subplate/white matter and superficial marginal zone.

Specimen 6B: embryonic day 15.5; Esr2tm1Unc/Esr2tm1Unc (more )
Structure Level Pattern Image Note
TS23: cortical plate Weak Regionally restricted 6B Expression significantly decreased.
TS23: cerebral cortex marginal layer Absent 6B No expression in superficial marginal zone.


Contributing Projects:
Mouse Genome Database (MGD), Gene Expression Database (GXD), Mouse Models of Human Cancer database (MMHCdb) (formerly Mouse Tumor Biology (MTB)), Gene Ontology (GO)
Citing These Resources
Funding Information
Warranty Disclaimer, Privacy Notice, Licensing, & Copyright
Send questions and comments to User Support.
last database update
12/30/2025
MGI 6.24
The Jackson Laboratory