About   Help   FAQ
Gene Expression Data
Assay Details
Assay
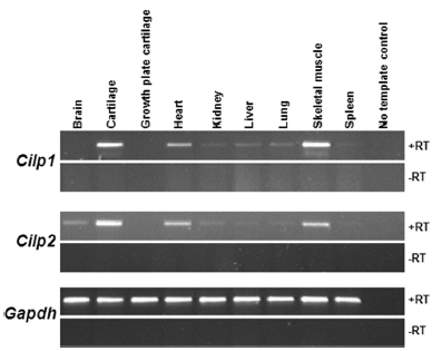
Reference: J:177564 Bernardo BC, et al., Cartilage Intermediate Layer Protein 2 (CILP-2) Is Expressed in Articular and Meniscal Cartilage and Down-regulated in Experimental Osteoarthritis. J Biol Chem. 2011 Oct 28;286(43):37758-67
Assay type: RT-PCR
MGI Accession ID: MGI:6771510
Gene symbol: Cilp2
Gene name: cartilage intermediate layer protein 2
Results
Image: 9_Clip2 ©

 Sample Information Bands Other Sample Information
Lane AgeStructure Size Not Specified Amount Genetic BackgroundMutant Allele(s)Sex
Brain P TS28: brain Present Not Specified; total RNA Swiss Not Specified
Cartilage P TS28: articular cartilage Present Not Specified; total RNA Swiss Not Specified
Growth plate cartilage P TS28: epiphyseal plate Absent Not Specified; total RNA Swiss Not Specified
Heart P TS28: heart Present Not Specified; total RNA Swiss Not Specified
Kidney P TS28: metanephros Weak Not Specified; total RNA Swiss Not Specified
Liver P TS28: liver Weak Not Specified; total RNA Swiss Not Specified
Lung P TS28: lung Weak Not Specified; total RNA Swiss Not Specified
Skeletal muscle P TS28: skeletal muscle Present Not Specified; total RNA Swiss Not Specified
Spleen P TS28: spleen Weak Not Specified; total RNA Swiss Not Specified
No template Control

Contributing Projects:
Mouse Genome Database (MGD), Gene Expression Database (GXD), Mouse Models of Human Cancer database (MMHCdb) (formerly Mouse Tumor Biology (MTB)), Gene Ontology (GO)
Citing These Resources
Funding Information
Warranty Disclaimer, Privacy Notice, Licensing, & Copyright
Send questions and comments to User Support.
last database update
12/30/2025
MGI 6.24
The Jackson Laboratory