About   Help   FAQ
Gene Expression Data
Assay Details
Assay
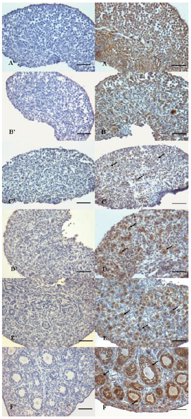
Reference: J:148051 Zhang H, et al., Lanosterol metabolic product(s) is involved in primordial folliculogenesis and establishment of primordial follicle pool in mouse fetal ovary. Mol Reprod Dev. 2009 May;76(5):514-21
Assay type: Immunohistochemistry
MGI Accession ID: MGI:6754182
Gene symbol: Cyp51
Gene name: cytochrome P450, family 51
Antibody: CYP51 antibody
Detection system: Biotinylated secondary antibody/[Strept]avidin coupled to horseradish peroxidase
Results
Specimen 1A: embryonic day 15.5 (more )
Structure Level Pattern Image Note
TS23: germ cell of ovary Present 1A
TS23: ovary Present 1A Expressed in both germ cells and somatic cells.

Specimen 1B: embryonic day 17.5 (more )
Structure Level Pattern Image Note
TS25: germ cell of ovary Present 1B
TS25: pre-granulosa cell Present 1B

Specimen 1C: embryonic day 19.5 (more )
Structure Level Pattern Image Note
TS26: germ cell of ovary Strong 1C
TS26: pre-granulosa cell Absent 1C

Specimen 1D: postnatal day 1 (more )
Structure Level Pattern Image Note
TS27: germ cell of ovary Strong 1D
TS27: ovary follicle cell Absent 1D

Specimen 1E: postnatal day 3 (more )
Structure Level Pattern Image Note
TS27: germ cell of ovary Strong 1E
TS27: ovary follicle cell Absent 1E

Specimen 1F: postnatal day 7 (more )
Structure Level Pattern Image Note
TS28: follicle cell of primordial follicle Present 1F
TS28: oocyte of primordial follicle Present 1F
TS28: ovary growing follicle Present 1F Expressed in oocytes and granulosa cells.


Contributing Projects:
Mouse Genome Database (MGD), Gene Expression Database (GXD), Mouse Models of Human Cancer database (MMHCdb) (formerly Mouse Tumor Biology (MTB)), Gene Ontology (GO)
Citing These Resources
Funding Information
Warranty Disclaimer, Privacy Notice, Licensing, & Copyright
Send questions and comments to User Support.
last database update
01/20/2026
MGI 6.24
The Jackson Laboratory