About   Help   FAQ
Gene Expression Data
Assay Details
Assay
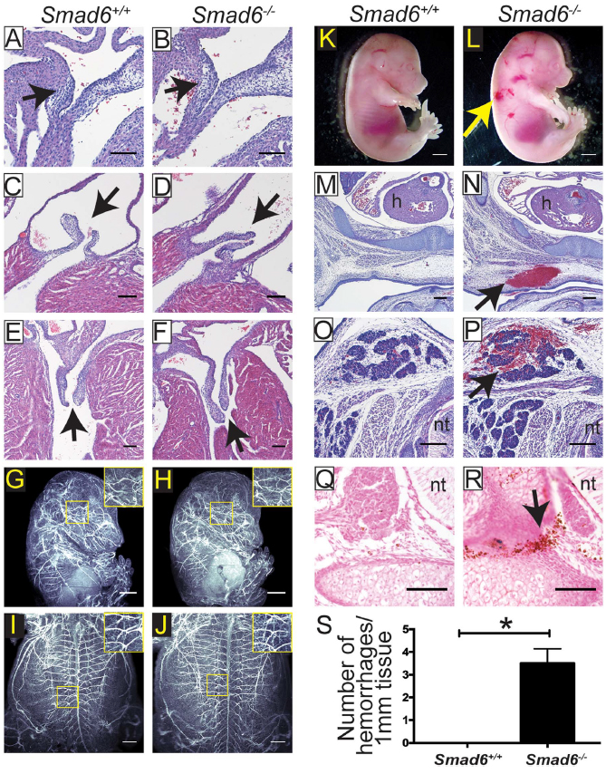
Reference: J:266234 Wylie LA, et al., Developmental SMAD6 loss leads to blood vessel hemorrhage and disrupted endothelial cell junctions. Dev Biol. 2018 Oct 15;442(2):199-209
Assay type: Immunohistochemistry
MGI Accession ID: MGI:6753285
Gene symbol: Pecam1
Gene name: platelet/endothelial cell adhesion molecule 1
Antibody: MEC 13.3
Results
Specimen 1G: embryonic day 15.5 (more )
Structure Level Pattern Image Note
TS23: blood vessel Present 1G

Specimen 1G inset: embryonic day 15.5 (more )
Structure Level Pattern Image Note
TS23: head blood vessel Present 1G inset

Specimen 1H: embryonic day 15.5; Smad6tm1Glvn/Smad6tm1Glvn (more )
Structure Level Pattern Image Note
TS23: blood vessel Present 1H No significant vessel patterning differences between +/+ and -/- embryos.

Specimen 1H inset: embryonic day 15.5; Smad6tm1Glvn/Smad6tm1Glvn (more )
Structure Level Pattern Image Note
TS23: head blood vessel Present 1H inset No significant vessel patterning differences between +/+ and -/- embryos.

Specimen 1I: embryonic day 15.5 (more )
Structure Level Pattern Image Note
TS23: blood vessel Present 1I

Specimen 1I inset: embryonic day 15.5 (more )
Structure Level Pattern Image Note
TS23: trunk blood vessel Present 1I inset

Specimen 1J: embryonic day 15.5; Smad6tm1Glvn/Smad6tm1Glvn (more )
Structure Level Pattern Image Note
TS23: blood vessel Present 1J No significant vessel patterning differences between +/+ and -/- embryos.

Specimen 1J inset: embryonic day 15.5; Smad6tm1Glvn/Smad6tm1Glvn (more )
Structure Level Pattern Image Note
TS23: trunk blood vessel Present 1J inset No significant vessel patterning differences between +/+ and -/- embryos.


Contributing Projects:
Mouse Genome Database (MGD), Gene Expression Database (GXD), Mouse Models of Human Cancer database (MMHCdb) (formerly Mouse Tumor Biology (MTB)), Gene Ontology (GO)
Citing These Resources
Funding Information
Warranty Disclaimer, Privacy Notice, Licensing, & Copyright
Send questions and comments to User Support.
last database update
01/28/2026
MGI 6.24
The Jackson Laboratory