About   Help   FAQ
Gene Expression Data
Assay Details
Assay
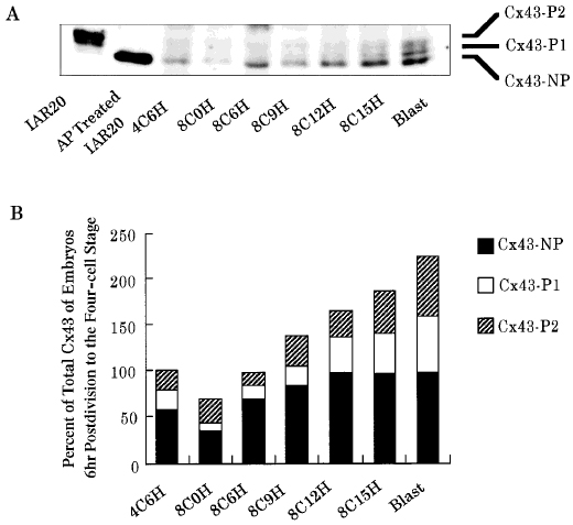
Reference: J:60699 Ogawa H, et al., Relationship of gap junction formation to phosphorylation of connexin43 in mouse preimplantation embryos. Mol Reprod Dev. 2000 Apr;55(4):393-8
Assay type: Western blot
MGI Accession ID: MGI:6728066
Gene symbol: Gja1
Gene name: gap junction protein, alpha 1
Antibody: anti-Cx43
Detection system: Secondary antibody coupled to alkaline phosphatase
Assay notes: Data was quantified in Fig 3B.
Results
Image: 3A ©

 Sample Information Bands Other Sample Information
Lane AgeStructure 43 kDa (a) 42 kDa (b) 41 kDa (c) Genetic BackgroundMutant Allele(s)Sex Note
IAR20 Cultured cells: no data stored
AP Treated IAR20 Cultured cells: no data stored
4C6H E2.0 TS3: 4-cell stage embryo Weak Weak Present involves: C3H/He * C57BL/6 * ICR Not Specified 6 hr postdivision to the four-cell stage
8C0H E2.5 TS3: 8-cell stage embryo Weak Weak Present involves: C3H/He * C57BL/6 * ICR Not Specified 0 hr postdivision to the eight-cell stage
8C6H E2.5 TS3: 8-cell stage embryo Weak Weak Present involves: C3H/He * C57BL/6 * ICR Not Specified 6 hr postdivision to the eight-cell stage
8C9H E2.5 TS3: 8-cell stage embryo Present Present Present involves: C3H/He * C57BL/6 * ICR Not Specified 9 hr postdivision to the eight-cell stage
8C12H E3.0 TS3: 8-cell stage embryo Present Present Present involves: C3H/He * C57BL/6 * ICR Not Specified 12 hr postdivision to the eight-cell stage
8C15H E3.0 TS3: 8-cell stage embryo Present Present Present involves: C3H/He * C57BL/6 * ICR Not Specified 15 hr postdivision to the eight-cell stage
Blast E3.5 TS4: blastocyst Strong Strong Strong involves: C3H/He * C57BL/6 * ICR Not Specified blastocysts
Notes:
(a) Cx43-P2: phosphorylated form 2.
(b) Cx43-P1: phosphorylated form 1.
(c) Cx43-NP: non-phosphorylated form.

Contributing Projects:
Mouse Genome Database (MGD), Gene Expression Database (GXD), Mouse Models of Human Cancer database (MMHCdb) (formerly Mouse Tumor Biology (MTB)), Gene Ontology (GO)
Citing These Resources
Funding Information
Warranty Disclaimer, Privacy Notice, Licensing, & Copyright
Send questions and comments to User Support.
last database update
12/30/2025
MGI 6.24
The Jackson Laboratory