About   Help   FAQ
Gene Expression Data
Assay Details
Assay
Reference: J:43438 Zhu Y, et al., Isolation and characterization of PBP, a protein that interacts with peroxisome proliferator-activated receptor. J Biol Chem. 1997 Oct 10;272(41):25500-6
Assay type: RNA in situ
MGI Accession ID: MGI:6714046
Gene symbol: Med1
Gene name: mediator complex subunit 1
Probe: PBP cDNA5
Probe preparation: Antisense labelled with S35 RNA
Visualized with: Autoradiography
Results
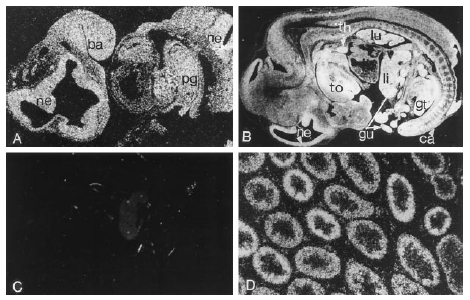
Specimen 7A: embryonic day 9.5 (more )
Structure Level Pattern Image Note
TS15: 1st branchial arch Strong 7A
TS15: central nervous system Strong 7A
TS15: gut Strong 7A

Specimen 7B: embryonic day 13.5 (more )
Structure Level Pattern Image Note
TS21: forebrain Strong Regionally restricted 7B Expressed in the roof.
TS21: midbrain Strong Regionally restricted 7B Expressed in the roof.
TS21: genital tubercle Strong 7B
TS21: gut Strong 7B
TS21: liver Strong 7B
TS21: lower jaw Strong 7B
TS21: lung Strong 7B
TS21: metanephros Strong 7B
TS21: thymus primordium Strong 7B
TS21: tongue Strong 7B

Specimen 7D: postnatal adult (more )
Structure Cell Type Level Pattern Image Note
TS28: intestine mucosa Present 7D
TS28: liver Present 7D
TS28: lobar bronchus epithelium Present 7D
TS28: renal cortex Present 7D
TS28: seminiferous tubule epithelium Present 7D
TS28: spleen lymphoid follicle Present 7D
TS28: thymus cortex Present 7D
TS28: Leydig cell Leydig cell Weak 7D


Contributing Projects:
Mouse Genome Database (MGD), Gene Expression Database (GXD), Mouse Models of Human Cancer database (MMHCdb) (formerly Mouse Tumor Biology (MTB)), Gene Ontology (GO)
Citing These Resources
Funding Information
Warranty Disclaimer, Privacy Notice, Licensing, & Copyright
Send questions and comments to User Support.
last database update
01/06/2026
MGI 6.24
The Jackson Laboratory