About   Help   FAQ
Gene Expression Data
Assay Details
Assay
Reference: J:43438 Zhu Y, et al., Isolation and characterization of PBP, a protein that interacts with peroxisome proliferator-activated receptor. J Biol Chem. 1997 Oct 10;272(41):25500-6
Assay type: Northern blot
MGI Accession ID: MGI:6714044
Gene symbol: Med1
Gene name: mediator complex subunit 1
Probe: PBP cDNA4
Probe preparation: Double stranded labelled with P32 DNA
Visualized with: Autoradiography
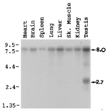
Assay notes: Mouse multiple tissue Northern blot from CLONTECH.
Results
Image: 6 ©

 Sample Information Bands Other Sample Information
Lane AgeStructure 8 kb 2.7 kb Amount Genetic BackgroundMutant Allele(s)Sex
Heart P adult TS28: heart Present Absent 2 µg; poly-A+ RNA Not Specified Not Specified
Brain P adult TS28: brain Present Absent 2 µg; poly-A+ RNA Not Specified Not Specified
Spleen P adult TS28: spleen Present Absent 2 µg; poly-A+ RNA Not Specified Not Specified
Lung P adult TS28: lung Present (a) Absent 2 µg; poly-A+ RNA Not Specified Not Specified
Liver P adult TS28: liver Present (a) Absent 2 µg; poly-A+ RNA Not Specified Not Specified
Sk. Muscle P adult TS28: skeletal muscle Present Absent 2 µg; poly-A+ RNA Not Specified Not Specified
Kidney P adult TS28: metanephros Present (a) Absent 2 µg; poly-A+ RNA Not Specified Not Specified
Testis P adult TS28: testis Present (a) Present 2 µg; poly-A+ RNA Not Specified Male
Notes:
(a) higher levels

Contributing Projects:
Mouse Genome Database (MGD), Gene Expression Database (GXD), Mouse Models of Human Cancer database (MMHCdb) (formerly Mouse Tumor Biology (MTB)), Gene Ontology (GO)
Citing These Resources
Funding Information
Warranty Disclaimer, Privacy Notice, Licensing, & Copyright
Send questions and comments to User Support.
last database update
09/30/2025
MGI 6.24
The Jackson Laboratory