About   Help   FAQ
Gene Expression Data
Assay Details
Assay
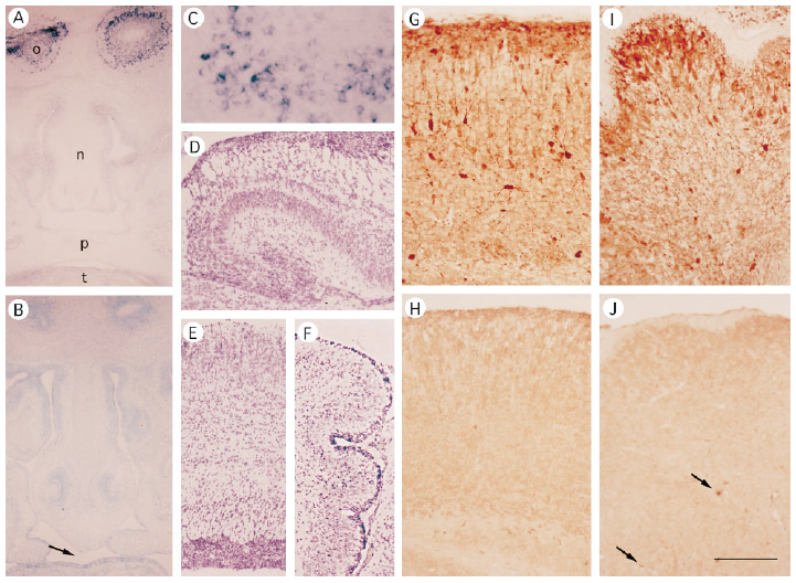
Reference: J:40978 Asada H, et al., Cleft palate and decreased brain gamma-aminobutyric acid in mice lacking the 67-kDa isoform of glutamic acid decarboxylase. Proc Natl Acad Sci U S A. 1997 Jun 10;94(12):6496-9
Assay type: RNA in situ
MGI Accession ID: MGI:6713587
Gene symbol: Gad1
Gene name: glutamate decarboxylase 1
Probe: Gad67 cDNA10
Probe preparation: Antisense labelled with digoxigenin RNA
Visualized with: Alkaline phosphatase
Results
Specimen 3A: embryonic day 14.5 (more )
Structure Level Pattern Image Note
TS22: main olfactory bulb Present 3A
TS22: secondary palate Absent 3A

Specimen 3B: embryonic day 14.5; Gad1tm1Oba/Gad1tm1Oba (more )
Structure Level Pattern Image Note
TS22: main olfactory bulb Absent 3B
TS22: secondary palate Absent 3B

Specimen 3C: embryonic day 14.5 (more )
Structure Level Pattern Image Note
TS22: main olfactory bulb Present 3C


Contributing Projects:
Mouse Genome Database (MGD), Gene Expression Database (GXD), Mouse Models of Human Cancer database (MMHCdb) (formerly Mouse Tumor Biology (MTB)), Gene Ontology (GO)
Citing These Resources
Funding Information
Warranty Disclaimer, Privacy Notice, Licensing, & Copyright
Send questions and comments to User Support.
last database update
09/30/2025
MGI 6.24
The Jackson Laboratory