About   Help   FAQ
Gene Expression Data
Assay Details
Assay
Reference: J:228563 Koscielny G, et al., The International Mouse Phenotyping Consortium Web Portal, a unified point of access for knockout mice and related phenotyping data. Nucleic Acids Res. 2014 Jan;42(Database issue):D802-9
Assay type: In situ reporter (knock in)
MGI Accession ID: MGI:6693220
Gene symbol: Ift88
Gene name: intraflagellar transport 88
Reporter: lacZ
Direct Detection
Results
Specimen JAX_1469635: embryonic day 12.5; Ift88tm1.1(KOMP)Vlcg/Ift88+ (more )
Structure Level Pattern Image Note
TS20: embryo Present JAX_1469635

Specimen JAX_1469636: embryonic day 12.5; Ift88tm1.1(KOMP)Vlcg/Ift88+ (more )
Structure Level Pattern Image Note
TS20: embryo Present JAX_1469636

Specimen JAX_1469637: embryonic day 12.5; Ift88tm1.1(KOMP)Vlcg/Ift88+ (more )
Structure Level Pattern Image Note
TS20: embryo Present JAX_1469637

Specimen JAX_1469638: embryonic day 12.5; Ift88tm1.1(KOMP)Vlcg/Ift88+ (more )
Structure Level Pattern Image Note
TS20: embryo Present JAX_1469638

Specimen JAX_436513: postnatal adult; Ift88tm1.1(KOMP)Vlcg/Ift88+ (more )
Structure Level Pattern Image Note
TS28: thalamus Present JAX_436513

Specimen JAX_436515: postnatal adult; Ift88tm1.1(KOMP)Vlcg/Ift88+ (more )
Structure Level Pattern Image Note
TS28: midbrain Present JAX_436515

Specimen JAX_436517: postnatal adult; Ift88tm1.1(KOMP)Vlcg/Ift88+ (more )
Structure Level Pattern Image Note
TS28: main olfactory bulb Present JAX_436517

Specimen JAX_436519: postnatal adult; Ift88tm1.1(KOMP)Vlcg/Ift88+ (more )
Structure Level Pattern Image Note
TS28: peripheral nervous system Present JAX_436519

Specimen JAX_436521: postnatal adult; Ift88tm1.1(KOMP)Vlcg/Ift88+ (more )
Structure Level Pattern Image Note
TS28: olfactory lobe Present JAX_436521

Specimen JAX_436523: postnatal adult; Ift88tm1.1(KOMP)Vlcg/Ift88+ (more )
Structure Level Pattern Image Note
TS28: hypothalamus Present JAX_436523

Specimen JAX_436525: postnatal adult; Ift88tm1.1(KOMP)Vlcg/Ift88+ (more )
Structure Level Pattern Image Note
TS28: hippocampus Present JAX_436525

Specimen JAX_436527: postnatal adult; Ift88tm1.1(KOMP)Vlcg/Ift88+ (more )
Structure Level Pattern Image Note
TS28: cerebellum Present JAX_436527

Specimen JAX_436529: postnatal adult; Ift88tm1.1(KOMP)Vlcg/Ift88+ (more )
Structure Level Pattern Image Note
TS28: cerebral cortex Present JAX_436529

Specimen JAX_436531: postnatal adult; Ift88tm1.1(KOMP)Vlcg/Ift88+ (more )
Structure Level Pattern Image Note
TS28: brainstem Present JAX_436531

Specimen JAX_436533: postnatal adult; Ift88tm1.1(KOMP)Vlcg/Ift88+ (more )
Structure Level Pattern Image Note
TS28: spleen Present JAX_436533

Specimen JAX_436535: postnatal adult; Ift88tm1.1(KOMP)Vlcg/Ift88+ (more )
Structure Level Pattern Image Note
TS28: pancreas Present JAX_436535

Specimen JAX_436537: postnatal adult; Ift88tm1.1(KOMP)Vlcg/Ift88+ (more )
Structure Level Pattern Image Note
TS28: lung Present JAX_436537

Specimen JAX_436539: postnatal adult; Ift88tm1.1(KOMP)Vlcg/Ift88+ (more )
Structure Level Pattern Image Note
TS28: pituitary gland Present JAX_436539

Specimen JAX_436541: postnatal adult; Ift88tm1.1(KOMP)Vlcg/Ift88+ (more )
Structure Level Pattern Image Note
TS28: spinal cord Present JAX_436541

Specimen JAX_436543: postnatal adult; Ift88tm1.1(KOMP)Vlcg/Ift88+ (more )
Structure Level Pattern Image Note
TS28: esophagus Present JAX_436543

Specimen JAX_436545: postnatal adult; Ift88tm1.1(KOMP)Vlcg/Ift88+ (more )
Structure Level Pattern Image Note
TS28: uterus Present JAX_436545

Specimen JAX_436547: postnatal adult; Ift88tm1.1(KOMP)Vlcg/Ift88+ (more )
Structure Level Pattern Image Note
TS28: ovary Present JAX_436547

Specimen JAX_436549: postnatal adult; Ift88tm1.1(KOMP)Vlcg/Ift88+ (more )
Structure Level Pattern Image Note
TS28: liver Present JAX_436549

Specimen JAX_436551: postnatal adult; Ift88tm1.1(KOMP)Vlcg/Ift88+ (more )
Structure Level Pattern Image Note
TS28: metanephros Present JAX_436551 kidney

Specimen JAX_436553: postnatal adult; Ift88tm1.1(KOMP)Vlcg/Ift88+ (more )
Structure Level Pattern Image Note
TS28: eye Present JAX_436553

Specimen JAX_436555: postnatal adult; Ift88tm1.1(KOMP)Vlcg/Ift88+ (more )
Structure Level Pattern Image Note
TS28: brain Present JAX_436555

Specimen JAX_436557: postnatal adult; Ift88tm1.1(KOMP)Vlcg/Ift88+ (more )
Structure Level Pattern Image Note
TS28: adrenal gland Present JAX_436557

Specimen JAX_436499: postnatal adult; Ift88tm1.1(KOMP)Vlcg/Ift88+ (more )
Structure Level Pattern Image Note
TS28: epididymis Present JAX_436499

Specimen JAX_436501: postnatal adult; Ift88tm1.1(KOMP)Vlcg/Ift88+ (more )
Structure Level Pattern Image Note
TS28: submandibular gland Present JAX_436501

Specimen JAX_436503: postnatal adult; Ift88tm1.1(KOMP)Vlcg/Ift88+ (more )
Structure Level Pattern Image Note
TS28: cartilage Present JAX_436503

Specimen JAX_436505: postnatal adult; Ift88tm1.1(KOMP)Vlcg/Ift88+ (more )
Structure Level Pattern Image Note
TS28: aorta Present JAX_436505

Specimen JAX_436507: postnatal adult; Ift88tm1.1(KOMP)Vlcg/Ift88+ (more )
Structure Level Pattern Image Note
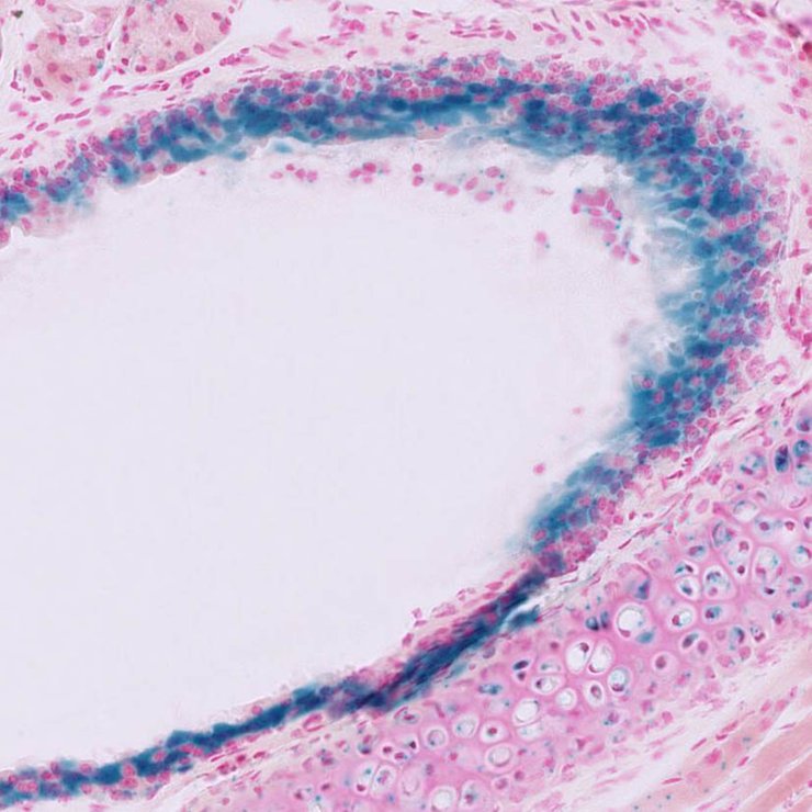
TS28: trachea Present JAX_436507

Specimen JAX_436509: postnatal adult; Ift88tm1.1(KOMP)Vlcg/Ift88+ (more )
Structure Level Pattern Image Note
TS28: testis Present JAX_436509

Specimen JAX_436511: postnatal adult; Ift88tm1.1(KOMP)Vlcg/Ift88+ (more )
Structure Level Pattern Image Note
TS28: heart Present JAX_436511


Contributing Projects:
Mouse Genome Database (MGD), Gene Expression Database (GXD), Mouse Models of Human Cancer database (MMHCdb) (formerly Mouse Tumor Biology (MTB)), Gene Ontology (GO)
Citing These Resources
Funding Information
Warranty Disclaimer, Privacy Notice, Licensing, & Copyright
Send questions and comments to User Support.
last database update
01/20/2026
MGI 6.24
The Jackson Laboratory