About   Help   FAQ
Gene Expression Data
Assay Details
Assay
Reference: J:228563 Koscielny G, et al., The International Mouse Phenotyping Consortium Web Portal, a unified point of access for knockout mice and related phenotyping data. Nucleic Acids Res. 2014 Jan;42(Database issue):D802-9
Assay type: In situ reporter (knock in)
MGI Accession ID: MGI:6693218
Gene symbol: Dntt
Gene name: deoxynucleotidyltransferase, terminal
Reporter: lacZ
Direct Detection
Results
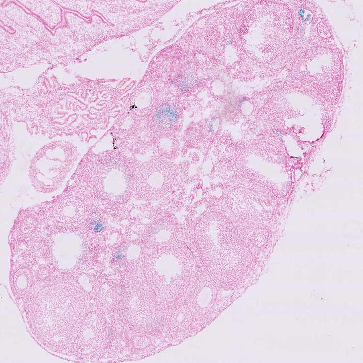
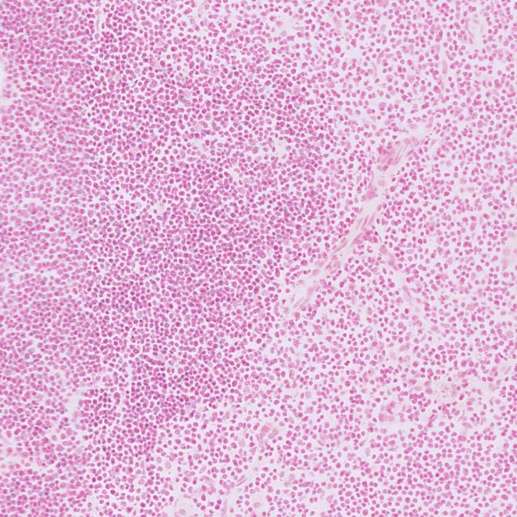
Specimen JAX_1801483: postnatal adult; Dntttm2b(KOMP)Wtsi/Dntt+ (more )
Structure Level Pattern Image Note
TS28: ovary Present JAX_1801483

Specimen JAX_1801484: postnatal adult; Dntttm2b(KOMP)Wtsi/Dntt+ (more )
Structure Level Pattern Image Note
TS28: thymus Present JAX_1801484

Specimen JAX_1801481: postnatal adult; Dntttm2b(KOMP)Wtsi/Dntt+ (more )
Structure Level Pattern Image Note
TS28: testis Present JAX_1801481

Specimen JAX_1801482: postnatal adult; Dntttm2b(KOMP)Wtsi/Dntt+ (more )
Structure Level Pattern Image Note
TS28: submandibular gland Present JAX_1801482


Contributing Projects:
Mouse Genome Database (MGD), Gene Expression Database (GXD), Mouse Models of Human Cancer database (MMHCdb) (formerly Mouse Tumor Biology (MTB)), Gene Ontology (GO)
Citing These Resources
Funding Information
Warranty Disclaimer, Privacy Notice, Licensing, & Copyright
Send questions and comments to User Support.
last database update
01/20/2026
MGI 6.24
The Jackson Laboratory