About   Help   FAQ
Gene Expression Data
Assay Details
Assay
Reference: J:228563 Koscielny G, et al., The International Mouse Phenotyping Consortium Web Portal, a unified point of access for knockout mice and related phenotyping data. Nucleic Acids Res. 2014 Jan;42(Database issue):D802-9
Assay type: In situ reporter (knock in)
MGI Accession ID: MGI:6693190
Gene symbol: Prodh
Gene name: proline dehydrogenase
Reporter: lacZ
Direct Detection
Results
Specimen UC Davis_1856244: postnatal adult; Prodhtm1b(KOMP)Wtsi/Prodh+ (more )
Structure Level Pattern Image Note
TS28: cerebellum Present UC Davis_1856244

Specimen UC Davis_1856222: postnatal adult; Prodhtm1b(KOMP)Wtsi/Prodh+ (more )
Structure Level Pattern Image Note
TS28: metanephros Present UC Davis_1856222 kidney

Specimen UC Davis_1856223: postnatal adult; Prodhtm1b(KOMP)Wtsi/Prodh+ (more )
Structure Level Pattern Image Note
TS28: epididymis Present UC Davis_1856223

Specimen UC Davis_1856224: postnatal adult; Prodhtm1b(KOMP)Wtsi/Prodh+ (more )
Structure Level Pattern Image Note
TS28: ductus deferens Present UC Davis_1856224 vas deferens

Specimen UC Davis_1856225: postnatal adult; Prodhtm1b(KOMP)Wtsi/Prodh+ (more )
Structure Level Pattern Image Note
TS28: quadriceps femoris muscle Absent UC Davis_1856225

Specimen UC Davis_1856226: postnatal adult; Prodhtm1b(KOMP)Wtsi/Prodh+ (more )
Structure Level Pattern Image Note
TS28: olfactory lobe Present UC Davis_1856226

Specimen UC Davis_1856228: postnatal adult; Prodhtm1b(KOMP)Wtsi/Prodh+ (more )
Structure Level Pattern Image Note
TS28: midbrain Present UC Davis_1856228

Specimen UC Davis_1856230: postnatal adult; Prodhtm1b(KOMP)Wtsi/Prodh+ (more )
Structure Level Pattern Image Note
TS28: brain Present UC Davis_1856230

Specimen UC Davis_1856234: postnatal adult; Prodhtm1b(KOMP)Wtsi/Prodh+ (more )
Structure Level Pattern Image Note
TS28: metanephros Present UC Davis_1856234 kidney

Specimen UC Davis_1856235: postnatal adult; Prodhtm1b(KOMP)Wtsi/Prodh+ (more )
Structure Level Pattern Image Note
TS28: liver Present UC Davis_1856235

Specimen UC Davis_1856236: postnatal adult; Prodhtm1b(KOMP)Wtsi/Prodh+ (more )
Structure Level Pattern Image Note
TS28: liver Present UC Davis_1856236

Specimen UC Davis_1856237: postnatal adult; Prodhtm1b(KOMP)Wtsi/Prodh+ (more )
Structure Level Pattern Image Note
TS28: diaphragm Present UC Davis_1856237

Specimen UC Davis_1856238: postnatal adult; Prodhtm1b(KOMP)Wtsi/Prodh+ (more )
Structure Level Pattern Image Note
TS28: spinal cord Present UC Davis_1856238

Specimen UC Davis_1856239: postnatal adult; Prodhtm1b(KOMP)Wtsi/Prodh+ (more )
Structure Level Pattern Image Note
TS28: mesenteric adipose tissue Present UC Davis_1856239

Specimen UC Davis_1856240: postnatal adult; Prodhtm1b(KOMP)Wtsi/Prodh+ (more )
Structure Level Pattern Image Note
TS28: gonadal fat pad Present UC Davis_1856240

Specimen UC Davis_1856241: postnatal adult; Prodhtm1b(KOMP)Wtsi/Prodh+ (more )
Structure Level Pattern Image Note
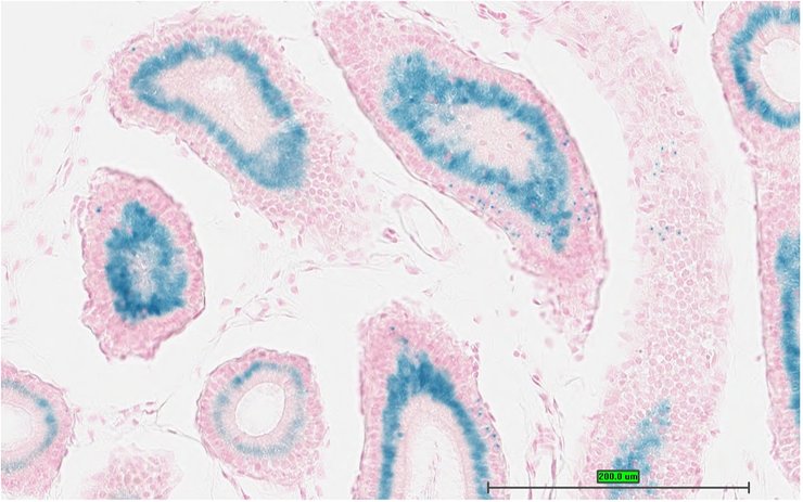
TS28: prostate gland Present UC Davis_1856241

Specimen UC Davis_1856242: postnatal adult; Prodhtm1b(KOMP)Wtsi/Prodh+ (more )
Structure Level Pattern Image Note
TS28: prostate gland Present UC Davis_1856242


Contributing Projects:
Mouse Genome Database (MGD), Gene Expression Database (GXD), Mouse Models of Human Cancer database (MMHCdb) (formerly Mouse Tumor Biology (MTB)), Gene Ontology (GO)
Citing These Resources
Funding Information
Warranty Disclaimer, Privacy Notice, Licensing, & Copyright
Send questions and comments to User Support.
last database update
01/20/2026
MGI 6.24
The Jackson Laboratory