About   Help   FAQ
Gene Expression Data
Assay Details
Assay
Reference: J:228563 Koscielny G, et al., The International Mouse Phenotyping Consortium Web Portal, a unified point of access for knockout mice and related phenotyping data. Nucleic Acids Res. 2014 Jan;42(Database issue):D802-9
Assay type: In situ reporter (knock in)
MGI Accession ID: MGI:6693186
Gene symbol: Pmch
Gene name: pro-melanin-concentrating hormone
Reporter: lacZ
Direct Detection
Results
Specimen UC Davis_1879028: postnatal adult; Pmchtm1.1(KOMP)Vlcg/Pmch+ (more )
Structure Level Pattern Image Note
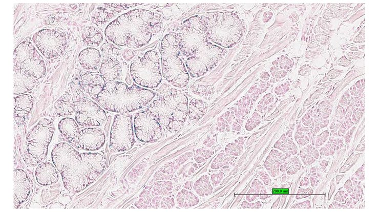
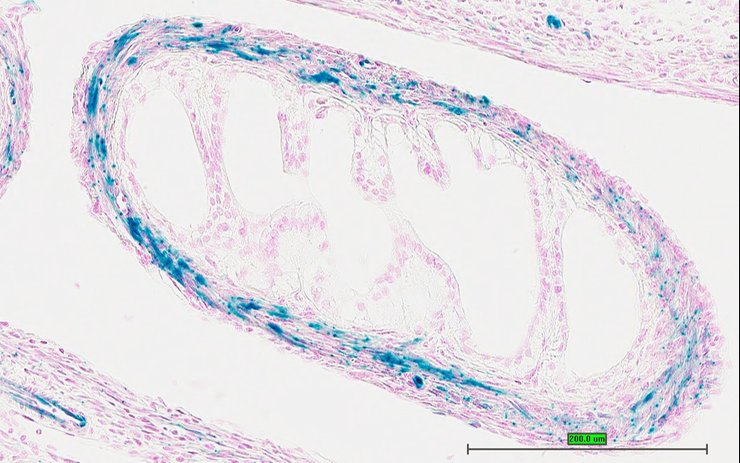
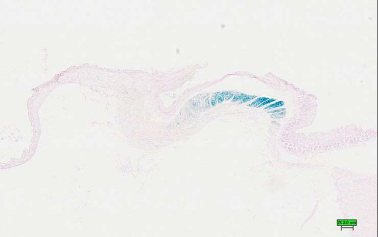
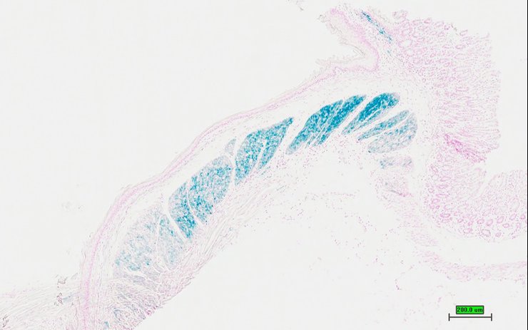
TS28: stomach Present UC Davis_1879028

Specimen UC Davis_1879029: postnatal adult; Pmchtm1.1(KOMP)Vlcg/Pmch+ (more )
Structure Level Pattern Image Note
TS28: stomach Present UC Davis_1879029

Specimen UC Davis_1879030: postnatal adult; Pmchtm1.1(KOMP)Vlcg/Pmch+ (more )
Structure Level Pattern Image Note
TS28: stomach Present UC Davis_1879030

Specimen UC Davis_1879031: postnatal adult; Pmchtm1.1(KOMP)Vlcg/Pmch+ (more )
Structure Level Pattern Image Note
TS28: stomach Present UC Davis_1879031

Specimen UC Davis_1879032: postnatal adult; Pmchtm1.1(KOMP)Vlcg/Pmch+ (more )
Structure Level Pattern Image Note
TS28: stomach Present UC Davis_1879032

Specimen UC Davis_1879033: postnatal adult; Pmchtm1.1(KOMP)Vlcg/Pmch+ (more )
Structure Level Pattern Image Note
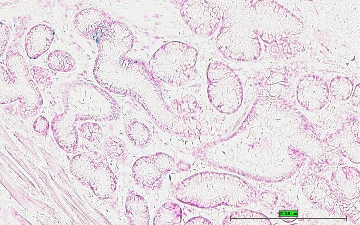
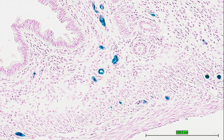
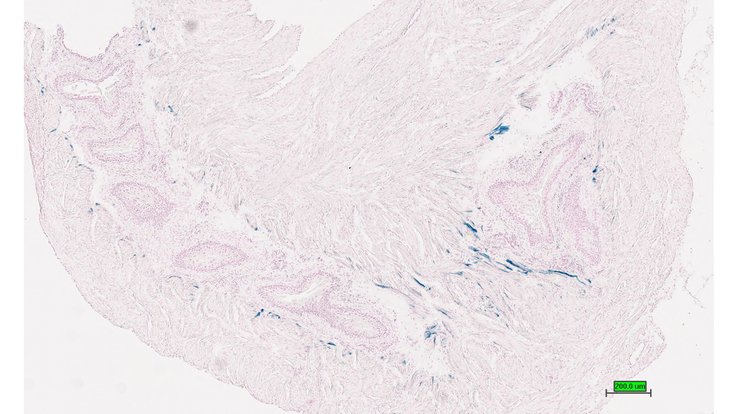
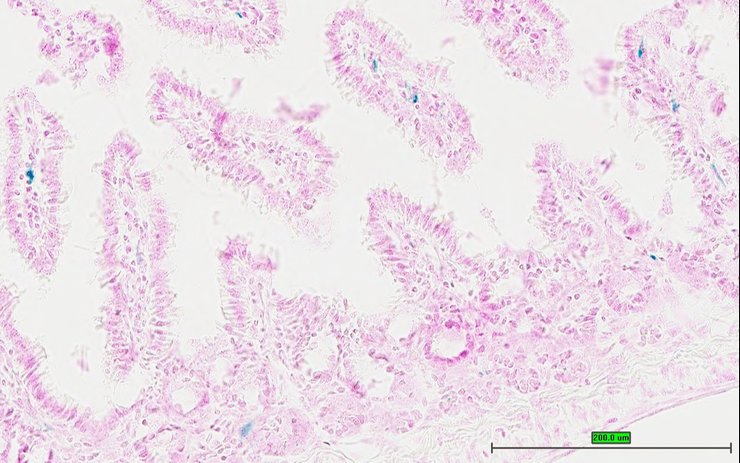
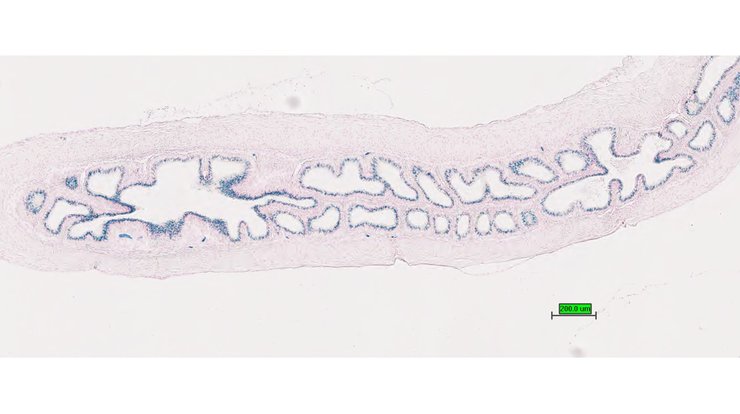
TS28: duodenum Present UC Davis_1879033

Specimen UC Davis_1879034: postnatal adult; Pmchtm1.1(KOMP)Vlcg/Pmch+ (more )
Structure Level Pattern Image Note
TS28: duodenum Present UC Davis_1879034

Specimen UC Davis_1879035: postnatal adult; Pmchtm1.1(KOMP)Vlcg/Pmch+ (more )
Structure Level Pattern Image Note
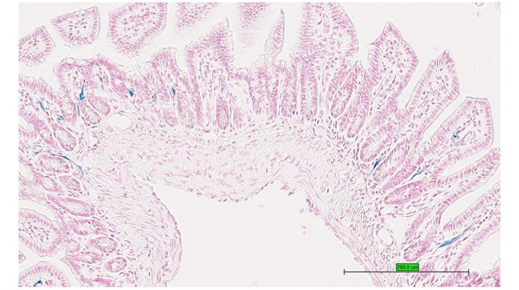
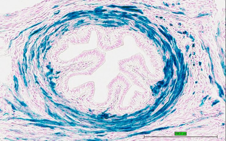
TS28: ileum Present UC Davis_1879035

Specimen UC Davis_1879036: postnatal adult; Pmchtm1.1(KOMP)Vlcg/Pmch+ (more )
Structure Level Pattern Image Note
TS28: metanephros Present UC Davis_1879036 kidney

Specimen UC Davis_1879037: postnatal adult; Pmchtm1.1(KOMP)Vlcg/Pmch+ (more )
Structure Level Pattern Image Note
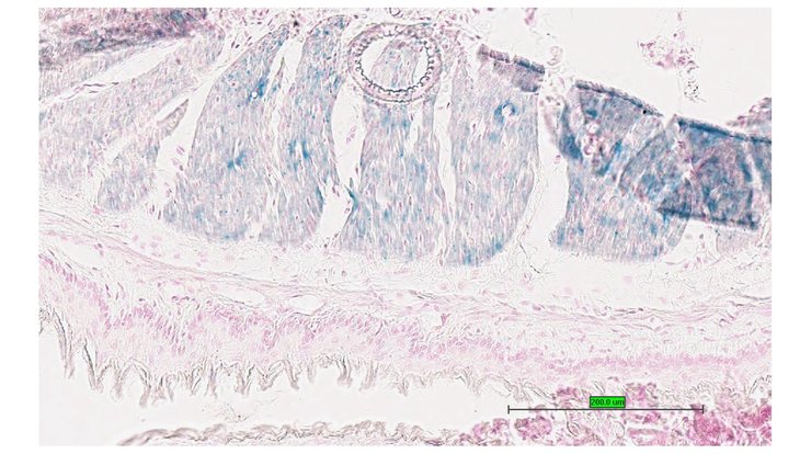
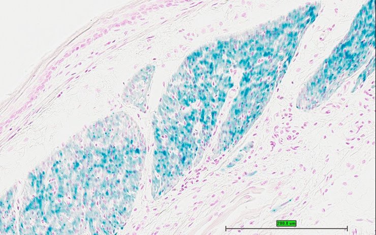
TS28: tongue Present UC Davis_1879037

Specimen UC Davis_1879038: postnatal adult; Pmchtm1.1(KOMP)Vlcg/Pmch+ (more )
Structure Level Pattern Image Note
TS28: gonadal fat pad Present UC Davis_1879038

Specimen UC Davis_1879039: postnatal adult; Pmchtm1.1(KOMP)Vlcg/Pmch+ (more )
Structure Level Pattern Image Note
TS28: skin Present UC Davis_1879039

Specimen UC Davis_1879042: postnatal adult; Pmchtm1.1(KOMP)Vlcg/Pmch+ (more )
Structure Level Pattern Image Note
TS28: ovary Present UC Davis_1879042

Specimen UC Davis_1879043: postnatal adult; Pmchtm1.1(KOMP)Vlcg/Pmch+ (more )
Structure Level Pattern Image Note
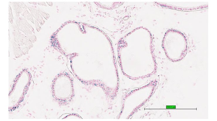
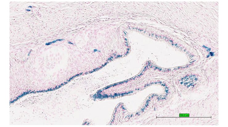
TS28: oviduct Present UC Davis_1879043

Specimen UC Davis_1879044: postnatal adult; Pmchtm1.1(KOMP)Vlcg/Pmch+ (more )
Structure Level Pattern Image Note
TS28: oviduct Present UC Davis_1879044

Specimen UC Davis_1879045: postnatal adult; Pmchtm1.1(KOMP)Vlcg/Pmch+ (more )
Structure Level Pattern Image Note
TS28: uterus Present UC Davis_1879045

Specimen UC Davis_1879046: postnatal adult; Pmchtm1.1(KOMP)Vlcg/Pmch+ (more )
Structure Level Pattern Image Note
TS28: uterus Present UC Davis_1879046

Specimen UC Davis_1879047: postnatal adult; Pmchtm1.1(KOMP)Vlcg/Pmch+ (more )
Structure Level Pattern Image Note
TS28: uterus Present UC Davis_1879047

Specimen UC Davis_1879048: postnatal adult; Pmchtm1.1(KOMP)Vlcg/Pmch+ (more )
Structure Level Pattern Image Note
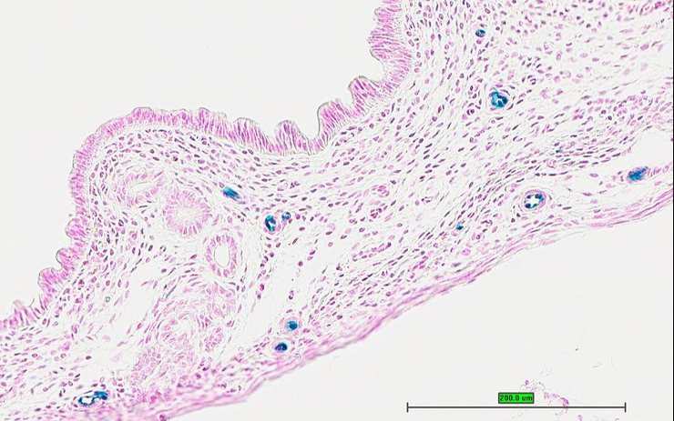
TS28: vagina Present UC Davis_1879048

Specimen UC Davis_1879049: postnatal adult; Pmchtm1.1(KOMP)Vlcg/Pmch+ (more )
Structure Level Pattern Image Note
TS28: vagina Present UC Davis_1879049

Specimen UC Davis_1879050: postnatal adult; Pmchtm1.1(KOMP)Vlcg/Pmch+ (more )
Structure Level Pattern Image Note
TS28: bladder Present UC Davis_1879050

Specimen UC Davis_1879051: postnatal adult; Pmchtm1.1(KOMP)Vlcg/Pmch+ (more )
Structure Level Pattern Image Note
TS28: bladder Present UC Davis_1879051

Specimen UC Davis_1879052: postnatal adult; Pmchtm1.1(KOMP)Vlcg/Pmch+ (more )
Structure Level Pattern Image Note
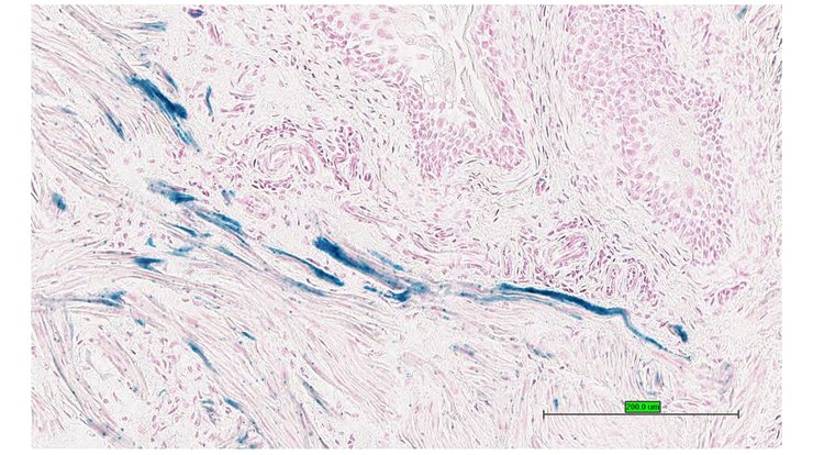
TS28: trachea Present UC Davis_1879052

Specimen UC Davis_1879054: postnatal adult; Pmchtm1.1(KOMP)Vlcg/Pmch+ (more )
Structure Level Pattern Image Note
TS28: stomach Present UC Davis_1879054

Specimen UC Davis_1879055: postnatal adult; Pmchtm1.1(KOMP)Vlcg/Pmch+ (more )
Structure Level Pattern Image Note
TS28: jejunum Present UC Davis_1879055

Specimen UC Davis_1879056: postnatal adult; Pmchtm1.1(KOMP)Vlcg/Pmch+ (more )
Structure Level Pattern Image Note
TS28: ileum Present UC Davis_1879056

Specimen UC Davis_1879057: postnatal adult; Pmchtm1.1(KOMP)Vlcg/Pmch+ (more )
Structure Level Pattern Image Note
TS28: tongue Present UC Davis_1879057

Specimen UC Davis_1879060: postnatal adult; Pmchtm1.1(KOMP)Vlcg/Pmch+ (more )
Structure Level Pattern Image Note
TS28: bladder Present UC Davis_1879060

Specimen UC Davis_1879061: postnatal adult; Pmchtm1.1(KOMP)Vlcg/Pmch+ (more )
Structure Level Pattern Image Note
TS28: bladder Present UC Davis_1879061

Specimen UC Davis_1879062: postnatal adult; Pmchtm1.1(KOMP)Vlcg/Pmch+ (more )
Structure Level Pattern Image Note
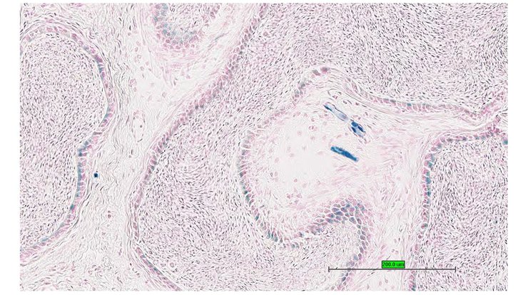
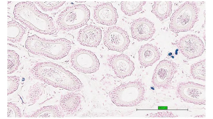
TS28: epididymis Present UC Davis_1879062

Specimen UC Davis_1879063: postnatal adult; Pmchtm1.1(KOMP)Vlcg/Pmch+ (more )
Structure Level Pattern Image Note
TS28: epididymis Present UC Davis_1879063

Specimen UC Davis_1879064: postnatal adult; Pmchtm1.1(KOMP)Vlcg/Pmch+ (more )
Structure Level Pattern Image Note
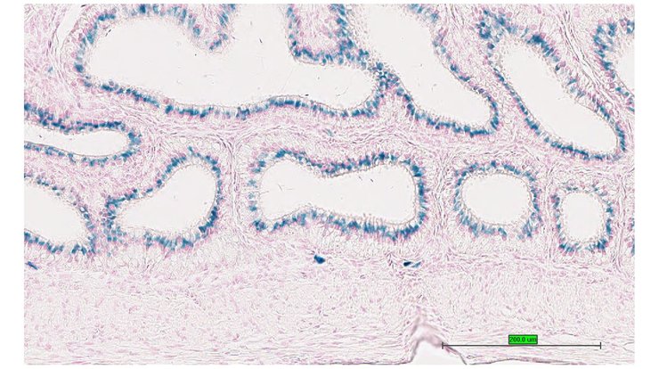
TS28: prostate gland Present UC Davis_1879064

Specimen UC Davis_1879066: postnatal adult; Pmchtm1.1(KOMP)Vlcg/Pmch+ (more )
Structure Level Pattern Image Note
TS28: ductus deferens Present UC Davis_1879066 vas deferens

Specimen UC Davis_1879067: postnatal adult; Pmchtm1.1(KOMP)Vlcg/Pmch+ (more )
Structure Level Pattern Image Note
TS28: ductus deferens Present UC Davis_1879067 vas deferens

Specimen UC Davis_1879068: postnatal adult; Pmchtm1.1(KOMP)Vlcg/Pmch+ (more )
Structure Level Pattern Image Note
TS28: ductus deferens Present UC Davis_1879068 vas deferens


Contributing Projects:
Mouse Genome Database (MGD), Gene Expression Database (GXD), Mouse Models of Human Cancer database (MMHCdb) (formerly Mouse Tumor Biology (MTB)), Gene Ontology (GO)
Citing These Resources
Funding Information
Warranty Disclaimer, Privacy Notice, Licensing, & Copyright
Send questions and comments to User Support.
last database update
03/24/2026
MGI 6.24
The Jackson Laboratory