About   Help   FAQ
Gene Expression Data
Assay Details
Assay
Reference: J:228563 Koscielny G, et al., The International Mouse Phenotyping Consortium Web Portal, a unified point of access for knockout mice and related phenotyping data. Nucleic Acids Res. 2014 Jan;42(Database issue):D802-9
Assay type: In situ reporter (knock in)
MGI Accession ID: MGI:6693178
Gene symbol: Prf1
Gene name: perforin 1 (pore forming protein)
Reporter: lacZ
Direct Detection
Results
Specimen UC Davis_1883588: postnatal adult; Prf1tm1.1(KOMP)Vlcg/Prf1+ (more )
Structure Level Pattern Image Note
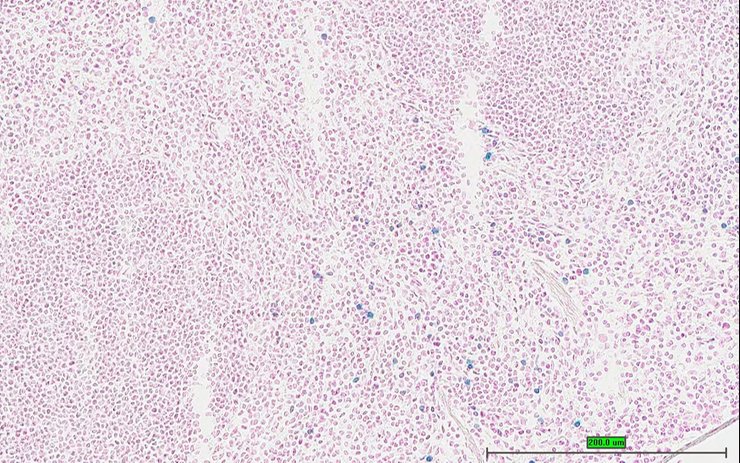
TS28: spleen Present UC Davis_1883588

Specimen UC Davis_1883589: postnatal adult; Prf1tm1.1(KOMP)Vlcg/Prf1+ (more )
Structure Level Pattern Image Note
TS28: spleen Present UC Davis_1883589

Specimen UC Davis_1883590: postnatal adult; Prf1tm1.1(KOMP)Vlcg/Prf1+ (more )
Structure Level Pattern Image Note
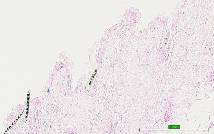
TS28: skin Present UC Davis_1883590

Specimen UC Davis_1883592: postnatal adult; Prf1tm1.1(KOMP)Vlcg/Prf1+ (more )
Structure Level Pattern Image Note
TS28: spleen Present UC Davis_1883592

Specimen UC Davis_1883593: postnatal adult; Prf1tm1.1(KOMP)Vlcg/Prf1+ (more )
Structure Level Pattern Image Note
TS28: spleen Present UC Davis_1883593

Specimen UC Davis_1883594: postnatal adult; Prf1tm1.1(KOMP)Vlcg/Prf1+ (more )
Structure Level Pattern Image Note
TS28: skin Present UC Davis_1883594

Specimen UC Davis_1883595: postnatal adult; Prf1tm1.1(KOMP)Vlcg/Prf1+ (more )
Structure Level Pattern Image Note
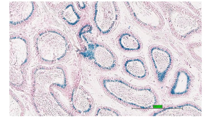
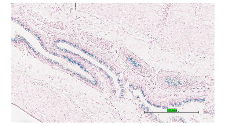
TS28: epididymis Present UC Davis_1883595

Specimen UC Davis_1883596: postnatal adult; Prf1tm1.1(KOMP)Vlcg/Prf1+ (more )
Structure Level Pattern Image Note
TS28: ductus deferens Present UC Davis_1883596 vas deferens


Contributing Projects:
Mouse Genome Database (MGD), Gene Expression Database (GXD), Mouse Models of Human Cancer database (MMHCdb) (formerly Mouse Tumor Biology (MTB)), Gene Ontology (GO)
Citing These Resources
Funding Information
Warranty Disclaimer, Privacy Notice, Licensing, & Copyright
Send questions and comments to User Support.
last database update
01/06/2026
MGI 6.24
The Jackson Laboratory