About   Help   FAQ
Gene Expression Data
Assay Details
Assay
Reference: J:228563 Koscielny G, et al., The International Mouse Phenotyping Consortium Web Portal, a unified point of access for knockout mice and related phenotyping data. Nucleic Acids Res. 2014 Jan;42(Database issue):D802-9
Assay type: In situ reporter (knock in)
MGI Accession ID: MGI:6693174
Gene symbol: Pcsk5
Gene name: proprotein convertase subtilisin/kexin type 5
Reporter: lacZ
Direct Detection
Results
Specimen JAX_1121849: embryonic day 12.5; Pcsk5tm1b(KOMP)Mbp/Pcsk5+ (more )
Structure Level Pattern Image Note
TS20: embryo Present JAX_1121849

Specimen JAX_1121851: embryonic day 12.5; Pcsk5tm1b(KOMP)Mbp/Pcsk5+ (more )
Structure Level Pattern Image Note
TS20: embryo Present JAX_1121851

Specimen JAX_1121853: embryonic day 12.5; Pcsk5tm1b(KOMP)Mbp/Pcsk5+ (more )
Structure Level Pattern Image Note
TS20: embryo Present JAX_1121853

Specimen JAX_1121855: embryonic day 12.5; Pcsk5tm1b(KOMP)Mbp/Pcsk5+ (more )
Structure Level Pattern Image Note
TS20: embryo Present JAX_1121855

Specimen JAX_900419: embryonic day 12.5; Pcsk5tm1b(KOMP)Mbp/Pcsk5+ (more )
Structure Level Pattern Image Note
TS20: embryo Present JAX_900419

Specimen JAX_900421: embryonic day 12.5; Pcsk5tm1b(KOMP)Mbp/Pcsk5+ (more )
Structure Level Pattern Image Note
TS20: embryo Present JAX_900421

Specimen JAX_900423: embryonic day 12.5; Pcsk5tm1b(KOMP)Mbp/Pcsk5+ (more )
Structure Level Pattern Image Note
TS20: embryo Present JAX_900423

Specimen JAX_900425: embryonic day 12.5; Pcsk5tm1b(KOMP)Mbp/Pcsk5+ (more )
Structure Level Pattern Image Note
TS20: embryo Present JAX_900425

Specimen JAX_1799252: postnatal adult; Pcsk5tm1b(KOMP)Mbp/Pcsk5+ (more )
Structure Level Pattern Image Note
TS28: bladder Present JAX_1799252

Specimen JAX_1799253: postnatal adult; Pcsk5tm1b(KOMP)Mbp/Pcsk5+ (more )
Structure Level Pattern Image Note
TS28: uterus Present JAX_1799253

Specimen JAX_1799254: postnatal adult; Pcsk5tm1b(KOMP)Mbp/Pcsk5+ (more )
Structure Level Pattern Image Note
TS28: oviduct Present JAX_1799254

Specimen JAX_1799255: postnatal adult; Pcsk5tm1b(KOMP)Mbp/Pcsk5+ (more )
Structure Level Pattern Image Note
TS28: ovary Present JAX_1799255

Specimen JAX_1799256: postnatal adult; Pcsk5tm1b(KOMP)Mbp/Pcsk5+ (more )
Structure Level Pattern Image Note
TS28: vascular system Present JAX_1799256

Specimen JAX_1799257: postnatal adult; Pcsk5tm1b(KOMP)Mbp/Pcsk5+ (more )
Structure Level Pattern Image Note
TS28: epididymis Present JAX_1799257

Specimen JAX_1799258: postnatal adult; Pcsk5tm1b(KOMP)Mbp/Pcsk5+ (more )
Structure Level Pattern Image Note
TS28: submandibular gland Present JAX_1799258

Specimen JAX_1799259: postnatal adult; Pcsk5tm1b(KOMP)Mbp/Pcsk5+ (more )
Structure Level Pattern Image Note
TS28: peripheral nervous system Present JAX_1799259

Specimen JAX_1799260: postnatal adult; Pcsk5tm1b(KOMP)Mbp/Pcsk5+ (more )
Structure Level Pattern Image Note
TS28: hypothalamus Present JAX_1799260

Specimen JAX_1799261: postnatal adult; Pcsk5tm1b(KOMP)Mbp/Pcsk5+ (more )
Structure Level Pattern Image Note
TS28: cerebral cortex Present JAX_1799261

Specimen JAX_1799262: postnatal adult; Pcsk5tm1b(KOMP)Mbp/Pcsk5+ (more )
Structure Level Pattern Image Note
TS28: spleen Present JAX_1799262

Specimen JAX_1799263: postnatal adult; Pcsk5tm1b(KOMP)Mbp/Pcsk5+ (more )
Structure Level Pattern Image Note
TS28: pancreas Present JAX_1799263

Specimen JAX_1799264: postnatal adult; Pcsk5tm1b(KOMP)Mbp/Pcsk5+ (more )
Structure Level Pattern Image Note
TS28: aorta Present JAX_1799264

Specimen JAX_1799265: postnatal adult; Pcsk5tm1b(KOMP)Mbp/Pcsk5+ (more )
Structure Level Pattern Image Note
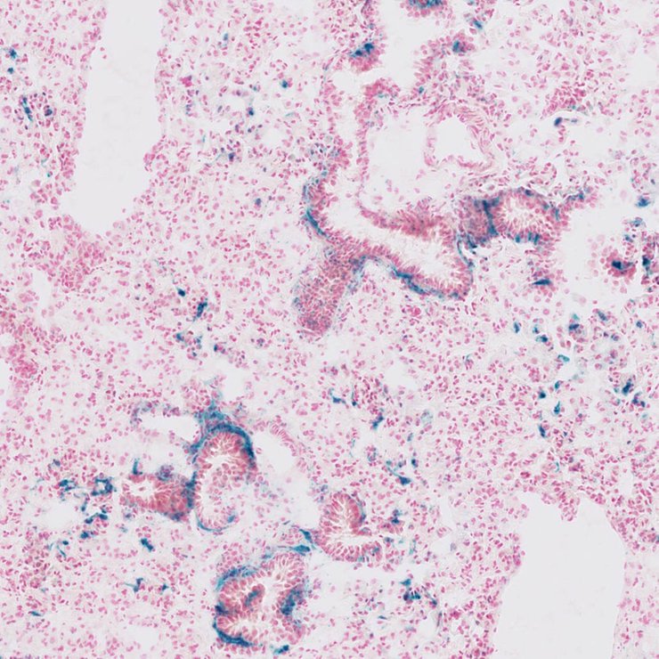
TS28: lung Present JAX_1799265

Specimen JAX_1799266: postnatal adult; Pcsk5tm1b(KOMP)Mbp/Pcsk5+ (more )
Structure Level Pattern Image Note
TS28: small intestine Present JAX_1799266

Specimen JAX_1799267: postnatal adult; Pcsk5tm1b(KOMP)Mbp/Pcsk5+ (more )
Structure Level Pattern Image Note
TS28: spinal cord Present JAX_1799267

Specimen JAX_1799268: postnatal adult; Pcsk5tm1b(KOMP)Mbp/Pcsk5+ (more )
Structure Level Pattern Image Note
TS28: esophagus Present JAX_1799268

Specimen JAX_1799269: postnatal adult; Pcsk5tm1b(KOMP)Mbp/Pcsk5+ (more )
Structure Level Pattern Image Note
TS28: large intestine Present JAX_1799269

Specimen JAX_1799270: postnatal adult; Pcsk5tm1b(KOMP)Mbp/Pcsk5+ (more )
Structure Level Pattern Image Note
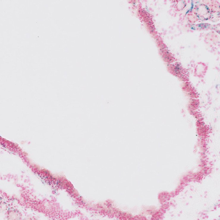
TS28: trachea Present JAX_1799270

Specimen JAX_1799271: postnatal adult; Pcsk5tm1b(KOMP)Mbp/Pcsk5+ (more )
Structure Level Pattern Image Note
TS28: thymus Present JAX_1799271

Specimen JAX_1799272: postnatal adult; Pcsk5tm1b(KOMP)Mbp/Pcsk5+ (more )
Structure Level Pattern Image Note
TS28: testis Present JAX_1799272

Specimen JAX_1799273: postnatal adult; Pcsk5tm1b(KOMP)Mbp/Pcsk5+ (more )
Structure Level Pattern Image Note
TS28: stomach Present JAX_1799273

Specimen JAX_1799274: postnatal adult; Pcsk5tm1b(KOMP)Mbp/Pcsk5+ (more )
Structure Level Pattern Image Note
TS28: skin Present JAX_1799274

Specimen JAX_1799275: postnatal adult; Pcsk5tm1b(KOMP)Mbp/Pcsk5+ (more )
Structure Level Pattern Image Note
TS28: liver Present JAX_1799275

Specimen JAX_1799276: postnatal adult; Pcsk5tm1b(KOMP)Mbp/Pcsk5+ (more )
Structure Level Pattern Image Note
TS28: metanephros Present JAX_1799276 kidney

Specimen JAX_1799277: postnatal adult; Pcsk5tm1b(KOMP)Mbp/Pcsk5+ (more )
Structure Level Pattern Image Note
TS28: heart Present JAX_1799277

Specimen JAX_1799278: postnatal adult; Pcsk5tm1b(KOMP)Mbp/Pcsk5+ (more )
Structure Level Pattern Image Note
TS28: eye Present JAX_1799278

Specimen JAX_1799279: postnatal adult; Pcsk5tm1b(KOMP)Mbp/Pcsk5+ (more )
Structure Level Pattern Image Note
TS28: brain Present JAX_1799279

Specimen JAX_1799280: postnatal adult; Pcsk5tm1b(KOMP)Mbp/Pcsk5+ (more )
Structure Level Pattern Image Note
TS28: adrenal gland Present JAX_1799280


Contributing Projects:
Mouse Genome Database (MGD), Gene Expression Database (GXD), Mouse Models of Human Cancer database (MMHCdb) (formerly Mouse Tumor Biology (MTB)), Gene Ontology (GO)
Citing These Resources
Funding Information
Warranty Disclaimer, Privacy Notice, Licensing, & Copyright
Send questions and comments to User Support.
last database update
12/30/2025
MGI 6.24
The Jackson Laboratory