About   Help   FAQ
Gene Expression Data
Assay Details
Assay
Reference: J:228563 Koscielny G, et al., The International Mouse Phenotyping Consortium Web Portal, a unified point of access for knockout mice and related phenotyping data. Nucleic Acids Res. 2014 Jan;42(Database issue):D802-9
Assay type: In situ reporter (knock in)
MGI Accession ID: MGI:6693168
Gene symbol: Oas1g
Gene name: 2'-5' oligoadenylate synthetase 1G
Reporter: lacZ
Direct Detection
Results
Specimen UC Davis_1863473: postnatal adult; Oas1gtm1b(KOMP)Wtsi/Oas1g+ (more )
Structure Level Pattern Image Note
TS28: esophagus Present UC Davis_1863473

Specimen UC Davis_1863474: postnatal adult; Oas1gtm1b(KOMP)Wtsi/Oas1g+ (more )
Structure Level Pattern Image Note
TS28: ileum Present UC Davis_1863474

Specimen UC Davis_1863475: postnatal adult; Oas1gtm1b(KOMP)Wtsi/Oas1g+ (more )
Structure Level Pattern Image Note
TS28: testis Present UC Davis_1863475

Specimen UC Davis_1863476: postnatal adult; Oas1gtm1b(KOMP)Wtsi/Oas1g+ (more )
Structure Level Pattern Image Note
TS28: epididymis Present UC Davis_1863476

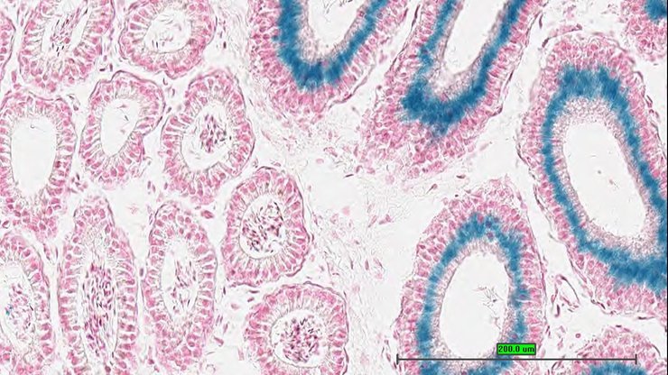
Specimen UC Davis_1863477: postnatal adult; Oas1gtm1b(KOMP)Wtsi/Oas1g+ (more )
Structure Level Pattern Image Note
TS28: epididymis Present UC Davis_1863477

Specimen UC Davis_1863478: postnatal adult; Oas1gtm1b(KOMP)Wtsi/Oas1g+ (more )
Structure Level Pattern Image Note
TS28: ductus deferens Present UC Davis_1863478 vas deferens

Specimen UC Davis_1863479: postnatal adult; Oas1gtm1b(KOMP)Wtsi/Oas1g+ (more )
Structure Level Pattern Image Note
TS28: ductus deferens Present UC Davis_1863479 vas deferens

Specimen UC Davis_1863480: postnatal adult; Oas1gtm1b(KOMP)Wtsi/Oas1g+ (more )
Structure Level Pattern Image Note
TS28: ductus deferens Present UC Davis_1863480 vas deferens


Contributing Projects:
Mouse Genome Database (MGD), Gene Expression Database (GXD), Mouse Models of Human Cancer database (MMHCdb) (formerly Mouse Tumor Biology (MTB)), Gene Ontology (GO)
Citing These Resources
Funding Information
Warranty Disclaimer, Privacy Notice, Licensing, & Copyright
Send questions and comments to User Support.
last database update
01/20/2026
MGI 6.24
The Jackson Laboratory