About   Help   FAQ
Gene Expression Data
Assay Details
Assay
Reference: J:228563 Koscielny G, et al., The International Mouse Phenotyping Consortium Web Portal, a unified point of access for knockout mice and related phenotyping data. Nucleic Acids Res. 2014 Jan;42(Database issue):D802-9
Assay type: In situ reporter (knock in)
MGI Accession ID: MGI:6693159
Gene symbol: Nme2
Gene name: NME/NM23 nucleoside diphosphate kinase 2
Reporter: lacZ
Direct Detection
Results
Specimen UC Davis_1875281: postnatal adult; Nme2tm1.1(KOMP)Vlcg/Nme2+ (more )
Structure Level Pattern Image Note
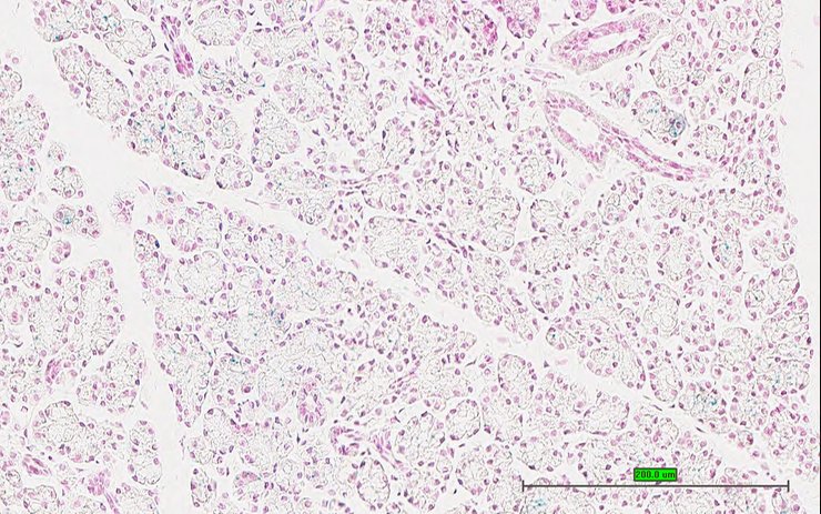
TS28: sublingual gland Present UC Davis_1875281

Specimen UC Davis_1875282: postnatal adult; Nme2tm1.1(KOMP)Vlcg/Nme2+ (more )
Structure Level Pattern Image Note
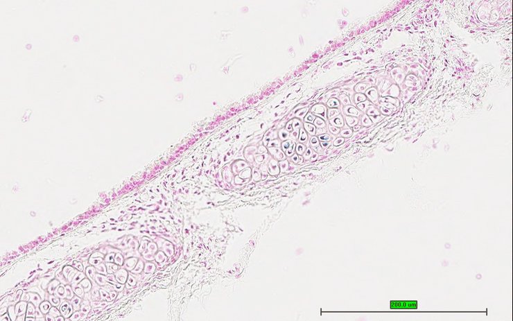
TS28: trachea Present UC Davis_1875282

Specimen UC Davis_1875283: postnatal adult; Nme2tm1.1(KOMP)Vlcg/Nme2+ (more )
Structure Level Pattern Image Note
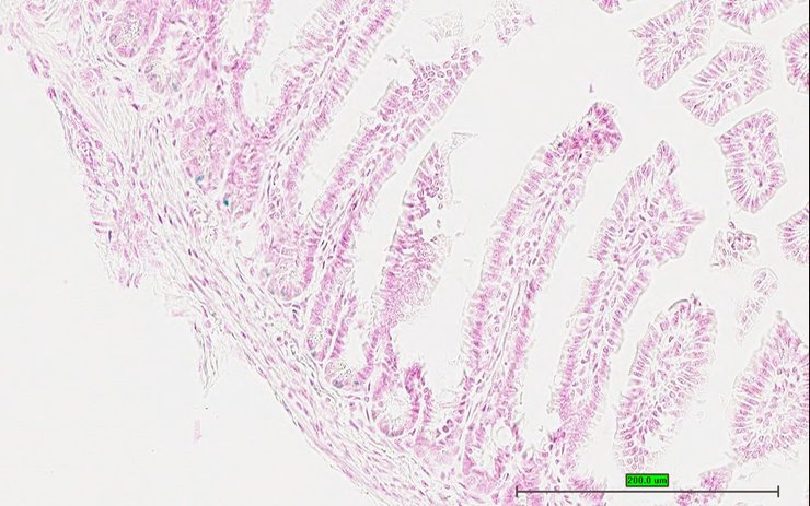
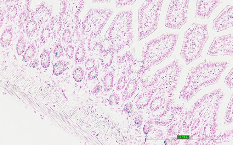
TS28: jejunum Present UC Davis_1875283

Specimen UC Davis_1875284: postnatal adult; Nme2tm1.1(KOMP)Vlcg/Nme2+ (more )
Structure Level Pattern Image Note
TS28: ileum Present UC Davis_1875284

Specimen UC Davis_1875285: postnatal adult; Nme2tm1.1(KOMP)Vlcg/Nme2+ (more )
Structure Level Pattern Image Note
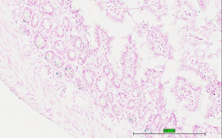
TS28: metanephros Present UC Davis_1875285 kidney

Specimen UC Davis_1875288: postnatal adult; Nme2tm1.1(KOMP)Vlcg/Nme2+ (more )
Structure Level Pattern Image Note
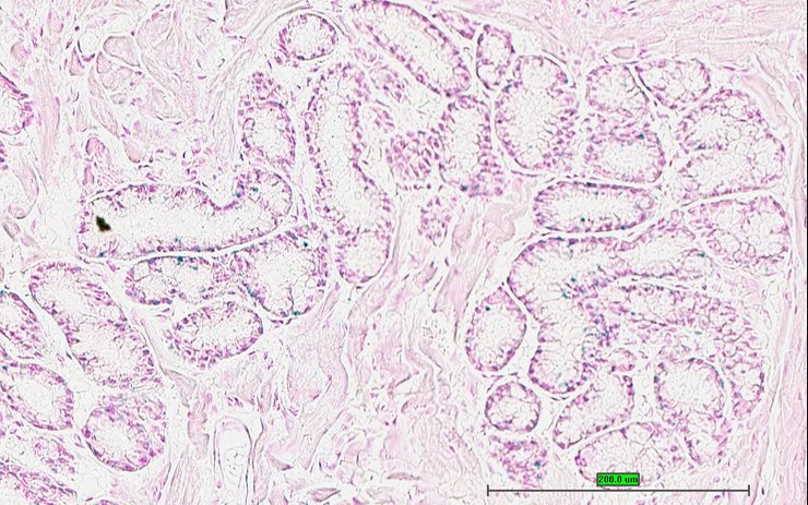
TS28: duodenum Present UC Davis_1875288

Specimen UC Davis_1875289: postnatal adult; Nme2tm1.1(KOMP)Vlcg/Nme2+ (more )
Structure Level Pattern Image Note
TS28: jejunum Present UC Davis_1875289

Specimen UC Davis_1875290: postnatal adult; Nme2tm1.1(KOMP)Vlcg/Nme2+ (more )
Structure Level Pattern Image Note
TS28: ileum Present UC Davis_1875290

Specimen UC Davis_1875291: postnatal adult; Nme2tm1.1(KOMP)Vlcg/Nme2+ (more )
Structure Level Pattern Image Note
TS28: metanephros Present UC Davis_1875291 kidney

Specimen UC Davis_1875292: postnatal adult; Nme2tm1.1(KOMP)Vlcg/Nme2+ (more )
Structure Level Pattern Image Note
TS28: tongue Present UC Davis_1875292

Specimen UC Davis_1875293: postnatal adult; Nme2tm1.1(KOMP)Vlcg/Nme2+ (more )
Structure Level Pattern Image Note
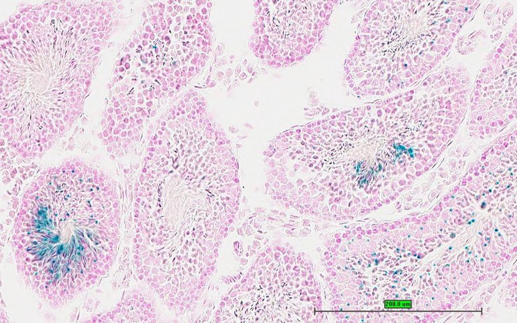
TS28: testis Present UC Davis_1875293

Specimen UC Davis_1875294: postnatal adult; Nme2tm1.1(KOMP)Vlcg/Nme2+ (more )
Structure Level Pattern Image Note
TS28: epididymis Present UC Davis_1875294

Specimen UC Davis_1875295: postnatal adult; Nme2tm1.1(KOMP)Vlcg/Nme2+ (more )
Structure Level Pattern Image Note
TS28: ductus deferens Present UC Davis_1875295 vas deferens


Contributing Projects:
Mouse Genome Database (MGD), Gene Expression Database (GXD), Mouse Models of Human Cancer database (MMHCdb) (formerly Mouse Tumor Biology (MTB)), Gene Ontology (GO)
Citing These Resources
Funding Information
Warranty Disclaimer, Privacy Notice, Licensing, & Copyright
Send questions and comments to User Support.
last database update
12/30/2025
MGI 6.24
The Jackson Laboratory