About   Help   FAQ
Gene Expression Data
Assay Details
Assay
Reference: J:228563 Koscielny G, et al., The International Mouse Phenotyping Consortium Web Portal, a unified point of access for knockout mice and related phenotyping data. Nucleic Acids Res. 2014 Jan;42(Database issue):D802-9
Assay type: In situ reporter (knock in)
MGI Accession ID: MGI:6693139
Gene symbol: Selenbp1
Gene name: selenium binding protein 1
Reporter: lacZ
Direct Detection
Results
Specimen UC Davis_1856691: postnatal adult; Selenbp1tm1b(KOMP)Wtsi/Selenbp1+ (more )
Structure Level Pattern Image Note
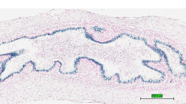
TS28: esophagus Present UC Davis_1856691

Specimen UC Davis_1856692: postnatal adult; Selenbp1tm1b(KOMP)Wtsi/Selenbp1+ (more )
Structure Level Pattern Image Note
TS28: lung Present UC Davis_1856692

Specimen UC Davis_1856693: postnatal adult; Selenbp1tm1b(KOMP)Wtsi/Selenbp1+ (more )
Structure Level Pattern Image Note
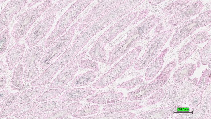
TS28: ileum Present UC Davis_1856693

Specimen UC Davis_1856694: postnatal adult; Selenbp1tm1b(KOMP)Wtsi/Selenbp1+ (more )
Structure Level Pattern Image Note
TS28: cecum Present UC Davis_1856694

Specimen UC Davis_1856697: postnatal adult; Selenbp1tm1b(KOMP)Wtsi/Selenbp1+ (more )
Structure Level Pattern Image Note
TS28: cecum Present UC Davis_1856697

Specimen UC Davis_1856698: postnatal adult; Selenbp1tm1b(KOMP)Wtsi/Selenbp1+ (more )
Structure Level Pattern Image Note
TS28: cecum Present UC Davis_1856698

Specimen UC Davis_1856699: postnatal adult; Selenbp1tm1b(KOMP)Wtsi/Selenbp1+ (more )
Structure Level Pattern Image Note
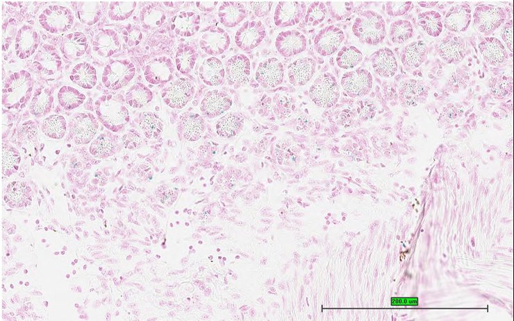
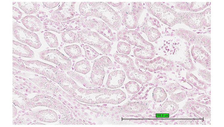
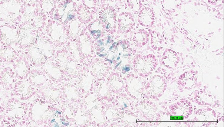
TS28: metanephros Present UC Davis_1856699 kidney

Specimen UC Davis_1856700: postnatal adult; Selenbp1tm1b(KOMP)Wtsi/Selenbp1+ (more )
Structure Level Pattern Image Note
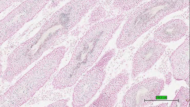
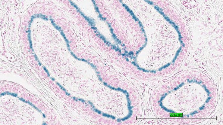
TS28: testis Present UC Davis_1856700

Specimen UC Davis_1856701: postnatal adult; Selenbp1tm1b(KOMP)Wtsi/Selenbp1+ (more )
Structure Level Pattern Image Note
TS28: testis Present UC Davis_1856701

Specimen UC Davis_1856702: postnatal adult; Selenbp1tm1b(KOMP)Wtsi/Selenbp1+ (more )
Structure Level Pattern Image Note
TS28: testis Present UC Davis_1856702

Specimen UC Davis_1856703: postnatal adult; Selenbp1tm1b(KOMP)Wtsi/Selenbp1+ (more )
Structure Level Pattern Image Note
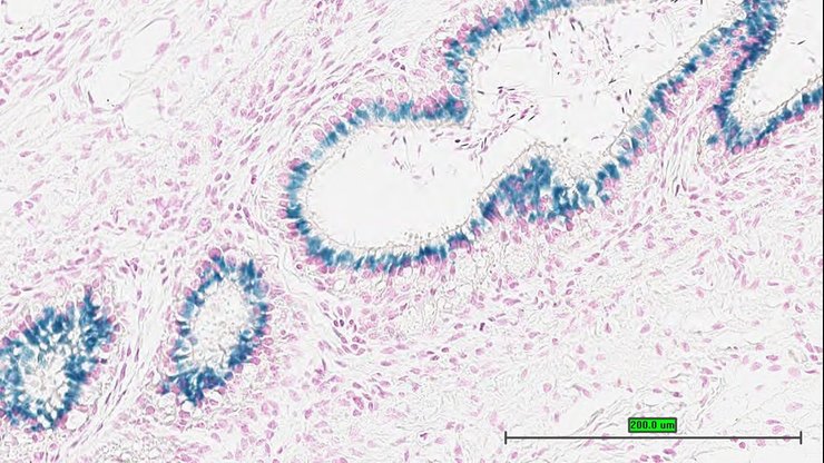
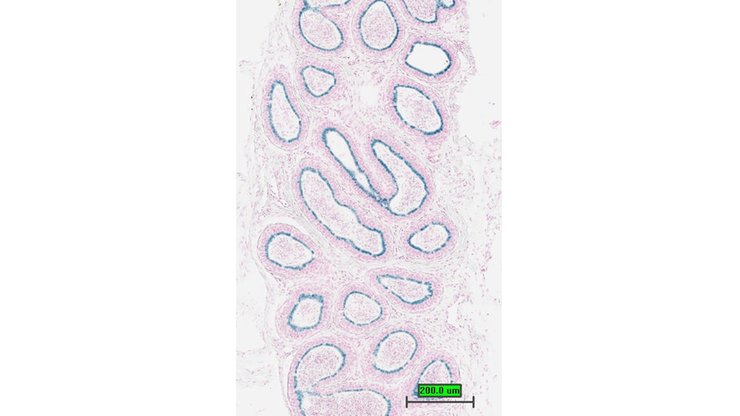
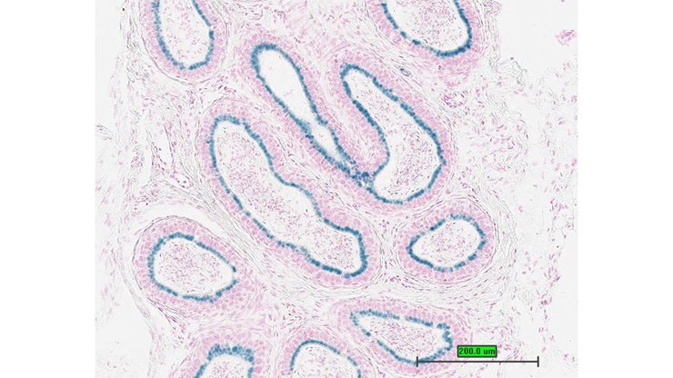
TS28: epididymis Present UC Davis_1856703

Specimen UC Davis_1856704: postnatal adult; Selenbp1tm1b(KOMP)Wtsi/Selenbp1+ (more )
Structure Level Pattern Image Note
TS28: epididymis Present UC Davis_1856704

Specimen UC Davis_1856705: postnatal adult; Selenbp1tm1b(KOMP)Wtsi/Selenbp1+ (more )
Structure Level Pattern Image Note
TS28: epididymis Present UC Davis_1856705

Specimen UC Davis_1856706: postnatal adult; Selenbp1tm1b(KOMP)Wtsi/Selenbp1+ (more )
Structure Level Pattern Image Note
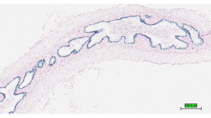
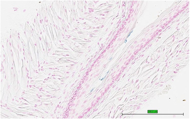
TS28: ductus deferens Present UC Davis_1856706 vas deferens

Specimen UC Davis_1856707: postnatal adult; Selenbp1tm1b(KOMP)Wtsi/Selenbp1+ (more )
Structure Level Pattern Image Note
TS28: ductus deferens Present UC Davis_1856707 vas deferens

Specimen UC Davis_1856708: postnatal adult; Selenbp1tm1b(KOMP)Wtsi/Selenbp1+ (more )
Structure Level Pattern Image Note
TS28: ductus deferens Present UC Davis_1856708 vas deferens

Specimen UC Davis_1856709: postnatal adult; Selenbp1tm1b(KOMP)Wtsi/Selenbp1+ (more )
Structure Level Pattern Image Note
TS28: lung Present UC Davis_1856709

Specimen UC Davis_1856710: postnatal adult; Selenbp1tm1b(KOMP)Wtsi/Selenbp1+ (more )
Structure Level Pattern Image Note
TS28: testis Present UC Davis_1856710


Contributing Projects:
Mouse Genome Database (MGD), Gene Expression Database (GXD), Mouse Models of Human Cancer database (MMHCdb) (formerly Mouse Tumor Biology (MTB)), Gene Ontology (GO)
Citing These Resources
Funding Information
Warranty Disclaimer, Privacy Notice, Licensing, & Copyright
Send questions and comments to User Support.
last database update
12/30/2025
MGI 6.24
The Jackson Laboratory