About   Help   FAQ
Gene Expression Data
Assay Details
Assay
Reference: J:228563 Koscielny G, et al., The International Mouse Phenotyping Consortium Web Portal, a unified point of access for knockout mice and related phenotyping data. Nucleic Acids Res. 2014 Jan;42(Database issue):D802-9
Assay type: In situ reporter (knock in)
MGI Accession ID: MGI:6693137
Gene symbol: Loricrin
Gene name: loricrin cornified envelope precursor protein
Reporter: lacZ
Direct Detection
Results
Specimen UC Davis_1869857: postnatal adult; Loricrintm1.1(KOMP)Vlcg/Loricrin+ (more )
Structure Level Pattern Image Note
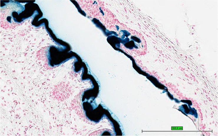
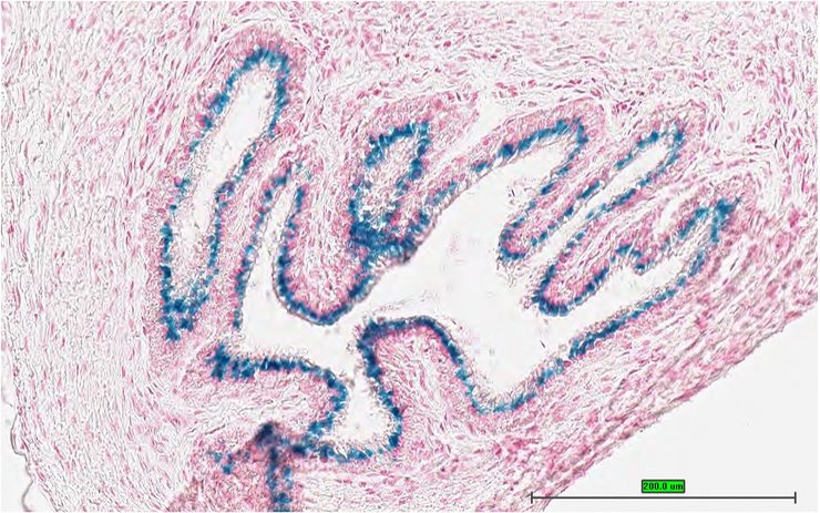
TS28: esophagus Present UC Davis_1869857

Specimen UC Davis_1869858: postnatal adult; Loricrintm1.1(KOMP)Vlcg/Loricrin+ (more )
Structure Level Pattern Image Note
TS28: esophagus Present UC Davis_1869858

Specimen UC Davis_1869859: postnatal adult; Loricrintm1.1(KOMP)Vlcg/Loricrin+ (more )
Structure Level Pattern Image Note
TS28: esophagus Present UC Davis_1869859

Specimen UC Davis_1869860: postnatal adult; Loricrintm1.1(KOMP)Vlcg/Loricrin+ (more )
Structure Level Pattern Image Note
TS28: esophagus Present UC Davis_1869860

Specimen UC Davis_1869861: postnatal adult; Loricrintm1.1(KOMP)Vlcg/Loricrin+ (more )
Structure Level Pattern Image Note
TS28: stomach Present UC Davis_1869861

Specimen UC Davis_1869862: postnatal adult; Loricrintm1.1(KOMP)Vlcg/Loricrin+ (more )
Structure Level Pattern Image Note
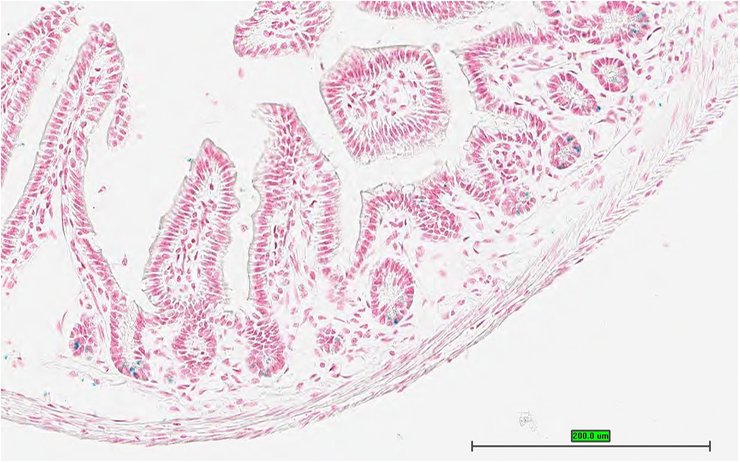
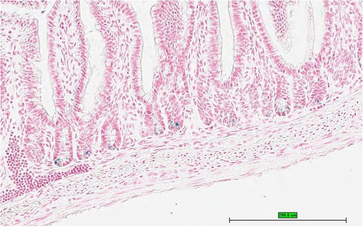
TS28: duodenum Present UC Davis_1869862

Specimen UC Davis_1869863: postnatal adult; Loricrintm1.1(KOMP)Vlcg/Loricrin+ (more )
Structure Level Pattern Image Note
TS28: jejunum Present UC Davis_1869863

Specimen UC Davis_1869864: postnatal adult; Loricrintm1.1(KOMP)Vlcg/Loricrin+ (more )
Structure Level Pattern Image Note
TS28: ileum Present UC Davis_1869864

Specimen UC Davis_1869865: postnatal adult; Loricrintm1.1(KOMP)Vlcg/Loricrin+ (more )
Structure Level Pattern Image Note
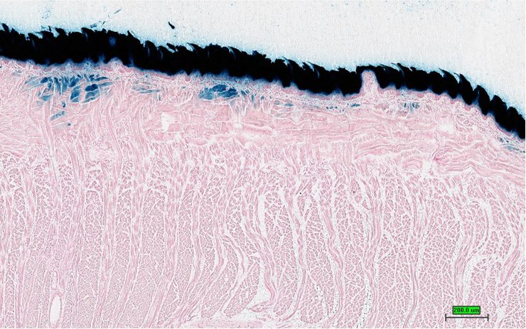
TS28: tongue Present UC Davis_1869865

Specimen UC Davis_1869866: postnatal adult; Loricrintm1.1(KOMP)Vlcg/Loricrin+ (more )
Structure Level Pattern Image Note
TS28: tongue Present UC Davis_1869866

Specimen UC Davis_1869867: postnatal adult; Loricrintm1.1(KOMP)Vlcg/Loricrin+ (more )
Structure Level Pattern Image Note
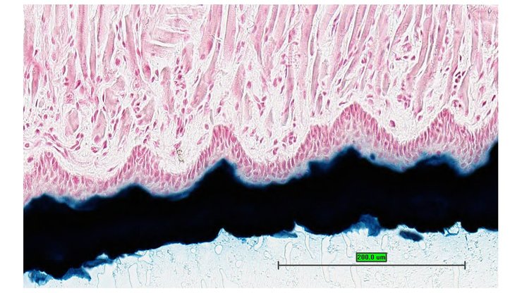
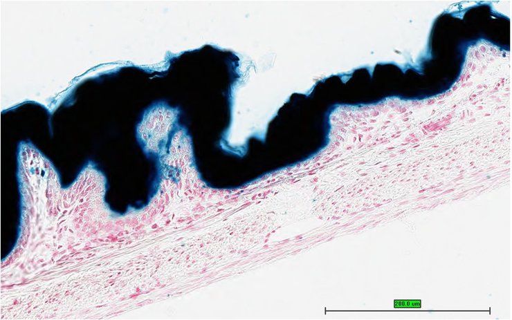
TS28: skin Present UC Davis_1869867

Specimen UC Davis_1869868: postnatal adult; Loricrintm1.1(KOMP)Vlcg/Loricrin+ (more )
Structure Level Pattern Image Note
TS28: skin Present UC Davis_1869868

Specimen UC Davis_1869869: postnatal adult; Loricrintm1.1(KOMP)Vlcg/Loricrin+ (more )
Structure Level Pattern Image Note
TS28: esophagus Present UC Davis_1869869

Specimen UC Davis_1869870: postnatal adult; Loricrintm1.1(KOMP)Vlcg/Loricrin+ (more )
Structure Level Pattern Image Note
TS28: esophagus Present UC Davis_1869870

Specimen UC Davis_1869871: postnatal adult; Loricrintm1.1(KOMP)Vlcg/Loricrin+ (more )
Structure Level Pattern Image Note
TS28: esophagus Present UC Davis_1869871

Specimen UC Davis_1869873: postnatal adult; Loricrintm1.1(KOMP)Vlcg/Loricrin+ (more )
Structure Level Pattern Image Note
TS28: thymus Present UC Davis_1869873

Specimen UC Davis_1869874: postnatal adult; Loricrintm1.1(KOMP)Vlcg/Loricrin+ (more )
Structure Level Pattern Image Note
TS28: stomach Present UC Davis_1869874

Specimen UC Davis_1869875: postnatal adult; Loricrintm1.1(KOMP)Vlcg/Loricrin+ (more )
Structure Level Pattern Image Note
TS28: stomach Present UC Davis_1869875

Specimen UC Davis_1869876: postnatal adult; Loricrintm1.1(KOMP)Vlcg/Loricrin+ (more )
Structure Level Pattern Image Note
TS28: duodenum Present UC Davis_1869876

Specimen UC Davis_1869877: postnatal adult; Loricrintm1.1(KOMP)Vlcg/Loricrin+ (more )
Structure Level Pattern Image Note
TS28: jejunum Present UC Davis_1869877

Specimen UC Davis_1869878: postnatal adult; Loricrintm1.1(KOMP)Vlcg/Loricrin+ (more )
Structure Level Pattern Image Note
TS28: ileum Present UC Davis_1869878

Specimen UC Davis_1869879: postnatal adult; Loricrintm1.1(KOMP)Vlcg/Loricrin+ (more )
Structure Level Pattern Image Note
TS28: tongue Present UC Davis_1869879

Specimen UC Davis_1869880: postnatal adult; Loricrintm1.1(KOMP)Vlcg/Loricrin+ (more )
Structure Level Pattern Image Note
TS28: tongue Present UC Davis_1869880

Specimen UC Davis_1869881: postnatal adult; Loricrintm1.1(KOMP)Vlcg/Loricrin+ (more )
Structure Level Pattern Image Note
TS28: tongue Present UC Davis_1869881

Specimen UC Davis_1869882: postnatal adult; Loricrintm1.1(KOMP)Vlcg/Loricrin+ (more )
Structure Level Pattern Image Note
TS28: skin Present UC Davis_1869882

Specimen UC Davis_1869883: postnatal adult; Loricrintm1.1(KOMP)Vlcg/Loricrin+ (more )
Structure Level Pattern Image Note
TS28: skin Present UC Davis_1869883

Specimen UC Davis_1869884: postnatal adult; Loricrintm1.1(KOMP)Vlcg/Loricrin+ (more )
Structure Level Pattern Image Note
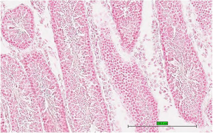
TS28: testis Present UC Davis_1869884

Specimen UC Davis_1869885: postnatal adult; Loricrintm1.1(KOMP)Vlcg/Loricrin+ (more )
Structure Level Pattern Image Note
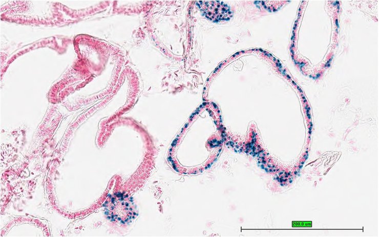
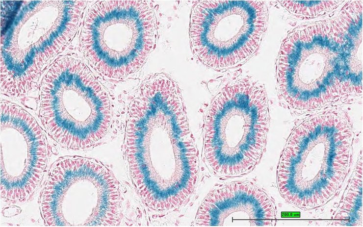
TS28: epididymis Present UC Davis_1869885

Specimen UC Davis_1869886: postnatal adult; Loricrintm1.1(KOMP)Vlcg/Loricrin+ (more )
Structure Level Pattern Image Note
TS28: epididymis Present UC Davis_1869886

Specimen UC Davis_1869887: postnatal adult; Loricrintm1.1(KOMP)Vlcg/Loricrin+ (more )
Structure Level Pattern Image Note
TS28: prostate gland Present UC Davis_1869887

Specimen UC Davis_1869888: postnatal adult; Loricrintm1.1(KOMP)Vlcg/Loricrin+ (more )
Structure Level Pattern Image Note
TS28: penis Present UC Davis_1869888

Specimen UC Davis_1869889: postnatal adult; Loricrintm1.1(KOMP)Vlcg/Loricrin+ (more )
Structure Level Pattern Image Note
TS28: ductus deferens Present UC Davis_1869889 vas deferens


Contributing Projects:
Mouse Genome Database (MGD), Gene Expression Database (GXD), Mouse Models of Human Cancer database (MMHCdb) (formerly Mouse Tumor Biology (MTB)), Gene Ontology (GO)
Citing These Resources
Funding Information
Warranty Disclaimer, Privacy Notice, Licensing, & Copyright
Send questions and comments to User Support.
last database update
12/30/2025
MGI 6.24
The Jackson Laboratory