About   Help   FAQ
Gene Expression Data
Assay Details
Assay
Reference: J:228563 Koscielny G, et al., The International Mouse Phenotyping Consortium Web Portal, a unified point of access for knockout mice and related phenotyping data. Nucleic Acids Res. 2014 Jan;42(Database issue):D802-9
Assay type: In situ reporter (knock in)
MGI Accession ID: MGI:6693131
Gene symbol: Krt5
Gene name: keratin 5
Reporter: lacZ
Direct Detection
Results
Specimen UC Davis_1870556: postnatal adult; Krt5tm1.1(KOMP)Vlcg/Krt5+ (more )
Structure Level Pattern Image Note
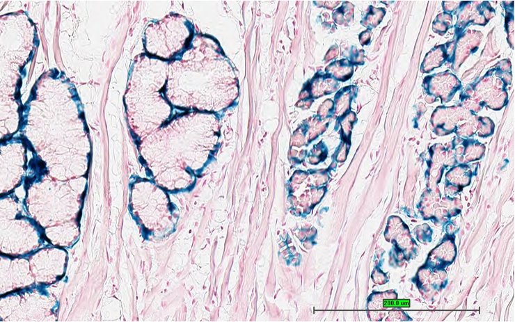
TS28: submandibular gland Present UC Davis_1870556

Specimen UC Davis_1870557: postnatal adult; Krt5tm1.1(KOMP)Vlcg/Krt5+ (more )
Structure Level Pattern Image Note
TS28: submandibular gland Present UC Davis_1870557

Specimen UC Davis_1870558: postnatal adult; Krt5tm1.1(KOMP)Vlcg/Krt5+ (more )
Structure Level Pattern Image Note
TS28: sublingual gland Present UC Davis_1870558

Specimen UC Davis_1870559: postnatal adult; Krt5tm1.1(KOMP)Vlcg/Krt5+ (more )
Structure Level Pattern Image Note
TS28: sublingual gland Present UC Davis_1870559

Specimen UC Davis_1870560: postnatal adult; Krt5tm1.1(KOMP)Vlcg/Krt5+ (more )
Structure Level Pattern Image Note
TS28: parotid gland Present UC Davis_1870560

Specimen UC Davis_1870561: postnatal adult; Krt5tm1.1(KOMP)Vlcg/Krt5+ (more )
Structure Level Pattern Image Note
TS28: parotid gland Present UC Davis_1870561

Specimen UC Davis_1870563: postnatal adult; Krt5tm1.1(KOMP)Vlcg/Krt5+ (more )
Structure Level Pattern Image Note
TS28: trachea Present UC Davis_1870563

Specimen UC Davis_1870564: postnatal adult; Krt5tm1.1(KOMP)Vlcg/Krt5+ (more )
Structure Level Pattern Image Note
TS28: trachea Present UC Davis_1870564

Specimen UC Davis_1870565: postnatal adult; Krt5tm1.1(KOMP)Vlcg/Krt5+ (more )
Structure Level Pattern Image Note
TS28: esophagus Present UC Davis_1870565

Specimen UC Davis_1870566: postnatal adult; Krt5tm1.1(KOMP)Vlcg/Krt5+ (more )
Structure Level Pattern Image Note
TS28: esophagus Present UC Davis_1870566

Specimen UC Davis_1870567: postnatal adult; Krt5tm1.1(KOMP)Vlcg/Krt5+ (more )
Structure Level Pattern Image Note
TS28: stomach Present UC Davis_1870567

Specimen UC Davis_1870568: postnatal adult; Krt5tm1.1(KOMP)Vlcg/Krt5+ (more )
Structure Level Pattern Image Note
TS28: stomach Present UC Davis_1870568

Specimen UC Davis_1870569: postnatal adult; Krt5tm1.1(KOMP)Vlcg/Krt5+ (more )
Structure Level Pattern Image Note
TS28: spleen Absent UC Davis_1870569

Specimen UC Davis_1870570: postnatal adult; Krt5tm1.1(KOMP)Vlcg/Krt5+ (more )
Structure Level Pattern Image Note
TS28: spleen Absent UC Davis_1870570

Specimen UC Davis_1870571: postnatal adult; Krt5tm1.1(KOMP)Vlcg/Krt5+ (more )
Structure Level Pattern Image Note
TS28: metanephros Present UC Davis_1870571 kidney

Specimen UC Davis_1870572: postnatal adult; Krt5tm1.1(KOMP)Vlcg/Krt5+ (more )
Structure Level Pattern Image Note
TS28: metanephros Present UC Davis_1870572 kidney

Specimen UC Davis_1870573: postnatal adult; Krt5tm1.1(KOMP)Vlcg/Krt5+ (more )
Structure Level Pattern Image Note
TS28: metanephros Present UC Davis_1870573 kidney

Specimen UC Davis_1870574: postnatal adult; Krt5tm1.1(KOMP)Vlcg/Krt5+ (more )
Structure Level Pattern Image Note
TS28: tongue Present UC Davis_1870574

Specimen UC Davis_1870575: postnatal adult; Krt5tm1.1(KOMP)Vlcg/Krt5+ (more )
Structure Level Pattern Image Note
TS28: tongue Present UC Davis_1870575

Specimen UC Davis_1870576: postnatal adult; Krt5tm1.1(KOMP)Vlcg/Krt5+ (more )
Structure Level Pattern Image Note
TS28: eye Present UC Davis_1870576

Specimen UC Davis_1870577: postnatal adult; Krt5tm1.1(KOMP)Vlcg/Krt5+ (more )
Structure Level Pattern Image Note
TS28: eye Present UC Davis_1870577

Specimen UC Davis_1870578: postnatal adult; Krt5tm1.1(KOMP)Vlcg/Krt5+ (more )
Structure Level Pattern Image Note
TS28: Harderian gland Present UC Davis_1870578

Specimen UC Davis_1870579: postnatal adult; Krt5tm1.1(KOMP)Vlcg/Krt5+ (more )
Structure Level Pattern Image Note
TS28: Harderian gland Present UC Davis_1870579

Specimen UC Davis_1870580: postnatal adult; Krt5tm1.1(KOMP)Vlcg/Krt5+ (more )
Structure Level Pattern Image Note
TS28: skin Present UC Davis_1870580

Specimen UC Davis_1870581: postnatal adult; Krt5tm1.1(KOMP)Vlcg/Krt5+ (more )
Structure Level Pattern Image Note
TS28: skin Present UC Davis_1870581

Specimen UC Davis_1870582: postnatal adult; Krt5tm1.1(KOMP)Vlcg/Krt5+ (more )
Structure Level Pattern Image Note
TS28: vagina Present UC Davis_1870582

Specimen UC Davis_1870583: postnatal adult; Krt5tm1.1(KOMP)Vlcg/Krt5+ (more )
Structure Level Pattern Image Note
TS28: vagina Present UC Davis_1870583

Specimen UC Davis_1870584: postnatal adult; Krt5tm1.1(KOMP)Vlcg/Krt5+ (more )
Structure Level Pattern Image Note
TS28: vagina Present UC Davis_1870584

Specimen UC Davis_1870585: postnatal adult; Krt5tm1.1(KOMP)Vlcg/Krt5+ (more )
Structure Level Pattern Image Note
TS28: bladder Present UC Davis_1870585

Specimen UC Davis_1870586: postnatal adult; Krt5tm1.1(KOMP)Vlcg/Krt5+ (more )
Structure Level Pattern Image Note
TS28: bladder Present UC Davis_1870586

Specimen UC Davis_1870587: postnatal adult; Krt5tm1.1(KOMP)Vlcg/Krt5+ (more )
Structure Level Pattern Image Note
TS28: mammary gland Present UC Davis_1870587

Specimen UC Davis_1870588: postnatal adult; Krt5tm1.1(KOMP)Vlcg/Krt5+ (more )
Structure Level Pattern Image Note
TS28: mammary gland Present UC Davis_1870588

Specimen UC Davis_1870503: postnatal adult; Krt5tm1.1(KOMP)Vlcg/Krt5+ (more )
Structure Level Pattern Image Note
TS28: submandibular gland Present UC Davis_1870503

Specimen UC Davis_1870504: postnatal adult; Krt5tm1.1(KOMP)Vlcg/Krt5+ (more )
Structure Level Pattern Image Note
TS28: submandibular gland Present UC Davis_1870504

Specimen UC Davis_1870505: postnatal adult; Krt5tm1.1(KOMP)Vlcg/Krt5+ (more )
Structure Level Pattern Image Note
TS28: submandibular gland Present UC Davis_1870505

Specimen UC Davis_1870506: postnatal adult; Krt5tm1.1(KOMP)Vlcg/Krt5+ (more )
Structure Level Pattern Image Note
TS28: sublingual gland Present UC Davis_1870506

Specimen UC Davis_1870507: postnatal adult; Krt5tm1.1(KOMP)Vlcg/Krt5+ (more )
Structure Level Pattern Image Note
TS28: sublingual gland Present UC Davis_1870507

Specimen UC Davis_1870508: postnatal adult; Krt5tm1.1(KOMP)Vlcg/Krt5+ (more )
Structure Level Pattern Image Note
TS28: parotid gland Present UC Davis_1870508

Specimen UC Davis_1870510: postnatal adult; Krt5tm1.1(KOMP)Vlcg/Krt5+ (more )
Structure Level Pattern Image Note
TS28: trachea Present UC Davis_1870510

Specimen UC Davis_1870511: postnatal adult; Krt5tm1.1(KOMP)Vlcg/Krt5+ (more )
Structure Level Pattern Image Note
TS28: esophagus Present UC Davis_1870511

Specimen UC Davis_1870512: postnatal adult; Krt5tm1.1(KOMP)Vlcg/Krt5+ (more )
Structure Level Pattern Image Note
TS28: esophagus Present UC Davis_1870512

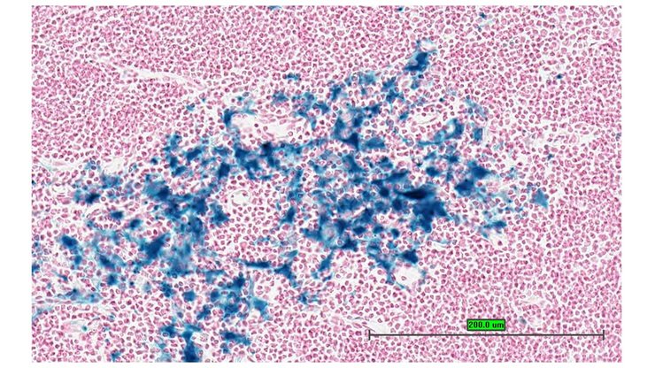
Specimen UC Davis_1870515: postnatal adult; Krt5tm1.1(KOMP)Vlcg/Krt5+ (more )
Structure Level Pattern Image Note
TS28: thymus Present UC Davis_1870515

Specimen UC Davis_1870516: postnatal adult; Krt5tm1.1(KOMP)Vlcg/Krt5+ (more )
Structure Level Pattern Image Note
TS28: thymus Present UC Davis_1870516

Specimen UC Davis_1870517: postnatal adult; Krt5tm1.1(KOMP)Vlcg/Krt5+ (more )
Structure Level Pattern Image Note
TS28: thymus Present UC Davis_1870517

Specimen UC Davis_1870518: postnatal adult; Krt5tm1.1(KOMP)Vlcg/Krt5+ (more )
Structure Level Pattern Image Note
TS28: stomach Present UC Davis_1870518

Specimen UC Davis_1870519: postnatal adult; Krt5tm1.1(KOMP)Vlcg/Krt5+ (more )
Structure Level Pattern Image Note
TS28: stomach Present UC Davis_1870519

Specimen UC Davis_1870520: postnatal adult; Krt5tm1.1(KOMP)Vlcg/Krt5+ (more )
Structure Level Pattern Image Note
TS28: stomach Present UC Davis_1870520

Specimen UC Davis_1870521: postnatal adult; Krt5tm1.1(KOMP)Vlcg/Krt5+ (more )
Structure Level Pattern Image Note
TS28: duodenum Present UC Davis_1870521

Specimen UC Davis_1870522: postnatal adult; Krt5tm1.1(KOMP)Vlcg/Krt5+ (more )
Structure Level Pattern Image Note
TS28: jejunum Present UC Davis_1870522

Specimen UC Davis_1870523: postnatal adult; Krt5tm1.1(KOMP)Vlcg/Krt5+ (more )
Structure Level Pattern Image Note
TS28: ileum Present UC Davis_1870523

Specimen UC Davis_1870524: postnatal adult; Krt5tm1.1(KOMP)Vlcg/Krt5+ (more )
Structure Level Pattern Image Note
TS28: spleen Present UC Davis_1870524

Specimen UC Davis_1870525: postnatal adult; Krt5tm1.1(KOMP)Vlcg/Krt5+ (more )
Structure Level Pattern Image Note
TS28: metanephros Present UC Davis_1870525 kidney

Specimen UC Davis_1870526: postnatal adult; Krt5tm1.1(KOMP)Vlcg/Krt5+ (more )
Structure Level Pattern Image Note
TS28: metanephros Present UC Davis_1870526 kidney

Specimen UC Davis_1870527: postnatal adult; Krt5tm1.1(KOMP)Vlcg/Krt5+ (more )
Structure Level Pattern Image Note
TS28: metanephros Present UC Davis_1870527 kidney

Specimen UC Davis_1870528: postnatal adult; Krt5tm1.1(KOMP)Vlcg/Krt5+ (more )
Structure Level Pattern Image Note
TS28: tongue Present UC Davis_1870528

Specimen UC Davis_1870529: postnatal adult; Krt5tm1.1(KOMP)Vlcg/Krt5+ (more )
Structure Level Pattern Image Note
TS28: tongue Present UC Davis_1870529

Specimen UC Davis_1870530: postnatal adult; Krt5tm1.1(KOMP)Vlcg/Krt5+ (more )
Structure Level Pattern Image Note
TS28: tongue Present UC Davis_1870530

Specimen UC Davis_1870531: postnatal adult; Krt5tm1.1(KOMP)Vlcg/Krt5+ (more )
Structure Level Pattern Image Note
TS28: spinal cord Present UC Davis_1870531

Specimen UC Davis_1870532: postnatal adult; Krt5tm1.1(KOMP)Vlcg/Krt5+ (more )
Structure Level Pattern Image Note
TS28: eye Present UC Davis_1870532

Specimen UC Davis_1870533: postnatal adult; Krt5tm1.1(KOMP)Vlcg/Krt5+ (more )
Structure Level Pattern Image Note
TS28: eye Present UC Davis_1870533

Specimen UC Davis_1870534: postnatal adult; Krt5tm1.1(KOMP)Vlcg/Krt5+ (more )
Structure Level Pattern Image Note
TS28: eye Present UC Davis_1870534

Specimen UC Davis_1870535: postnatal adult; Krt5tm1.1(KOMP)Vlcg/Krt5+ (more )
Structure Level Pattern Image Note
TS28: Harderian gland Present UC Davis_1870535

Specimen UC Davis_1870536: postnatal adult; Krt5tm1.1(KOMP)Vlcg/Krt5+ (more )
Structure Level Pattern Image Note
TS28: Harderian gland Present UC Davis_1870536

Specimen UC Davis_1870537: postnatal adult; Krt5tm1.1(KOMP)Vlcg/Krt5+ (more )
Structure Level Pattern Image Note
TS28: skin Present UC Davis_1870537

Specimen UC Davis_1870538: postnatal adult; Krt5tm1.1(KOMP)Vlcg/Krt5+ (more )
Structure Level Pattern Image Note
TS28: skin Present UC Davis_1870538

Specimen UC Davis_1870539: postnatal adult; Krt5tm1.1(KOMP)Vlcg/Krt5+ (more )
Structure Level Pattern Image Note
TS28: skin Present UC Davis_1870539

Specimen UC Davis_1870540: postnatal adult; Krt5tm1.1(KOMP)Vlcg/Krt5+ (more )
Structure Level Pattern Image Note
TS28: skin Present UC Davis_1870540

Specimen UC Davis_1870541: postnatal adult; Krt5tm1.1(KOMP)Vlcg/Krt5+ (more )
Structure Level Pattern Image Note
TS28: bladder Present UC Davis_1870541

Specimen UC Davis_1870542: postnatal adult; Krt5tm1.1(KOMP)Vlcg/Krt5+ (more )
Structure Level Pattern Image Note
TS28: epididymis Present UC Davis_1870542

Specimen UC Davis_1870543: postnatal adult; Krt5tm1.1(KOMP)Vlcg/Krt5+ (more )
Structure Level Pattern Image Note
TS28: epididymis Present UC Davis_1870543

Specimen UC Davis_1870544: postnatal adult; Krt5tm1.1(KOMP)Vlcg/Krt5+ (more )
Structure Level Pattern Image Note
TS28: prostate gland Present UC Davis_1870544

Specimen UC Davis_1870545: postnatal adult; Krt5tm1.1(KOMP)Vlcg/Krt5+ (more )
Structure Level Pattern Image Note
TS28: prostate gland Present UC Davis_1870545

Specimen UC Davis_1870546: postnatal adult; Krt5tm1.1(KOMP)Vlcg/Krt5+ (more )
Structure Level Pattern Image Note
TS28: prostate gland Present UC Davis_1870546

Specimen UC Davis_1870547: postnatal adult; Krt5tm1.1(KOMP)Vlcg/Krt5+ (more )
Structure Level Pattern Image Note
TS28: penis Present UC Davis_1870547

Specimen UC Davis_1870548: postnatal adult; Krt5tm1.1(KOMP)Vlcg/Krt5+ (more )
Structure Level Pattern Image Note
TS28: penis Present UC Davis_1870548

Specimen UC Davis_1870549: postnatal adult; Krt5tm1.1(KOMP)Vlcg/Krt5+ (more )
Structure Level Pattern Image Note
TS28: penis Present UC Davis_1870549

Specimen UC Davis_1870550: postnatal adult; Krt5tm1.1(KOMP)Vlcg/Krt5+ (more )
Structure Level Pattern Image Note
TS28: ductus deferens Present UC Davis_1870550 vas deferens

Specimen UC Davis_1870551: postnatal adult; Krt5tm1.1(KOMP)Vlcg/Krt5+ (more )
Structure Level Pattern Image Note
TS28: ductus deferens Present UC Davis_1870551 vas deferens

Specimen UC Davis_1870554: postnatal adult; Krt5tm1.1(KOMP)Vlcg/Krt5+ (more )
Structure Level Pattern Image Note
TS28: seminal vesicle Present UC Davis_1870554 vesicular gland

Specimen UC Davis_1870555: postnatal adult; Krt5tm1.1(KOMP)Vlcg/Krt5+ (more )
Structure Level Pattern Image Note
TS28: seminal vesicle Present UC Davis_1870555 vesicular gland


Contributing Projects:
Mouse Genome Database (MGD), Gene Expression Database (GXD), Mouse Models of Human Cancer database (MMHCdb) (formerly Mouse Tumor Biology (MTB)), Gene Ontology (GO)
Citing These Resources
Funding Information
Warranty Disclaimer, Privacy Notice, Licensing, & Copyright
Send questions and comments to User Support.
last database update
01/28/2026
MGI 6.24
The Jackson Laboratory