About   Help   FAQ
Gene Expression Data
Assay Details
Assay
Reference: J:228563 Koscielny G, et al., The International Mouse Phenotyping Consortium Web Portal, a unified point of access for knockout mice and related phenotyping data. Nucleic Acids Res. 2014 Jan;42(Database issue):D802-9
Assay type: In situ reporter (knock in)
MGI Accession ID: MGI:6693127
Gene symbol: Krt14
Gene name: keratin 14
Reporter: lacZ
Direct Detection
Results
Specimen UC Davis_1884773: postnatal adult; Krt14tm1.1(KOMP)Vlcg/Krt14+ (more )
Structure Level Pattern Image Note
TS28: submandibular gland Present UC Davis_1884773

Specimen UC Davis_1884774: postnatal adult; Krt14tm1.1(KOMP)Vlcg/Krt14+ (more )
Structure Level Pattern Image Note
TS28: submandibular gland Present UC Davis_1884774

Specimen UC Davis_1884775: postnatal adult; Krt14tm1.1(KOMP)Vlcg/Krt14+ (more )
Structure Level Pattern Image Note
TS28: submandibular gland Present UC Davis_1884775

Specimen UC Davis_1884776: postnatal adult; Krt14tm1.1(KOMP)Vlcg/Krt14+ (more )
Structure Level Pattern Image Note
TS28: sublingual gland Present UC Davis_1884776

Specimen UC Davis_1884777: postnatal adult; Krt14tm1.1(KOMP)Vlcg/Krt14+ (more )
Structure Level Pattern Image Note
TS28: sublingual gland Present UC Davis_1884777

Specimen UC Davis_1884778: postnatal adult; Krt14tm1.1(KOMP)Vlcg/Krt14+ (more )
Structure Level Pattern Image Note
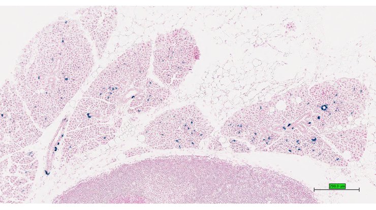
TS28: parotid gland Present UC Davis_1884778

Specimen UC Davis_1884779: postnatal adult; Krt14tm1.1(KOMP)Vlcg/Krt14+ (more )
Structure Level Pattern Image Note
TS28: parotid gland Present UC Davis_1884779

Specimen UC Davis_1884780: postnatal adult; Krt14tm1.1(KOMP)Vlcg/Krt14+ (more )
Structure Level Pattern Image Note
TS28: trachea Present UC Davis_1884780

Specimen UC Davis_1884781: postnatal adult; Krt14tm1.1(KOMP)Vlcg/Krt14+ (more )
Structure Level Pattern Image Note
TS28: trachea Present UC Davis_1884781

Specimen UC Davis_1884782: postnatal adult; Krt14tm1.1(KOMP)Vlcg/Krt14+ (more )
Structure Level Pattern Image Note
TS28: esophagus Present UC Davis_1884782

Specimen UC Davis_1884783: postnatal adult; Krt14tm1.1(KOMP)Vlcg/Krt14+ (more )
Structure Level Pattern Image Note
TS28: esophagus Present UC Davis_1884783

Specimen UC Davis_1884784: postnatal adult; Krt14tm1.1(KOMP)Vlcg/Krt14+ (more )
Structure Level Pattern Image Note
TS28: esophagus Present UC Davis_1884784

Specimen UC Davis_1884785: postnatal adult; Krt14tm1.1(KOMP)Vlcg/Krt14+ (more )
Structure Level Pattern Image Note
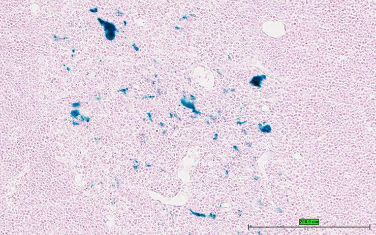
TS28: thymus Present UC Davis_1884785

Specimen UC Davis_1884786: postnatal adult; Krt14tm1.1(KOMP)Vlcg/Krt14+ (more )
Structure Level Pattern Image Note
TS28: thymus Present UC Davis_1884786

Specimen UC Davis_1884787: postnatal adult; Krt14tm1.1(KOMP)Vlcg/Krt14+ (more )
Structure Level Pattern Image Note
TS28: stomach Present UC Davis_1884787

Specimen UC Davis_1884788: postnatal adult; Krt14tm1.1(KOMP)Vlcg/Krt14+ (more )
Structure Level Pattern Image Note
TS28: stomach Present UC Davis_1884788

Specimen UC Davis_1884789: postnatal adult; Krt14tm1.1(KOMP)Vlcg/Krt14+ (more )
Structure Level Pattern Image Note
TS28: stomach Present UC Davis_1884789

Specimen UC Davis_1884790: postnatal adult; Krt14tm1.1(KOMP)Vlcg/Krt14+ (more )
Structure Level Pattern Image Note
TS28: stomach Present UC Davis_1884790

Specimen UC Davis_1884791: postnatal adult; Krt14tm1.1(KOMP)Vlcg/Krt14+ (more )
Structure Level Pattern Image Note
TS28: stomach Present UC Davis_1884791

Specimen UC Davis_1884792: postnatal adult; Krt14tm1.1(KOMP)Vlcg/Krt14+ (more )
Structure Level Pattern Image Note
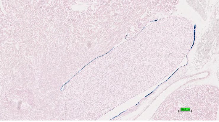
TS28: metanephros Present UC Davis_1884792 kidney

Specimen UC Davis_1884793: postnatal adult; Krt14tm1.1(KOMP)Vlcg/Krt14+ (more )
Structure Level Pattern Image Note
TS28: metanephros Present UC Davis_1884793 kidney

Specimen UC Davis_1884794: postnatal adult; Krt14tm1.1(KOMP)Vlcg/Krt14+ (more )
Structure Level Pattern Image Note
TS28: metanephros Present UC Davis_1884794 kidney

Specimen UC Davis_1884795: postnatal adult; Krt14tm1.1(KOMP)Vlcg/Krt14+ (more )
Structure Level Pattern Image Note
TS28: metanephros Present UC Davis_1884795 kidney

Specimen UC Davis_1884796: postnatal adult; Krt14tm1.1(KOMP)Vlcg/Krt14+ (more )
Structure Level Pattern Image Note
TS28: tongue Present UC Davis_1884796

Specimen UC Davis_1884797: postnatal adult; Krt14tm1.1(KOMP)Vlcg/Krt14+ (more )
Structure Level Pattern Image Note
TS28: tongue Present UC Davis_1884797

Specimen UC Davis_1884798: postnatal adult; Krt14tm1.1(KOMP)Vlcg/Krt14+ (more )
Structure Level Pattern Image Note
TS28: tongue Present UC Davis_1884798

Specimen UC Davis_1884799: postnatal adult; Krt14tm1.1(KOMP)Vlcg/Krt14+ (more )
Structure Level Pattern Image Note
TS28: tongue Present UC Davis_1884799

Specimen UC Davis_1884800: postnatal adult; Krt14tm1.1(KOMP)Vlcg/Krt14+ (more )
Structure Level Pattern Image Note
TS28: eye Present UC Davis_1884800

Specimen UC Davis_1884801: postnatal adult; Krt14tm1.1(KOMP)Vlcg/Krt14+ (more )
Structure Level Pattern Image Note
TS28: eye Present UC Davis_1884801

Specimen UC Davis_1884802: postnatal adult; Krt14tm1.1(KOMP)Vlcg/Krt14+ (more )
Structure Level Pattern Image Note
TS28: eye Present UC Davis_1884802

Specimen UC Davis_1884803: postnatal adult; Krt14tm1.1(KOMP)Vlcg/Krt14+ (more )
Structure Level Pattern Image Note
TS28: Harderian gland Present UC Davis_1884803

Specimen UC Davis_1884804: postnatal adult; Krt14tm1.1(KOMP)Vlcg/Krt14+ (more )
Structure Level Pattern Image Note
TS28: Harderian gland Present UC Davis_1884804

Specimen UC Davis_1884805: postnatal adult; Krt14tm1.1(KOMP)Vlcg/Krt14+ (more )
Structure Level Pattern Image Note
TS28: Harderian gland Present UC Davis_1884805

Specimen UC Davis_1884806: postnatal adult; Krt14tm1.1(KOMP)Vlcg/Krt14+ (more )
Structure Level Pattern Image Note
TS28: skin Present UC Davis_1884806

Specimen UC Davis_1884807: postnatal adult; Krt14tm1.1(KOMP)Vlcg/Krt14+ (more )
Structure Level Pattern Image Note
TS28: skin Present UC Davis_1884807

Specimen UC Davis_1884808: postnatal adult; Krt14tm1.1(KOMP)Vlcg/Krt14+ (more )
Structure Level Pattern Image Note
TS28: skin Present UC Davis_1884808

Specimen UC Davis_1884809: postnatal adult; Krt14tm1.1(KOMP)Vlcg/Krt14+ (more )
Structure Level Pattern Image Note
TS28: vagina Present UC Davis_1884809

Specimen UC Davis_1884810: postnatal adult; Krt14tm1.1(KOMP)Vlcg/Krt14+ (more )
Structure Level Pattern Image Note
TS28: vagina Present UC Davis_1884810

Specimen UC Davis_1884811: postnatal adult; Krt14tm1.1(KOMP)Vlcg/Krt14+ (more )
Structure Level Pattern Image Note
TS28: bladder Present UC Davis_1884811

Specimen UC Davis_1884812: postnatal adult; Krt14tm1.1(KOMP)Vlcg/Krt14+ (more )
Structure Level Pattern Image Note
TS28: bladder Present UC Davis_1884812

Specimen UC Davis_1884813: postnatal adult; Krt14tm1.1(KOMP)Vlcg/Krt14+ (more )
Structure Level Pattern Image Note
TS28: bladder Present UC Davis_1884813

Specimen UC Davis_1884814: postnatal adult; Krt14tm1.1(KOMP)Vlcg/Krt14+ (more )
Structure Level Pattern Image Note
TS28: mammary gland Present UC Davis_1884814

Specimen UC Davis_1884815: postnatal adult; Krt14tm1.1(KOMP)Vlcg/Krt14+ (more )
Structure Level Pattern Image Note
TS28: mammary gland Present UC Davis_1884815

Specimen UC Davis_1884816: postnatal adult; Krt14tm1.1(KOMP)Vlcg/Krt14+ (more )
Structure Level Pattern Image Note
TS28: mammary gland Present UC Davis_1884816

Specimen UC Davis_1884817: postnatal adult; Krt14tm1.1(KOMP)Vlcg/Krt14+ (more )
Structure Level Pattern Image Note
TS28: submandibular gland Present UC Davis_1884817

Specimen UC Davis_1884818: postnatal adult; Krt14tm1.1(KOMP)Vlcg/Krt14+ (more )
Structure Level Pattern Image Note
TS28: parotid gland Present UC Davis_1884818

Specimen UC Davis_1884819: postnatal adult; Krt14tm1.1(KOMP)Vlcg/Krt14+ (more )
Structure Level Pattern Image Note
TS28: trachea Present UC Davis_1884819

Specimen UC Davis_1884820: postnatal adult; Krt14tm1.1(KOMP)Vlcg/Krt14+ (more )
Structure Level Pattern Image Note
TS28: esophagus Present UC Davis_1884820

Specimen UC Davis_1884822: postnatal adult; Krt14tm1.1(KOMP)Vlcg/Krt14+ (more )
Structure Level Pattern Image Note
TS28: thymus Present UC Davis_1884822

Specimen UC Davis_1884823: postnatal adult; Krt14tm1.1(KOMP)Vlcg/Krt14+ (more )
Structure Level Pattern Image Note
TS28: thymus Present UC Davis_1884823

Specimen UC Davis_1884824: postnatal adult; Krt14tm1.1(KOMP)Vlcg/Krt14+ (more )
Structure Level Pattern Image Note
TS28: stomach Present UC Davis_1884824

Specimen UC Davis_1884825: postnatal adult; Krt14tm1.1(KOMP)Vlcg/Krt14+ (more )
Structure Level Pattern Image Note
TS28: stomach Present UC Davis_1884825

Specimen UC Davis_1884826: postnatal adult; Krt14tm1.1(KOMP)Vlcg/Krt14+ (more )
Structure Level Pattern Image Note
TS28: ileum Present UC Davis_1884826

Specimen UC Davis_1884827: postnatal adult; Krt14tm1.1(KOMP)Vlcg/Krt14+ (more )
Structure Level Pattern Image Note
TS28: metanephros Present UC Davis_1884827 kidney

Specimen UC Davis_1884828: postnatal adult; Krt14tm1.1(KOMP)Vlcg/Krt14+ (more )
Structure Level Pattern Image Note
TS28: metanephros Present UC Davis_1884828 kidney

Specimen UC Davis_1884829: postnatal adult; Krt14tm1.1(KOMP)Vlcg/Krt14+ (more )
Structure Level Pattern Image Note
TS28: tongue Present UC Davis_1884829

Specimen UC Davis_1884830: postnatal adult; Krt14tm1.1(KOMP)Vlcg/Krt14+ (more )
Structure Level Pattern Image Note
TS28: tongue Present UC Davis_1884830

Specimen UC Davis_1884831: postnatal adult; Krt14tm1.1(KOMP)Vlcg/Krt14+ (more )
Structure Level Pattern Image Note
TS28: tongue Present UC Davis_1884831

Specimen UC Davis_1884832: postnatal adult; Krt14tm1.1(KOMP)Vlcg/Krt14+ (more )
Structure Level Pattern Image Note
TS28: eye Present UC Davis_1884832

Specimen UC Davis_1884833: postnatal adult; Krt14tm1.1(KOMP)Vlcg/Krt14+ (more )
Structure Level Pattern Image Note
TS28: Harderian gland Present UC Davis_1884833

Specimen UC Davis_1884834: postnatal adult; Krt14tm1.1(KOMP)Vlcg/Krt14+ (more )
Structure Level Pattern Image Note
TS28: Harderian gland Present UC Davis_1884834

Specimen UC Davis_1884835: postnatal adult; Krt14tm1.1(KOMP)Vlcg/Krt14+ (more )
Structure Level Pattern Image Note
TS28: skin Present UC Davis_1884835

Specimen UC Davis_1884836: postnatal adult; Krt14tm1.1(KOMP)Vlcg/Krt14+ (more )
Structure Level Pattern Image Note
TS28: bladder Present UC Davis_1884836

Specimen UC Davis_1884837: postnatal adult; Krt14tm1.1(KOMP)Vlcg/Krt14+ (more )
Structure Level Pattern Image Note
TS28: epididymis Present UC Davis_1884837

Specimen UC Davis_1884838: postnatal adult; Krt14tm1.1(KOMP)Vlcg/Krt14+ (more )
Structure Level Pattern Image Note
TS28: epididymis Present UC Davis_1884838

Specimen UC Davis_1884839: postnatal adult; Krt14tm1.1(KOMP)Vlcg/Krt14+ (more )
Structure Level Pattern Image Note
TS28: prostate gland Present UC Davis_1884839

Specimen UC Davis_1884840: postnatal adult; Krt14tm1.1(KOMP)Vlcg/Krt14+ (more )
Structure Level Pattern Image Note
TS28: penis Present UC Davis_1884840

Specimen UC Davis_1884844: postnatal adult; Krt14tm1.1(KOMP)Vlcg/Krt14+ (more )
Structure Level Pattern Image Note
TS28: seminal vesicle Present UC Davis_1884844 vesicular gland


Contributing Projects:
Mouse Genome Database (MGD), Gene Expression Database (GXD), Mouse Models of Human Cancer database (MMHCdb) (formerly Mouse Tumor Biology (MTB)), Gene Ontology (GO)
Citing These Resources
Funding Information
Warranty Disclaimer, Privacy Notice, Licensing, & Copyright
Send questions and comments to User Support.
last database update
01/20/2026
MGI 6.24
The Jackson Laboratory