About   Help   FAQ
Gene Expression Data
Assay Details
Assay
Reference: J:228563 Koscielny G, et al., The International Mouse Phenotyping Consortium Web Portal, a unified point of access for knockout mice and related phenotyping data. Nucleic Acids Res. 2014 Jan;42(Database issue):D802-9
Assay type: In situ reporter (knock in)
MGI Accession ID: MGI:6693113
Gene symbol: Il1r2
Gene name: interleukin 1 receptor, type II
Reporter: lacZ
Direct Detection
Results
Specimen UC Davis_1859788: postnatal adult; Il1r2tm1.1(KOMP)Vlcg/Il1r2+ (more )
Structure Level Pattern Image Note
TS28: esophagus Present UC Davis_1859788

Specimen UC Davis_1859789: postnatal adult; Il1r2tm1.1(KOMP)Vlcg/Il1r2+ (more )
Structure Level Pattern Image Note
TS28: esophagus Present UC Davis_1859789

Specimen UC Davis_1859790: postnatal adult; Il1r2tm1.1(KOMP)Vlcg/Il1r2+ (more )
Structure Level Pattern Image Note
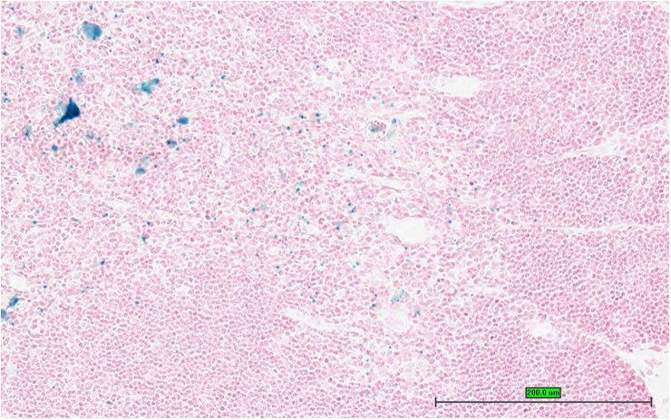
TS28: thymus Present UC Davis_1859790

Specimen UC Davis_1859791: postnatal adult; Il1r2tm1.1(KOMP)Vlcg/Il1r2+ (more )
Structure Level Pattern Image Note
TS28: thymus Present UC Davis_1859791

Specimen UC Davis_1859792: postnatal adult; Il1r2tm1.1(KOMP)Vlcg/Il1r2+ (more )
Structure Level Pattern Image Note
TS28: stomach Present UC Davis_1859792

Specimen UC Davis_1859793: postnatal adult; Il1r2tm1.1(KOMP)Vlcg/Il1r2+ (more )
Structure Level Pattern Image Note
TS28: stomach Present UC Davis_1859793

Specimen UC Davis_1859794: postnatal adult; Il1r2tm1.1(KOMP)Vlcg/Il1r2+ (more )
Structure Level Pattern Image Note
TS28: tongue Present UC Davis_1859794

Specimen UC Davis_1859795: postnatal adult; Il1r2tm1.1(KOMP)Vlcg/Il1r2+ (more )
Structure Level Pattern Image Note
TS28: tongue Present UC Davis_1859795

Specimen UC Davis_1859796: postnatal adult; Il1r2tm1.1(KOMP)Vlcg/Il1r2+ (more )
Structure Level Pattern Image Note
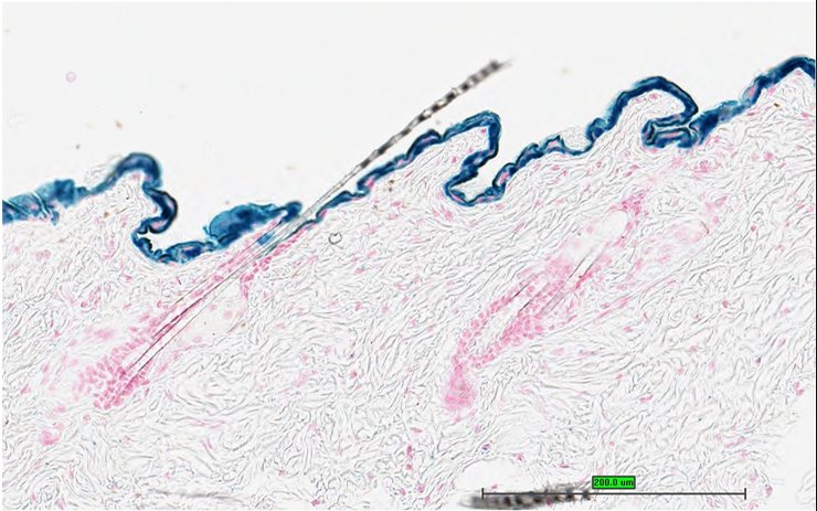
TS28: skin Present UC Davis_1859796

Specimen UC Davis_1859797: postnatal adult; Il1r2tm1.1(KOMP)Vlcg/Il1r2+ (more )
Structure Level Pattern Image Note
TS28: skin Present UC Davis_1859797

Specimen UC Davis_1859798: postnatal adult; Il1r2tm1.1(KOMP)Vlcg/Il1r2+ (more )
Structure Level Pattern Image Note
TS28: oviduct Present UC Davis_1859798

Specimen UC Davis_1859799: postnatal adult; Il1r2tm1.1(KOMP)Vlcg/Il1r2+ (more )
Structure Level Pattern Image Note
TS28: oviduct Present UC Davis_1859799

Specimen UC Davis_1859800: postnatal adult; Il1r2tm1.1(KOMP)Vlcg/Il1r2+ (more )
Structure Level Pattern Image Note
TS28: uterus Present UC Davis_1859800

Specimen UC Davis_1859801: postnatal adult; Il1r2tm1.1(KOMP)Vlcg/Il1r2+ (more )
Structure Level Pattern Image Note
TS28: uterus Present UC Davis_1859801

Specimen UC Davis_1859802: postnatal adult; Il1r2tm1.1(KOMP)Vlcg/Il1r2+ (more )
Structure Level Pattern Image Note
TS28: vagina Present UC Davis_1859802

Specimen UC Davis_1859803: postnatal adult; Il1r2tm1.1(KOMP)Vlcg/Il1r2+ (more )
Structure Level Pattern Image Note
TS28: vagina Present UC Davis_1859803

Specimen UC Davis_1859812: postnatal adult; Il1r2tm1.1(KOMP)Vlcg/Il1r2+ (more )
Structure Level Pattern Image Note
TS28: pituitary gland Present UC Davis_1859812

Specimen UC Davis_1859813: postnatal adult; Il1r2tm1.1(KOMP)Vlcg/Il1r2+ (more )
Structure Level Pattern Image Note
TS28: oviduct Present UC Davis_1859813

Specimen UC Davis_1859814: postnatal adult; Il1r2tm1.1(KOMP)Vlcg/Il1r2+ (more )
Structure Level Pattern Image Note
TS28: uterus Present UC Davis_1859814

Specimen UC Davis_1859762: postnatal adult; Il1r2tm1.1(KOMP)Vlcg/Il1r2+ (more )
Structure Level Pattern Image Note
TS28: trachea Present UC Davis_1859762

Specimen UC Davis_1859763: postnatal adult; Il1r2tm1.1(KOMP)Vlcg/Il1r2+ (more )
Structure Level Pattern Image Note
TS28: esophagus Present UC Davis_1859763

Specimen UC Davis_1859765: postnatal adult; Il1r2tm1.1(KOMP)Vlcg/Il1r2+ (more )
Structure Level Pattern Image Note
TS28: thymus Present UC Davis_1859765

Specimen UC Davis_1859766: postnatal adult; Il1r2tm1.1(KOMP)Vlcg/Il1r2+ (more )
Structure Level Pattern Image Note
TS28: thymus Present UC Davis_1859766

Specimen UC Davis_1859767: postnatal adult; Il1r2tm1.1(KOMP)Vlcg/Il1r2+ (more )
Structure Level Pattern Image Note
TS28: thymus Present UC Davis_1859767

Specimen UC Davis_1859768: postnatal adult; Il1r2tm1.1(KOMP)Vlcg/Il1r2+ (more )
Structure Level Pattern Image Note
TS28: stomach Present UC Davis_1859768

Specimen UC Davis_1859769: postnatal adult; Il1r2tm1.1(KOMP)Vlcg/Il1r2+ (more )
Structure Level Pattern Image Note
TS28: stomach Present UC Davis_1859769

Specimen UC Davis_1859770: postnatal adult; Il1r2tm1.1(KOMP)Vlcg/Il1r2+ (more )
Structure Level Pattern Image Note
TS28: ileum Present UC Davis_1859770

Specimen UC Davis_1859771: postnatal adult; Il1r2tm1.1(KOMP)Vlcg/Il1r2+ (more )
Structure Level Pattern Image Note
TS28: tongue Present UC Davis_1859771

Specimen UC Davis_1859772: postnatal adult; Il1r2tm1.1(KOMP)Vlcg/Il1r2+ (more )
Structure Level Pattern Image Note
TS28: tongue Present UC Davis_1859772

Specimen UC Davis_1859773: postnatal adult; Il1r2tm1.1(KOMP)Vlcg/Il1r2+ (more )
Structure Level Pattern Image Note
TS28: tongue Present UC Davis_1859773

Specimen UC Davis_1859774: postnatal adult; Il1r2tm1.1(KOMP)Vlcg/Il1r2+ (more )
Structure Level Pattern Image Note
TS28: pituitary gland Present UC Davis_1859774

Specimen UC Davis_1859775: postnatal adult; Il1r2tm1.1(KOMP)Vlcg/Il1r2+ (more )
Structure Level Pattern Image Note
TS28: pituitary gland Present UC Davis_1859775

Specimen UC Davis_1859776: postnatal adult; Il1r2tm1.1(KOMP)Vlcg/Il1r2+ (more )
Structure Level Pattern Image Note
TS28: skin Present UC Davis_1859776

Specimen UC Davis_1859777: postnatal adult; Il1r2tm1.1(KOMP)Vlcg/Il1r2+ (more )
Structure Level Pattern Image Note
TS28: skin Present UC Davis_1859777

Specimen UC Davis_1859778: postnatal adult; Il1r2tm1.1(KOMP)Vlcg/Il1r2+ (more )
Structure Level Pattern Image Note
TS28: skin Present UC Davis_1859778

Specimen UC Davis_1859779: postnatal adult; Il1r2tm1.1(KOMP)Vlcg/Il1r2+ (more )
Structure Level Pattern Image Note
TS28: testis Present UC Davis_1859779

Specimen UC Davis_1859780: postnatal adult; Il1r2tm1.1(KOMP)Vlcg/Il1r2+ (more )
Structure Level Pattern Image Note
TS28: testis Present UC Davis_1859780

Specimen UC Davis_1859781: postnatal adult; Il1r2tm1.1(KOMP)Vlcg/Il1r2+ (more )
Structure Level Pattern Image Note
TS28: epididymis Present UC Davis_1859781

Specimen UC Davis_1859782: postnatal adult; Il1r2tm1.1(KOMP)Vlcg/Il1r2+ (more )
Structure Level Pattern Image Note
TS28: epididymis Present UC Davis_1859782

Specimen UC Davis_1859783: postnatal adult; Il1r2tm1.1(KOMP)Vlcg/Il1r2+ (more )
Structure Level Pattern Image Note
TS28: prostate gland Present UC Davis_1859783

Specimen UC Davis_1859784: postnatal adult; Il1r2tm1.1(KOMP)Vlcg/Il1r2+ (more )
Structure Level Pattern Image Note
TS28: penis Present UC Davis_1859784

Specimen UC Davis_1859785: postnatal adult; Il1r2tm1.1(KOMP)Vlcg/Il1r2+ (more )
Structure Level Pattern Image Note
TS28: penis Present UC Davis_1859785

Specimen UC Davis_1859804: postnatal adult; Il1r2tm1.1(KOMP)Vlcg/Il1r2+ (more )
Structure Level Pattern Image Note
TS28: tongue Present UC Davis_1859804

Specimen UC Davis_1859805: postnatal adult; Il1r2tm1.1(KOMP)Vlcg/Il1r2+ (more )
Structure Level Pattern Image Note
TS28: thymus Present UC Davis_1859805

Specimen UC Davis_1859806: postnatal adult; Il1r2tm1.1(KOMP)Vlcg/Il1r2+ (more )
Structure Level Pattern Image Note
TS28: skin Present UC Davis_1859806

Specimen UC Davis_1859807: postnatal adult; Il1r2tm1.1(KOMP)Vlcg/Il1r2+ (more )
Structure Level Pattern Image Note
TS28: esophagus Present UC Davis_1859807

Specimen UC Davis_1859808: postnatal adult; Il1r2tm1.1(KOMP)Vlcg/Il1r2+ (more )
Structure Level Pattern Image Note
TS28: stomach Present UC Davis_1859808


Contributing Projects:
Mouse Genome Database (MGD), Gene Expression Database (GXD), Mouse Models of Human Cancer database (MMHCdb) (formerly Mouse Tumor Biology (MTB)), Gene Ontology (GO)
Citing These Resources
Funding Information
Warranty Disclaimer, Privacy Notice, Licensing, & Copyright
Send questions and comments to User Support.
last database update
12/30/2025
MGI 6.24
The Jackson Laboratory