About   Help   FAQ
Gene Expression Data
Assay Details
Assay
Reference: J:228563 Koscielny G, et al., The International Mouse Phenotyping Consortium Web Portal, a unified point of access for knockout mice and related phenotyping data. Nucleic Acids Res. 2014 Jan;42(Database issue):D802-9
Assay type: In situ reporter (knock in)
MGI Accession ID: MGI:6693107
Gene symbol: Ifi204
Gene name: interferon activated gene 204
Reporter: lacZ
Direct Detection
Results
Specimen UC Davis_1880894: postnatal adult; Ifi204tm1b(KOMP)Wtsi/Ifi204+ (more )
Structure Level Pattern Image Note
TS28: esophagus Present UC Davis_1880894

Specimen UC Davis_1880896: postnatal adult; Ifi204tm1b(KOMP)Wtsi/Ifi204+ (more )
Structure Level Pattern Image Note
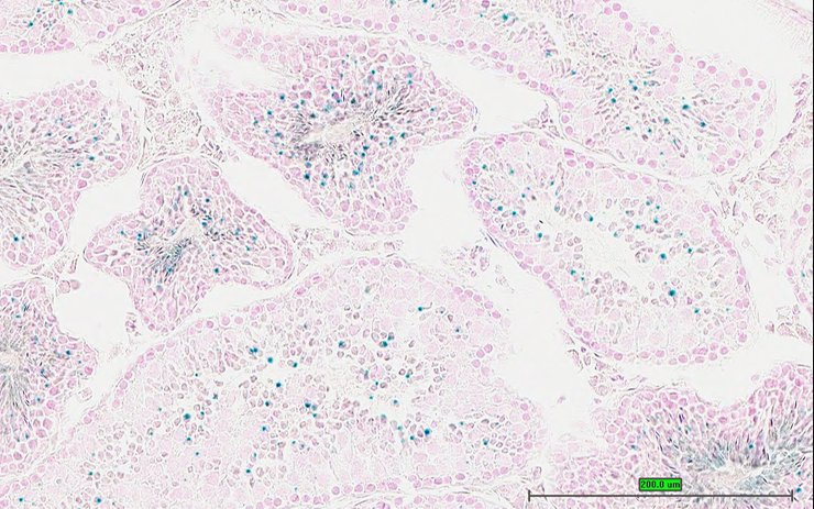
TS28: testis Present UC Davis_1880896

Specimen UC Davis_1880897: postnatal adult; Ifi204tm1b(KOMP)Wtsi/Ifi204+ (more )
Structure Level Pattern Image Note
TS28: testis Present UC Davis_1880897

Specimen UC Davis_1880898: postnatal adult; Ifi204tm1b(KOMP)Wtsi/Ifi204+ (more )
Structure Level Pattern Image Note
TS28: epididymis Present UC Davis_1880898

Specimen UC Davis_1880899: postnatal adult; Ifi204tm1b(KOMP)Wtsi/Ifi204+ (more )
Structure Level Pattern Image Note
TS28: prostate gland Present UC Davis_1880899

Specimen UC Davis_1880900: postnatal adult; Ifi204tm1b(KOMP)Wtsi/Ifi204+ (more )
Structure Level Pattern Image Note
TS28: ductus deferens Present UC Davis_1880900 vas deferens


Contributing Projects:
Mouse Genome Database (MGD), Gene Expression Database (GXD), Mouse Models of Human Cancer database (MMHCdb) (formerly Mouse Tumor Biology (MTB)), Gene Ontology (GO)
Citing These Resources
Funding Information
Warranty Disclaimer, Privacy Notice, Licensing, & Copyright
Send questions and comments to User Support.
last database update
01/20/2026
MGI 6.24
The Jackson Laboratory