About   Help   FAQ
Gene Expression Data
Assay Details
Assay
Reference: J:228563 Koscielny G, et al., The International Mouse Phenotyping Consortium Web Portal, a unified point of access for knockout mice and related phenotyping data. Nucleic Acids Res. 2014 Jan;42(Database issue):D802-9
Assay type: In situ reporter (knock in)
MGI Accession ID: MGI:6693089
Gene symbol: H2-Q10
Gene name: histocompatibility 2, Q region locus 10
Reporter: lacZ
Direct Detection
Results
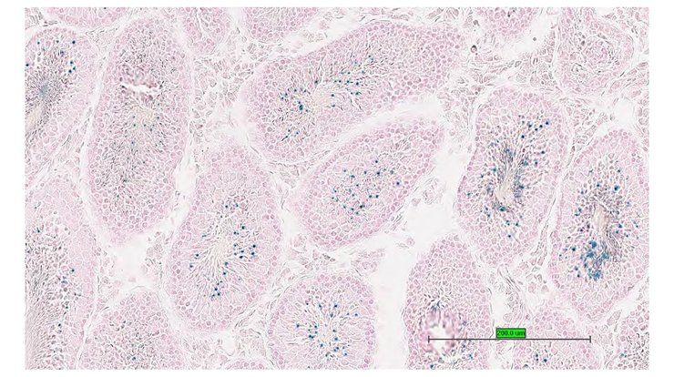
Specimen UC Davis_1881197: postnatal adult; H2-Q10tm1.1(KOMP)Mbp/H2-Q10+ (more )
Note: The IMPC refers to this as a tm1b allele; when using standard nomenclature conventions, however, it is a tm1.1 allele.
Structure Level Pattern Image Note
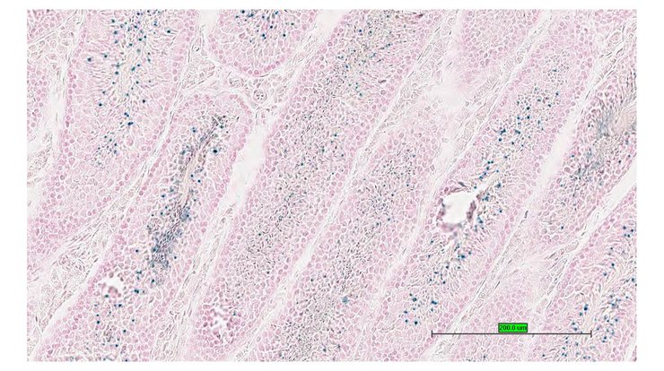
TS28: testis Present UC Davis_1881197

Specimen UC Davis_1881198: postnatal adult; H2-Q10tm1.1(KOMP)Mbp/H2-Q10+ (more )
Note: The IMPC refers to this as a tm1b allele; when using standard nomenclature conventions, however, it is a tm1.1 allele.
Structure Level Pattern Image Note
TS28: testis Present UC Davis_1881198

Specimen UC Davis_1881199: postnatal adult; H2-Q10tm1.1(KOMP)Mbp/H2-Q10+ (more )
Note: The IMPC refers to this as a tm1b allele; when using standard nomenclature conventions, however, it is a tm1.1 allele.
Structure Level Pattern Image Note
TS28: testis Present UC Davis_1881199

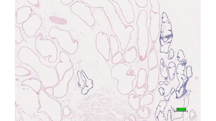
Specimen UC Davis_1881200: postnatal adult; H2-Q10tm1.1(KOMP)Mbp/H2-Q10+ (more )
Note: The IMPC refers to this as a tm1b allele; when using standard nomenclature conventions, however, it is a tm1.1 allele.
Structure Level Pattern Image Note
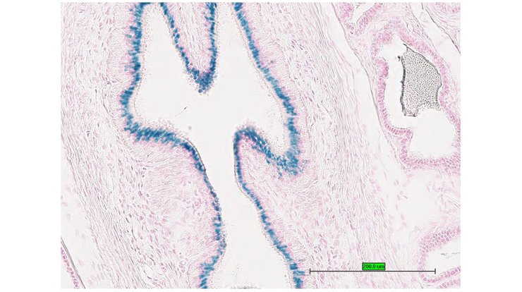
TS28: epididymis Present UC Davis_1881200

Specimen UC Davis_1881201: postnatal adult; H2-Q10tm1.1(KOMP)Mbp/H2-Q10+ (more )
Note: The IMPC refers to this as a tm1b allele; when using standard nomenclature conventions, however, it is a tm1.1 allele.
Structure Level Pattern Image Note
TS28: epididymis Present UC Davis_1881201

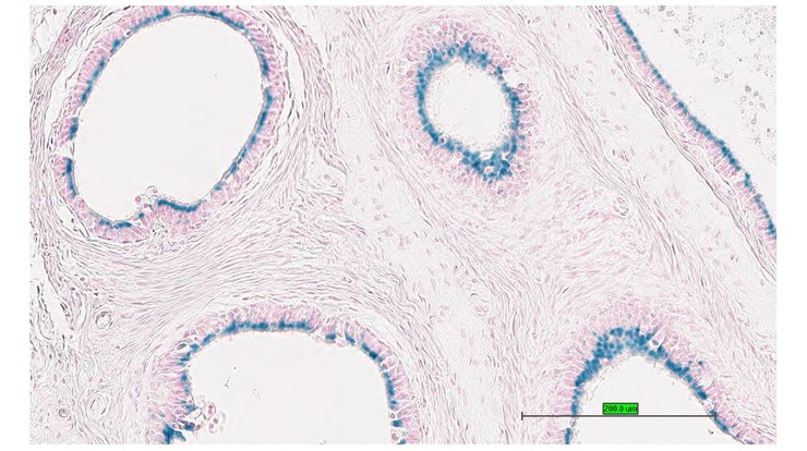
Specimen UC Davis_1881202: postnatal adult; H2-Q10tm1.1(KOMP)Mbp/H2-Q10+ (more )
Note: The IMPC refers to this as a tm1b allele; when using standard nomenclature conventions, however, it is a tm1.1 allele.
Structure Level Pattern Image Note
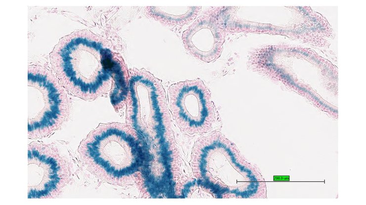
TS28: prostate gland Present UC Davis_1881202

Specimen UC Davis_1881203: postnatal adult; H2-Q10tm1.1(KOMP)Mbp/H2-Q10+ (more )
Note: The IMPC refers to this as a tm1b allele; when using standard nomenclature conventions, however, it is a tm1.1 allele.
Structure Level Pattern Image Note
TS28: prostate gland Present UC Davis_1881203

Specimen UC Davis_1881204: postnatal adult; H2-Q10tm1.1(KOMP)Mbp/H2-Q10+ (more )
Note: The IMPC refers to this as a tm1b allele; when using standard nomenclature conventions, however, it is a tm1.1 allele.
Structure Level Pattern Image Note
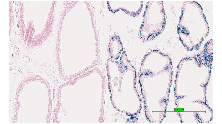
TS28: ductus deferens Present UC Davis_1881204 vas deferens


Contributing Projects:
Mouse Genome Database (MGD), Gene Expression Database (GXD), Mouse Models of Human Cancer database (MMHCdb) (formerly Mouse Tumor Biology (MTB)), Gene Ontology (GO)
Citing These Resources
Funding Information
Warranty Disclaimer, Privacy Notice, Licensing, & Copyright
Send questions and comments to User Support.
last database update
12/30/2025
MGI 6.24
The Jackson Laboratory