About   Help   FAQ
Gene Expression Data
Assay Details
Assay
Reference: J:228563 Koscielny G, et al., The International Mouse Phenotyping Consortium Web Portal, a unified point of access for knockout mice and related phenotyping data. Nucleic Acids Res. 2014 Jan;42(Database issue):D802-9
Assay type: In situ reporter (knock in)
MGI Accession ID: MGI:6693071
Gene symbol: Ghrh
Gene name: growth hormone releasing hormone
Reporter: lacZ
Direct Detection
Results
Specimen UC Davis_1885906: postnatal adult; Ghrhtm1b(EUCOMM)Wtsi/Ghrh+ (more )
Structure Level Pattern Image Note
TS28: ileum Present UC Davis_1885906

Specimen UC Davis_1885907: postnatal adult; Ghrhtm1b(EUCOMM)Wtsi/Ghrh+ (more )
Structure Level Pattern Image Note
TS28: gonadal fat pad Present UC Davis_1885907

Specimen UC Davis_1885908: postnatal adult; Ghrhtm1b(EUCOMM)Wtsi/Ghrh+ (more )
Structure Level Pattern Image Note
TS28: mesenteric adipose tissue Present UC Davis_1885908

Specimen UC Davis_1885909: postnatal adult; Ghrhtm1b(EUCOMM)Wtsi/Ghrh+ (more )
Structure Level Pattern Image Note
TS28: mesenteric adipose tissue Present UC Davis_1885909

Specimen UC Davis_1885910: postnatal adult; Ghrhtm1b(EUCOMM)Wtsi/Ghrh+ (more )
Structure Level Pattern Image Note
TS28: skin Present UC Davis_1885910

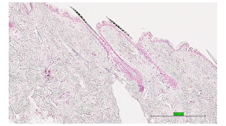
Specimen UC Davis_1885911: postnatal adult; Ghrhtm1b(EUCOMM)Wtsi/Ghrh+ (more )
Structure Level Pattern Image Note
TS28: skin Present UC Davis_1885911

Specimen UC Davis_1885916: postnatal adult; Ghrhtm1b(EUCOMM)Wtsi/Ghrh+ (more )
Structure Level Pattern Image Note
TS28: gonadal fat pad Present UC Davis_1885916

Specimen UC Davis_1885917: postnatal adult; Ghrhtm1b(EUCOMM)Wtsi/Ghrh+ (more )
Structure Level Pattern Image Note
TS28: gonadal fat pad Present UC Davis_1885917

Specimen UC Davis_1885918: postnatal adult; Ghrhtm1b(EUCOMM)Wtsi/Ghrh+ (more )
Structure Level Pattern Image Note
TS28: mesenteric adipose tissue Present UC Davis_1885918

Specimen UC Davis_1885919: postnatal adult; Ghrhtm1b(EUCOMM)Wtsi/Ghrh+ (more )
Structure Level Pattern Image Note
TS28: mesenteric adipose tissue Present UC Davis_1885919

Specimen UC Davis_1885920: postnatal adult; Ghrhtm1b(EUCOMM)Wtsi/Ghrh+ (more )
Structure Level Pattern Image Note
TS28: skin Present UC Davis_1885920

Specimen UC Davis_1885921: postnatal adult; Ghrhtm1b(EUCOMM)Wtsi/Ghrh+ (more )
Structure Level Pattern Image Note
TS28: skin Present UC Davis_1885921

Specimen UC Davis_1885922: postnatal adult; Ghrhtm1b(EUCOMM)Wtsi/Ghrh+ (more )
Structure Level Pattern Image Note
TS28: skin Present UC Davis_1885922

Specimen UC Davis_1885923: postnatal adult; Ghrhtm1b(EUCOMM)Wtsi/Ghrh+ (more )
Structure Level Pattern Image Note
TS28: brown fat Present UC Davis_1885923

Specimen UC Davis_1885924: postnatal adult; Ghrhtm1b(EUCOMM)Wtsi/Ghrh+ (more )
Structure Level Pattern Image Note
TS28: brown fat Present UC Davis_1885924

Specimen UC Davis_1885927: postnatal adult; Ghrhtm1b(EUCOMM)Wtsi/Ghrh+ (more )
Structure Level Pattern Image Note
TS28: testis Present UC Davis_1885927

Specimen UC Davis_1885928: postnatal adult; Ghrhtm1b(EUCOMM)Wtsi/Ghrh+ (more )
Structure Level Pattern Image Note
TS28: testis Present UC Davis_1885928

Specimen UC Davis_1885929: postnatal adult; Ghrhtm1b(EUCOMM)Wtsi/Ghrh+ (more )
Structure Level Pattern Image Note
TS28: epididymis Present UC Davis_1885929

Specimen UC Davis_1885930: postnatal adult; Ghrhtm1b(EUCOMM)Wtsi/Ghrh+ (more )
Structure Level Pattern Image Note
TS28: epididymis Present UC Davis_1885930

Specimen UC Davis_1885931: postnatal adult; Ghrhtm1b(EUCOMM)Wtsi/Ghrh+ (more )
Structure Level Pattern Image Note
TS28: epididymis Present UC Davis_1885931

Specimen UC Davis_1885932: postnatal adult; Ghrhtm1b(EUCOMM)Wtsi/Ghrh+ (more )
Structure Level Pattern Image Note
TS28: prostate gland Present UC Davis_1885932

Specimen UC Davis_1885933: postnatal adult; Ghrhtm1b(EUCOMM)Wtsi/Ghrh+ (more )
Structure Level Pattern Image Note
TS28: prostate gland Present UC Davis_1885933

Specimen UC Davis_1885934: postnatal adult; Ghrhtm1b(EUCOMM)Wtsi/Ghrh+ (more )
Structure Level Pattern Image Note
TS28: ductus deferens Present UC Davis_1885934 vas deferens

Specimen UC Davis_1885935: postnatal adult; Ghrhtm1b(EUCOMM)Wtsi/Ghrh+ (more )
Structure Level Pattern Image Note
TS28: ductus deferens Present UC Davis_1885935 vas deferens


Contributing Projects:
Mouse Genome Database (MGD), Gene Expression Database (GXD), Mouse Models of Human Cancer database (MMHCdb) (formerly Mouse Tumor Biology (MTB)), Gene Ontology (GO)
Citing These Resources
Funding Information
Warranty Disclaimer, Privacy Notice, Licensing, & Copyright
Send questions and comments to User Support.
last database update
12/09/2025
MGI 6.24
The Jackson Laboratory